"Bảo vệ" học sinh vượt mùa thi cửHọc sinh lớp 9 và lớp 12 trên cả nước đang ráo riết ôn luyện để chuẩn bị cho kỳ thi quan trọng sắp tới. Để bảo vệ sức khỏe cho con em của mình, phụ huynh nên lựa chọn những sản phẩm tốt để đồng hành cùng các em trong mùa thi.
Mùa thi cử: Ám ảnh, thậm chí muốn tự tử với những kỳ vọngCận kề các kỳ thi chuyển cấp, tốt nghiệp THPT lại xuất hiện trường hợp học sinh phải nhập viện vì học quá tải, thậm chí không ít em bị trầm cảm hay có ý nghĩ tiêu cực bởi những kỳ vọng vây quanh.
Hài hước clip chế "Mình yêu nhau đi" mùa thi cửVlogger Đu Đồ Đút mới cho ra đời clip chế "Mình yêu nhau đi" và "Người ấy" phiên bản mùa thi với những chi tiết hóm hỉnh, đậm chất học trò.
Làm gì để “trị” chứng mất tập trung mùa thi cử?Có một anh chàng thiếu lập trường, thiếu quyết tâm, dễ lung lay, mê chơi thể thao đến mức không quan tâm đến việc học. Đó là tất cả những nét tính cách đặc trưng của hot boy Hoàng Nam do Gin Nguyễn thủ vai trong bộ phim “14 Ngày đấu trí” – sitcom về xoay quanh vấn đề trí não các bạn học sinh gặp phải trong mùa thi.
Nụ cười áo xanh tình nguyện xua tan mệt nhọc mùa thi cửNụ cười tươi tắn, đầy sức sống của các sinh viên tình nguyện như một làn gió mát lảnh giữa cái nắng mùa hè, làm dịu tinh thần căng thẳng của thí sinh và nỗi lo lắng của phụ huynh.
Thú vị phiên bản chế "Mình yêu nhau đi" mùa thi cửCa khúc đình đám "Mình yêu nhau đi" vừa có phiên bản chế mới đầy thú vị do các học trò "nhất quỷ nhì ma" sáng tác.
Thâm nhập cơ sở cung cấp thiết bị gian lận công nghệ cao mùa thi cửTrong quá trình giao dịch, các đối tượng cung cấp thiết bị gian lận tỏ ra rất thận trọng, luôn cắt cử người giám sát, cảnh giới bên ngoài.
03:25Thâm nhập cơ sở cung cấp thiết bị gian lận công nghệ cao mùa thi cửSát ngày thi THPT quốc gia 2019, thị trường “đen” mua bán các thiết bị gian lận công nghệ cao trở nên sôi động, nhộn nhịp. Chỉ cần vài thao tác đơn giản, bất cứ ai cũng dễ dàng tìm kiếm, trang bị cho mình những thiết bị tinh vi có thể giúp thực hiện các hành vi “quay cóp”.
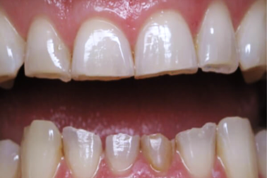
Cha mẹ cảnh giác con nghiến răng vì stress: Có thể gây biến dạng khuôn mặtTheo bác sĩ nhi đồng, stress là nguyên nhân thường gặp, điển hình của tình trạng nghiến răng ở trẻ trong mùa thi cử. Nếu trẻ nghiến răng với mức độ nặng và thường xuyên có thể gây biến dạng khuôn mặt.
Đủ kiểu động viên “thi đỗ” làm trẻ khiếp đảmCho rằng con mình là giỏi nhất, kể lể công lao, chăm sóc con một cách thái quá… là những kiểu động viên gây áp lực cho trẻ mà không ít phụ huynh áp dụng trong mùa thi cử.
Không mùa thi vẫn... “học căng như dây đàn”Có những ngành học, dù không phải trong mùa thi cử nhưng lượng bài vở, đồ án, thực hành... lúc nào cũng căng như dây đàn.