“Cú đánh hội đồng” vào tuyến tụy trong những ngày TếtRượu bia, thịt mỡ, bánh chưng cùng thói quen ngưng thuốc bệnh nền đã tạo áp lực lớn lên tuyến tụy trong những ngày Tết, khiến nhiều người phải nhập viện vì viêm tụy cấp.
Tán sạch sỏi lâu năm bám chặt như các mảng “rỉ sét” trong bể thậnChỉ khi đau âm ỉ vùng hông lưng, bà H.T.H (1964, Thái Nguyên) mới phát hiện viên sỏi thận lớn gần 4cm âm thầm phát triển suốt nhiều năm. Khối sỏi rắn chắc, bám chặt như các mảng rỉ sét được tán sạch tại Bệnh viện ĐKQT Thu Cúc TCI.
Xu hướng thiết kế mới: Đem cả khu rừng nhiệt đới vào ngôi nhà bạnQuên đi những chậu cây đơn điệu góc phòng. Xu hướng phủ xanh đang khuấy đảo giới mộ điệu, giúp bạn hô biến không gian sống thành một khu rừng nhiệt đới thu nhỏ nghệ thuật và táo bạo.
5 loại xe không nên chạy bám đuôi khi đi trên đườngMỗi dịp lễ tết, nhu cầu di chuyển của nhiều người tăng cao. Dù bạn đang đi xe máy hay ô tô, hãy lưu ý tránh xa 5 loại xe này, đừng chạy bám sát đuôi, để tránh đặt mình vào tình huống nguy hiểm.
“Tiểu ra sỏi rồi, bác sĩ ơi!”BS Phan Văn Hoàng, khoa cấp cứu BV Bình Dân (TPHCM) cho biết: Cuối tuần qua, khoa đã xử lý một trường hợp bị sỏi kẹt niệu đạo bằng cách cho bệnh nhân tiểu ra sỏi.
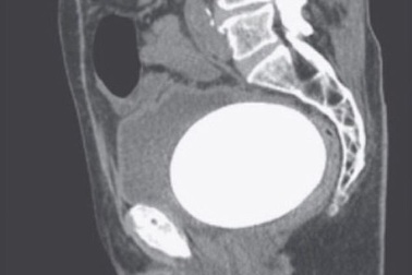
Nam thiếu niên mang cục sỏi khổng lồ ở bàng quangNhập viện trong tình trạng tiểu khó, thường xuyên đau vùng bụng dưới kèm theo sốt nhẹ, bệnh nhân được bác sĩ xác định có cục sỏi khổng lồ nằm trong bàng quang.
Kỳ lạ cô bé khóc ra sỏi đáCô bé 15 tuổi ở vùng nông thôn Ấn Độ được cho là đã khóc ra những viên sỏi nhỏ từ mắt mỗi ngày.
Phẫu thuật thành công sỏi thận tảng san hô hiếm gặpBệnh viện Quân y 4 cho biết, vừa phẫu thuật nội soi thành công một bệnh nhân bị sỏi thận san hô hiếm gặp từ trước đến nay.
Sỏi mật có thể là dấu hiệu báo trước ung thư tuyến tụyMột nghiên cứu gần đây tại Mỹ cho thấy một năm trước khi được chẩn đoán mắc ung thư tuyến tụy nhiều bệnh nhân đã được điều trị bệnh sỏi mật.
Mê mẩn với những bức tranh được vẽ bằng sỏi của cô nàng 9x Hà thànhViệt Chinh đã sáng tạo và khéo léo tận dụng màu sắc, hình thù mộc mạc của những viên sỏi để tạo thành những bức tranh cuốn hút người xem đến lạ thường.
“Phóng thích” 24 kg tôm hùm sỏi về biểnSau khi kiểm tra và lập biên bản đối với lái xe đông lạnh chở tôm hùm sỏi (loại hải sản cấm khai thác), Chi cục Bảo vệ nguồn lợi thủy sản tỉnh Quảng Bình đã tiến hành “phóng thích” hơn 24kg tôm hùm sỏi về biển.
Hy hữu viên sỏi to như quả trứng đà điểu trong bàng quangMột nam giới 64 tuổi chỉ chịu phẫu thuật lấy hòn sỏi bang quang có kích cỡ to như một quả trứng đà điều sau khi phải vật lộn với việc đi tiểu.