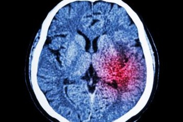
Giao diện não-máy tính cải thiện chức năng vận động cho bệnh nhân đột quỵCác nhà nghiên cứu ĐH Adelaide đã sử dụng giao diện não-máy tính để cải thiện chức năng vận động ở bệnh nhân đột quỵ.
Lắng nghe sức khỏe xương khớp: Chìa khóa cải thiện chức năng vận độngVới những người từ sau 30 tuổi, chức năng của hệ cơ xương khớp bắt đầu suy giảm, tiềm ẩn nhiều vấn đề về đau nhức xương, loãng xương.
Hồi sinh cánh tay bị tắc động mạch cho cựu chiến binhĐối mặt với nguy cơ mất chức năng vận động khi bị tắc động mạch nuôi cánh tay trái, cựu chiến binh 72 tuổi được các bác sĩ Bệnh viện Đa khoa Hồng Ngọc cứu chữa thành công.
Người dân TPHCM đồng loạt tháo “chuồng cọp” để phòng cháyNhiều người dân tại TPHCM đã đồng thuận tháo dỡ các “chuồng cọp” tại ban công, căn hộ khi được lực lượng chức năng vận động, nhằm tạo lối thoát hiểm phòng trường hợp hỏa hoạn.
Nằm điều hòa lạnh - tiềm ẩn nguy cơ đau dây thần kinh, liệt mặt vào mùa hèThói quen sử dụng điều hòa quá lạnh vào mùa hè có thể là tác nhân kích hoạt cơn đau dây thần kinh và liệt mặt đột ngột, ảnh hưởng nặng nề đến chức năng vận động và thẩm mỹ.
Thoái hóa khớp: Kẻ thù gây tàn phếTại Việt Nam, thoái hóa khớp chiếm hơn 10% các bệnh về xương khớp. Trong đó, thoái hóa khớp gối là bệnh phổ biến nhất ảnh hưởng nhiều đến chức năng vận động, sinh hoạt.
Cả trăm hộ dân tự nguyện trả lại hơn 740ha rừng đã lấn chiếmTừ việc một công ty được giao đất rừng tại Đắk Lắk đã buông lỏng quản lý khiến hàng trăm héc ta đất bị lấn chiếm. Đến nay, cơ quan chức năng vận động để người dân trả lại hơn 740ha đất.
Người dân Lâm Đồng giao nộp 7 khẩu súngSau khi cơ quan chức năng vận động, người dân ở thành phố Bảo Lộc (Lâm Đồng) đã đến giao nộp nhiều loại vũ khí, vật liệu nổ, trong đó có 7 khẩu súng các loại.
Cảnh giác với bệnh Parkinson nếu mắt có những triệu chứng nàyBệnh Parkinson đặc trưng chủ yếu bởi những cử động không tự chủ của cơ thể và mất kiểm soát các chức năng vận động.
Bệnh nhân đột quỵ đi lại được sau khi ghép tế bào gốcKết quả của một thử nghiệm lâm sàng nhỏ đã mang lại hy vọng cho những người dân bị giảm khả năng vận động sau đột quỵ. Đó là khả năng phục hồi chức năng vận động nhờ tiêm tế bào gốc người lớn vào não đã phục hồi chức năng vận động của bệnh nhân.
Bé trai 3 tuổi bị xuất huyết nội sọ, không nói được do ngạt nướcQua 4 tháng điều trị, một bé trai 3 tuổi ở Bạc Liêu đã hồi phục 70% chức năng vận động do ngạt nước dẫn đến xuất huyết nội sọ, ảnh hưởng não bộ.
03:53Khôi phục cánh tay cho bé người dân tộc bị bỏng nặngBé Bon Dơng Ou Ya Thảo, 6 tuổi, Lâm Đồng, bị bỏng do ngã vào nước sôi. Các vết sẹo bỏng để lại di chứng nặng nề. Bé được BS.CKI Trần Anh Tân phẫu thuật tạo hình bàn tay, cải thiện chức năng vận động.