Xyanua là chất gì mà "độc nhất trong các chất độc"?Xyanua là hóa chất cực độc, thậm chí được liệt vào danh sách những chất độc nhất trong các chất độc, đồng thời dễ bắt gặp trong tự nhiên.
Điểm mặt các chất độc gây chết người có trong pinThông tin lõi pin được hòa với nước để nhuộm vào cà phê và đóng gói bán ra thị trường khiến nhiều người tiêu dùng lo lắng. Vậy trong pin chứa các chất độc nguy hiểm nào gây hại cho sức khoẻ?
Xyanua nguy hiểm thế nào mà bị liệt vào nhóm "độc nhất trong các chất độc"?Xyanua là hóa chất cực độc, gây ức chế rất nhanh và mạnh với hô hấp tế bào, thậm chí được liệt vào danh sách "độc nhất trong các chất độc".
Các chất độc sản sinh khi chiên ránDùng dầu, mỡ chiên rán thức ăn là một cách chế biến quen thuộc của người đầu bếp. Nhờ nhiệt độ sôi của dầu cao, thức được chiên rán chín nhanh hơn và cho hương vị thơm ngon hơn. Nhưng hiện nay, khá nhiều người dân rất ngại ăn thức ăn chiên rán vì có những thông tin rằng thức chiên rán độc, gây ung thư.
Lánh xa các chất độc quanh taHiểu rõ những nguy cơ hiện hữu trong chính những đồ dùng thân thiện hằng ngày, bạn sẽ biết cách lựa chọn những sản phẩm nào an toàn cho sức khoẻ cả nhà.
Các chất độc kinh hoàng có trong thuốc láMột báo cáo do Mỹ vừa công bố cũng cho thấy khói thuốc lá chứa 7.000 chất độc hóa học thay vì 4.000 chất được công bố trước đây, trong đó có hàng trăm chất cực độc và ít nhất 70 chất có thể gây ung thư, gồm chất tẩy, chất ướp xác...
101 các chất độc có thể đưa vào thực phẩmNgười tiêu dùng hiện nay đang “sốc” vì quá nhiều chất độc được cho vô tội vạ vào thực phẩm. Vậy có những chất độc, chất “cấm” nào có thể bị đưa vào thực phẩm…
Điểm mặt các chất độc hại gây hàng loạt bệnh trong khói thuốc láTheo báo cáo năm 2010 của Tổng hội Y khoa Hoa kỳ, khói thuốc lá chứa 7.000 hóa chất, trong đó có 69 chất gây ung thư. Thế nhưng nhiều người hút thuốc vẫn mơ hồ về tác hại thực sự của thuốc lá.
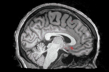
Bộ não sẽ tự “rửa sạch” các chất độc khi chúng ta ngủ theo đúng nghĩa đenMột nghiên cứu mới đây cho thấy, khi chúng ta đi ngủ, bộ não sẽ tiết ra một loại nước “dọn rửa” chảy khắp não bộ và loại bỏ các độc tố phát sinh trong ngày, vốn là nguyên nhân dẫn tới các bệnh thoái hóa thần kinh, điển hình là Alzheimer.
Phản biện về cách đồng nhất nicotine với rủi ro nghiêm trọngTrong quá trình xây dựng chính sách kiểm soát thuốc lá, không ít quốc gia đang đánh giá toàn diện các chất độc hại trong các sản phẩm này, bao gồm vấn đề nicotine có phải là nguyên nhân chính gây ra các bệnh lý nghiêm trọng do hút thuốc lá hay không.
Uống ít nước làm tăng nguy cơ ung thư bàng quangNước đào thải các chất độc hại trong cơ thể ra bên ngoài thông qua tiểu tiện. Nếu uống không đủ nước, các chất độc hại sẽ lưu lại trong hệ thống tiết niệu gây ra bệnh lý dẫn đến ung thư bàng quang.
Thời điểm tốt nhất trong ngày để uống nước bạn không được bỏ lỡThiếu nước ảnh hưởng đến các hoạt động sống của cơ thể. Tất cả các phản ứng, các quá trình chuyển hóa trong cơ thể đều cần nước, nước còn giúp đào thải các chất độc hại ra ngoài cơ thể.