Hy hữu: Vỡ cơ hoành, đại tràng chui lên ngực vẫn tưởng hậu Covid-19
(Dân trí) - Nam bệnh nhân 25 tuổi có tiền sử khỏe mạnh, vào viện khám vì nghĩ ho, khó thở hậu Covid-19. Tuy nhiên, nguyên nhân thực sự gây tình trạng này lại do bệnh nhân vỡ cơ hoành, tạng từ bụng chui lên ngực.
Ngày 12/9, Bệnh viện Bạch Mai cho biết mới cấp cứu trường hợp đặc biệt, bệnh nhân phải mổ ngay sau khi đến khám vì tưởng là ho, khó thở hậu Covid-19.
BS Nguyễn Huy Du - Khoa Phẫu thuật Tiêu hóa - Gan Mật Tụy, Bệnh viện Bạch Mai cho biết, bệnh nhân Đ.V.H. (25 tuổi) đến Bệnh viện Bạch Mai đăng kí khám hậu Covid-19 vì có tình trạng ho, khó thở tăng lên.
Bệnh nhân có tiền sử khỏe mạnh. Đáng lưu ý, hơn một năm trước, bệnh nhân bị tai nạn ngã xe máy, đập ngực trái xuống đường. Sau tai nạn, bệnh nhân không thấy dấu hiệu gì nghiêm trọng, chỉ đau tức ngực nhẹ, không khó thở nên không đi khám. Bệnh nhân vẫn sinh hoạt lao động nhẹ, chỉ xuất hiện khó thở khi khuân vác các vật nặng.
Cách đây 5 tháng, bệnh nhân mắc Covid-19, tự điều trị tại nhà. Sau khỏi Covid-19, H. vẫn bị ho, đau tức ngực nhưng chỉ nghĩ hậu Covid-19. Một tháng trở lại đây, các dấu hiệu nặng lên trông thấy, bao gồm cả khó thở nên H. đã đăng kí khám chuyên khoa Hô hấp để khám tình trạng hậu Covid-19.

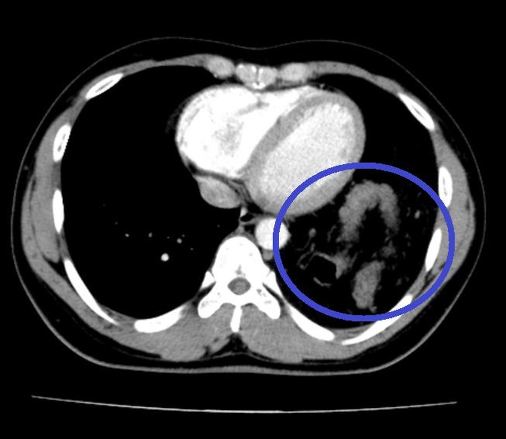
Hình ảnh chụp cắt lớp vi tính phát hiện đại tràng chui lên ngực trái bệnh nhân.
Kết quả chụp X-quang khiến bác sĩ bất ngờ, khi phát hiện có tình trạng có hình bóng hơi của ruột ở trên ngực trái. Sau khi làm thêm một số xét nghiệm, chiếu chụp, hội chẩn liên khoa, bệnh nhân được chẩn đoán có thoát vị tạng bụng qua cơ hoành lên ngực trái, được chuyển tới Khoa Phẫu thuật Tiêu hóa - Gan mật tụy để tiến hành phẫu thuật.
BS Du cho biết, khi tiến hành mổ nội soi, vừa đưa máy soi vào ổ bụng các bác sĩ đã thấy gần toàn bộ đại tràng ngang, lách, dạ dày và mạc nối lớn đã chui qua cơ hoành lên khoang màng phổi bên trái.
Các bác sĩ chẩn đoán trong mổ là thoát vị hoành trái do vỡ cơ hoành. Cơ hoành vỡ đã được các phẫu thuật viên khâu phục hồi kín. Sau ca phẫu thuật, bệnh nhân ổn định, hết đau ngực, khó thở, chụp phim X-quang kiểm tra thấy phổi nở tốt, không còn hình ảnh thoát vị. Bệnh nhân H. được ra viện sau 6 ngày với sẹo mổ rất nhỏ của phẫu thuật nội soi.
Thoát vị hoành do chấn thương là tình trạng một hoặc nhiều tạng nằm trong ổ bụng bị kéo lên ngực thông qua vết rách cơ hoành. Do không còn vách ngăn kín giữa lồng ngực và ổ bụng (là cơ hoành) khiến các nội tạng từ ổ bụng có thể chui lên lồng ngực.
Các triệu chứng trong thoát vị hoành do chấn thương có biểu hiện đa dạng. Khó thở là triệu chứng hay gặp nhất nhưng cũng rất mơ hồ. Khó thở có thể xuất hiện từng cơn, không rõ hoàn cảnh khởi phát và tự thuyên giảm hoặc có khi liên quan đến bữa ăn, khi nằm. Đây là triệu chứng hay gặp trong các trường hợp nhẹ, tiến triển từ từ.
Đối với trường hợp chấn thương cơ hoành nặng, lỗ thoát vị lớn có thể gây khó thở dữ dội, thậm chí tử vong. Ngoài ra, bệnh nhân có thể có rối loạn tiêu hóa kiểu cơ năng như chán ăn, ăn ít, dễ buồn nôn, cảm giác đầy bụng. Trường hợp đau dữ dội, trụy mạch phải nghĩ đến thoát vị hoành nghẹt, do tạng chui qua lỗ vỡ cơ hoành bị chỗ này thắt nghẹt lại gây thiếu máu nuôi tạng, nếu không phát hiện và xử trí cấp cứu kịp thời có thể dẫn đến hoại tử tạng, nhiễm trùng, nhiễm độc, suy hô hấp và tử vong.











