Bóc khối u hơn 1,7kg chèn ép vùng cổ cụ bà 81 tuổiKhối u vùng cổ - ngực hơn 1,7kg chèn ép nghiêm trọng đường thở của cụ bà 81 tuổi đã được các bác sĩ Vinmec Nha Trang bóc tách thành công. Chỉ sau hơn 3 giờ phẫu thuật, bệnh nhân đã thoát khỏi nguy cơ tử vong.
Bóc khối u xơ kích thước khủng ở sản phụ mang thai 37 tuầnNgày 31/8, Bệnh viện Đa khoa Trung ương Quảng Nam cho hay, các bác sĩ Khoa Phụ sản vừa phẫu thuật bắt con thành công kết hợp bóc khối u xơ kích thước khủng của sản phụ mang thai 37 tuần.
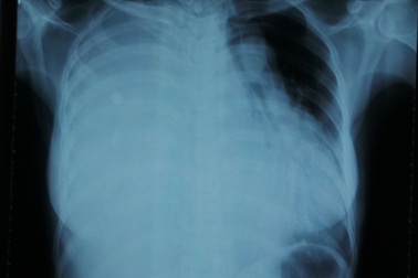
Bóc khối u như quả tim thứ hai trong lồng ngựcthủ phạm gây nên những cơn đau, tức ngực dữ dội đã được bóc thành công khỏi ngực của người phụ nữ. Ca phẫu thuật phức tạp bóc khối u nặng 700g nằm ở trung thất trên đẫ diễn ra thành công tại bệnh viện Đa khoa Quốc tế Vũ Anh.
16 tiếng bóc khối u ‘khủng’ trên gương mặtSuốt ca mổ kéo dài kỷ lục 16 giờ đồng hồ, Thắng không phải truyền bất kỳ đơn vị máu nào. Với khả năng phẫu thuật tốt cùng sự chuẩn bị kỹ càng và phối hợp nhuần nhuyễn giữa các chuyên khoa, các bác sỹ đã loại bỏ khối u khủng, giúp Thắng “lấy lại gương mặt người”.
Bóc khối u hàm dưới, phát hiện 30 chiếc răng ở bên trongTừ khối u nằm ở hàm dưới của bệnh nhân nữ, các bác sỹ đã gắp bỏ khoảng 30 chiếc răng có kích thước khác nhau.
Bóc khối u xơ nặng 500g, mổ cứu thai nhi thành côngCác bác sĩ Bệnh viện Đa khoa Trung ương Cần Thơ vừa thực hiện ca phẫu thuật bóc tách khối u nặng hơn 500g, đồng thời phẫu thuật lấy thai nhi thành công.
Ngoạn mục ca bóc khối u buồng trứng "khủng" 40kgSau gần 10 năm phát triển trong bụng người phụ nữ, khối u buồng trứng khiến bụng bệnh nhân chướng căng. Bệnh viện Ung Bướu, TPHCM đã bóc thành công khối u khổng lồ nặng tới 40kg giải thoát cho người phụ nữ.
Bóc khối u buồng trứng nặng hơn 5kg cho nữ bệnh nhân 67 tuổiMột khối u buồng trứng nặng 5,2kg của nữ bệnh nhân 67 tuổi đã được bác sĩ Bệnh viện Đa khoa khu vực Quảng Nam phẫu thuật bóc tách thành công.
Chẻ xương ức, bóc khối u “hiếm” chiếm trọn lồng ngựcBị khối u nặng 4,5kg đè xẹp phổi, xô lệch tim nhưng người phụ nữ 41 tuổi vẫn mang thai và vượt cạn thành công. Các bác sĩ phải chẻ xương ức, mở lồng ngực mới bóc được khối u ra ngoài, đây là trường hợp rất hiếm gặp trong y văn.
Bóc khối u xơ nặng 4,5kg trong tử cung một phụ nữ 60 tuổiChiều 5/7, bác sĩ Võ Thôi - Trưởng khoa Phụ sản, Bệnh viện Đa khoa khu vực Quảng Nam (thị xã Điện Bàn, Quảng Nam) - cho biết, bệnh viện vừa tiếp nhận và phẫu thuật thành công khối u xơ tử cung “khủng” cho một bệnh nhân 60 tuổi.
Xẻ màng tủy, bóc khối u cứu cô gái thoát nguy cơ liệtHơn 1 năm qua, người bệnh bị yếu liệt 2 chân do khối u chèn ép, qua cuộc phẫu thuật phức tạp xẻ màng tủy, bác sĩ đã giải phóng đôi chân cho bệnh nhân. Cuộc mổ nhiều “mạo hiểm” đã được thực hiện tại một bệnh viện quận.
Đến viện với bụng như bầu 9 tháng, người phụ nữ được bóc khối u khổng lồChị T. đến viện với vòng bụng to như bầu 9 tháng. Các bác sĩ đã phẫu thuật bóc ra khối u nang "khổng lồ", nặng đến 7kg.