Kiềm chế hắt hơi có thể làm vỡ cổ họng, thủng màng nhĩKiềm chế cơn hắt hơi có thể làm vỡ cổ họng, thủng màng nhĩ hoặc làm vỡ mạch máu trong não của bạn. Đó là lời cảnh báo được các bác sĩ đưa ra trong một nghiên cứu đăng trên tạp chí y khoa BMJ Case Reports số ra mới đây.
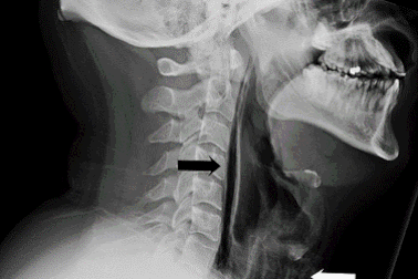
Một người đàn ông bị vỡ cổ họng khi cố nhịn hắt hơiViệc nhịn hắt hơi có thể gây ra những biến chứng vô cùng nguy hiểm.
Bệnh viện Từ Dũ cơ sở 2 làm được gì sau 1 tháng hoạt động?Trong tháng đầu hoạt động, Bệnh viện Từ Dũ cơ sở 2 đã thực hiện 12 ca phẫu thuật và 2 ca sinh thường, trong đó có nhiều trường hợp cấp cứu và sản khoa nguy kịch.
Dùng điện thoại khi ăn, người đàn ông nhập viện vì hóc xương phức tạpNgười đàn ông ở Hà Nội bị mảnh xương cá dài 4,5cm cắm sâu vào hạ họng sau khi vừa ăn vừa nghe điện thoại.
Con riêng của chồng trông như hoàng tử, còn con tôi toàn mặc "đồ thải lại"Hai đứa con của tôi cần cơm ăn áo mặc, học hành đàng hoàng. Vậy mà mỗi tháng, số tiền chồng gửi nuôi con riêng luôn nhiều hơn phần anh đưa cho tôi.
Người đàn ông bị rách khí quản vì cố nhịn hắt hơiMột người đàn ông ngoài 30 tuổi tại thành phố Dundee (Scotland) vừa trải qua một trải nghiệm suýt mất mạng khi cố nhịn cơn hắt hơi trong lúc đang lái xe.
Bị vợt pickleball đánh trúng mũi, người đàn ông vỡ xươngTrong lúc chơi pickleball, anh P. (35 tuổi) bị vợt của đồng đội đánh trúng giữa mũi, gây chảy máu, sưng nề.
Phẫu thuật sẹo hẹp thanh quản, “tái sinh” hơi thở sau 2 năm sống nhờ ống thở nhân tạoHai năm hít thở bằng ống thở nhân tạo trên cổ vướng víu, chị Lù Thị Nghiễn (24 tuổi, Yên Bái) từng nghĩ mình sẽ không bao giờ được sống như người bình thường.
Cứu sống bệnh nhân ung thư sốc mất máu nguy kịch do vỡ u máu ruột nonĐang điều trị ung thư vòm họng di căn hạch cổ, người đàn ông 52 tuổi, Quảng Ninh bỗng xuất huyết tiêu hóa nghiêm trọng. Nguyên nhân là do vỡ u máu ruột non hiếm gặp.
Triệu chứng ung thư họngĐau họng đơn thuần hoặc ho thường không phải là vấn đề lớn. Nhưng đôi khi, chúng là triệu chứng của ung thư vòm họng.
Báu vật 2.000 năm từ thành cổ La Mã gây sốc vì quá... hiện đạiMột vật dụng kỳ lạ được người La Mã cổ đại dùng để trang hoàng những sảnh tiệc xa hoa đã được khai quật tại Tây Ban Nha.
Nhiễm khuẩn tụ cầu vàng, nhiễm trùng nguy hiểm vì châm cứuTrong quá trình châm cứu, người bệnh xuất hiện dấu hiệu sốt, đau cổ tăng... được gia đình đưa đến Bệnh viện Việt Đức khám. Các bác sĩ phát hiện 2 ổ áp xe lớn, nhiễm vi khuẩn tụ cầu nguy hiểm.