04:40Khói thuốc lá là nguyên nhân gây vàng răng?Hút thuốc lá là một thói quen rất có hại cho sức khỏe răng miệng nói riêng và sức khỏe toàn thân nói chung. Khói thuốc lá được cho làm cho răng bám dính nhiều mảng bám đen, men răng chuyển sang màu ố vàng. Vậy sự thực thì sao? Mời độc giả cùng theo dõi thí nghiệm trên đây.
Vang trắng cũng làm ố vàng răngTừ lâu, rượu vang đỏ là một trong những tác nhân gây đổi màu răng. Vậy còn rượu vang trắng?
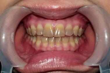
Khoa học vui: Thuốc lá là "tội đồ" làm vàng răng?Hút thuốc lá là một thói quen rất có hại cho sức khỏe răng miệng nói riêng và sức khỏe toàn thân nói chung. Khói thuốc lá được cho làm răng bám dính nhiều mảng bám đen, men răng chuyển sang màu ố vàng. Vậy sự thực thì sao? Mời độc giả cùng theo dõi thí nghiệm trên đây.
Bí kíp trắng răng cho dân văn phòng thích uống cà phêĐối với dân văn phòng, cà phê luôn là món đồ uống thiết yếu mỗi ngày. Những bí kíp sau sẽ giúp bạn tránh được nguy cơ ố vàng răng do cà phê.
Thuốc tẩy trắng làm… rụng răngRăng đen sau khi dùng thuốc đánh bóng trở thành răng vàng, răng vàng sau khi dùng thuốc đánh bóng lại trở thành răng mẻ (men răng bị huỷ hoại, dẫn tới sự sứt mẻ). Đó là hậu quả của việc thị trường thuốc tẩy trắng răng đang bị thả nổi.
Đột nhập nhà dân lúc rạng sáng "cuỗm" hơn 1 tỷ đồngMai tạm trú ở xã Thoại Sơn (An Giang) nhưng "lặn lội" đến phường Hồng Ngự (Đồng Tháp) mang theo kìm, mỏ lết để phá cửa lẻn vào trộm đi nhiều tiền mặt và nữ trang, giá trị tài sản khoảng một tỷ đồng .
Ánh sáng cận hồng ngoại - phương pháp phát hiện sớm sâu răng mặt bênSâu răng là bệnh lý răng miệng phổ biến, ảnh hưởng đến hàng trăm triệu trẻ em và người lớn. Trong đó, sâu răng mặt bên - tổn thương xuất hiện ở phần tiếp giáp giữa hai răng, thường bị bỏ sót do khó phát hiện bằng mắt thường.
Dấu ấn trên hành trình phát triển của Bệnh viện răng hàm mặt Nghệ AnBệnh viện răng hàm mặt Nghệ An đã và đang tạo nên những bước chuyển mình mạnh mẽ trong hành trình xây dựng một cơ sở y tế chuyên khoa hàng đầu tại Nghệ An và những tỉnh thành lân cận.
Mất răng: Không phải “chuyện tất yếu của tuổi già”Mất răng ở người cao tuổi ngày càng phổ biến, nhưng ít ai nghĩ rằng đó không chỉ là chuyện “tất yếu của tuổi già”.
Nhân viên mai táng bán vàng từ tro người chết: Chuyện khó tin ở lò hỏa tángMột người đàn ông là nhân viên lâu năm của nhà tang lễ ở Thái Lan cho biết đã đem toàn bộ số răng vàng của các thi thể đi nấu chảy tạo thành thỏi vàng trị giá 1.800 USD (46 triệu đồng).
Giải pháp cho răng nhiễm TetracyclineRăng nhiễm màu Tetracycline - hậu quả của việc dùng kháng sinh phổ rộng khi còn nhỏ, khiến răng có màu tối và xỉn, gây ảnh hưởng tới thẩm mỹ, tự tin của nhiều người. Trong khi đó, tẩy trắng với trường hợp này gần như không có tác dụng.
AI Dental - Nha khoa thẩm mỹ tại Đông Hà, Quảng TrịSở hữu đội ngũ bác sĩ, nhân viên có chuyên môn, cơ sở thiết bị hiện đại với nhiều công nghệ tiên tiến, AI Dental là điểm đến chăm sóc nha khoa được nhiều người tin chọn tại Đông Hà, Quảng Trị.