Tránh chó, nam thanh niên bị thanh gỗ đâm xuyên phổiNgày 23/11, thông tin từ BVĐKTƯ Cần Thơ cho biết, các bác sĩ bệnh viện vừa phẫu thuật thành công lấy thanh gỗ dài 30cm đâm xuyên phổi, qua cơ hoành, thấu gan bệnh nhân do tai nạn giao thông.
Cứu sống nam thanh niên bị cây sắt đâm xuyên phổiCác bác sĩ ở Bệnh viện Đa khoa Trung ương Cần Thơ vừa phẫu thuật cấp cứu, cứu sống nam thanh niên bị cây sắt đâm xuyên phổi, chui vào ống sống ngực.
Cứu thành công bệnh nhân bị đâm xuyên phổiChiều ngày 31/10, bệnh viện Quân y 211 (Quân đoàn 3, TP. Pleiku, Gia Lai) cho biết, bệnh viện vừa cứu thành công một nam bệnh nhân bị vật nhọn đâm xuyên phổi.
Cứu sống người bị đâm xuyên phổiĐến 19 giờ ngày 15/12, sau 3 giờ được phẫu thuật cấp cứu, bệnh nhân Lê Văn C. (SN 1979, tạm trú quận 8 - TPHCM) bị đâm xuyên phổi, thủng bao tử, đã được các bác sĩ của Bệnh viện Nhân dân 115 (TPHCM) cứu sống.
Bé trai 4 tuổi bị chiếc kim gỉ sét đâm xuyên phổiChụp X-quang bệnh nhi, các bác sĩ ở TPHCM phát hiện chiếc kim may vá quần áo đã gỉ sét nằm trong phổi trái của bé trai 4 tuổi.
Cứu thành công bệnh nhân bị đâm xuyên phổiNgày 23/12, Bệnh viện Quân y 211 (TP Pleiku, Gia Lai) cho biết, bệnh nhân Phan Đình Nghiệp (23 tuổi, trú xã Nghĩa Hưng, Chư Păh) bị đâm xuyên qua phổi, xuống bụng đã được bệnh viện cứu sống qua cơn nguy kịch.
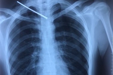
Đi xe đạp bị ngã, cụ ông bị cây gỗ dài 30cm đâm xuyên phổiBệnh viện Đa khoa Thành phố Cần Thơ vừa cứu cụ ông 70 tuổi bị thanh gỗ đâm thủng phổi phải.
Tử hình "cẩu tặc" đâm chết chủ nhàSau khi bắt trộm chó, bị “khổ chủ” phát hiện đuổi theo, tên "cẩu tặc" đã dùng dao đâm xuyên phổi khiến nạn nhân tử vong. Tòa án nhân dân tỉnh Thanh Hóa đã tuyên phạt bị cáo mức án tử hình.
Bị đâm thủng phổi vì mâu thuẫn nhỏSau bữa tiệc cưới, đám thanh niên thấy chưa đã rượu nên lại rủ nhau đi uống bia. Một mâu thuẫn nhỏ, vài lời qua tiếng lại, hậu quả là một thanh niên suýt mất mạng vì lĩnh một nhát đâm xuyên phổi.
Nhát dao tan nát một gia đình!Nhát dao chí mạng của nhóm côn đồ đâm xuyên phổi khiến anh Hạnh tử vong trên đường đi cấp cứu. Trong phút chốc, người vợ trẻ mất đi người chồng trụ cột chính của gia đình, đứa con thơ mất đi người bố mà nó chưa thể cất một tiếng gọi...
Nữ điều dưỡng liều mình bảo vệ bệnh nhân, trúng 11 nhát daoTrong cơn hỗn loạn tại Bệnh viện Sản Nhi Nghệ An, nữ điều dưỡng Nguyễn Thùy Trang đã lao vào để bảo vệ bệnh nhân sơ sinh nên hứng trọn 11 nhát dao từ kẻ tấn công, may mắn thoát khỏi lưỡi hái tử thần.
Hy hữu bé gái bị cành cây đâm xuyên hậu môn, nằm trong bụng suốt 4 thángTai nạn hy hữu khi té xuống ao gần nhà khiến bé gái mang dị vật là cành cây dài 16cm trong ổ bụng suốt hơn 4 tháng.