Cứu sống nam thanh niên bị cây sắt đâm xuyên phổi
(Dân trí) - Các bác sĩ ở Bệnh viện Đa khoa Trung ương Cần Thơ vừa phẫu thuật cấp cứu, cứu sống nam thanh niên bị cây sắt đâm xuyên phổi, chui vào ống sống ngực.

Sáng 29/8, bác sĩ Phạm Thanh Phong – Phó giám đốc phụ trách chuyên môn Bệnh viện Đa khoa Trung ương Cần Thơ cho biết, lúc 1 giờ sáng ngày 28/8/2019, bệnh viện này tiếp nhận bệnh nhân Dương Văn Tiến Dũng (22 tuổi, quê ở Long Mỹ, Hậu Giang) trong tình trạng mệt, khó thở và có nhiều vết thương vùng ngực, đặc biệt là vết thương vùng cổ thượng đòn bên phải gây tràn khí màng phổi và tê tay phải.
Người nhà bệnh nhân cho biết, cùng ngày nhập viện bệnh nhân bị bạn dùng cây sắt đâm vào cổ, ngực, lưng và được đưa vào Bệnh viện Long Mỹ. Tại đây, bệnh nhân được chụp X-quang phát hiện thấy dị vật cản quang ở lồng ngực, tràn khí màng phổi hai bên. Bệnh nhân được xử trí: băng vết thương, điều trị giảm đau và nhanh chóng chuyển đến Bệnh viện Đa khoa Trung Ương Cần Thơ.
Xác định đây là một tổn thương nặng và phức tạp nên Bệnh viện đã tiến hành hội chẩn gồm nhiều chuyên khoa: Cấp cứu, Chẩn đoán hình ảnh, Ngoại Thần kinh, Ngoại tổng quát – Lồng ngực mạch máu, Chấn thương chỉnh hình, Gây mê hồi sức.
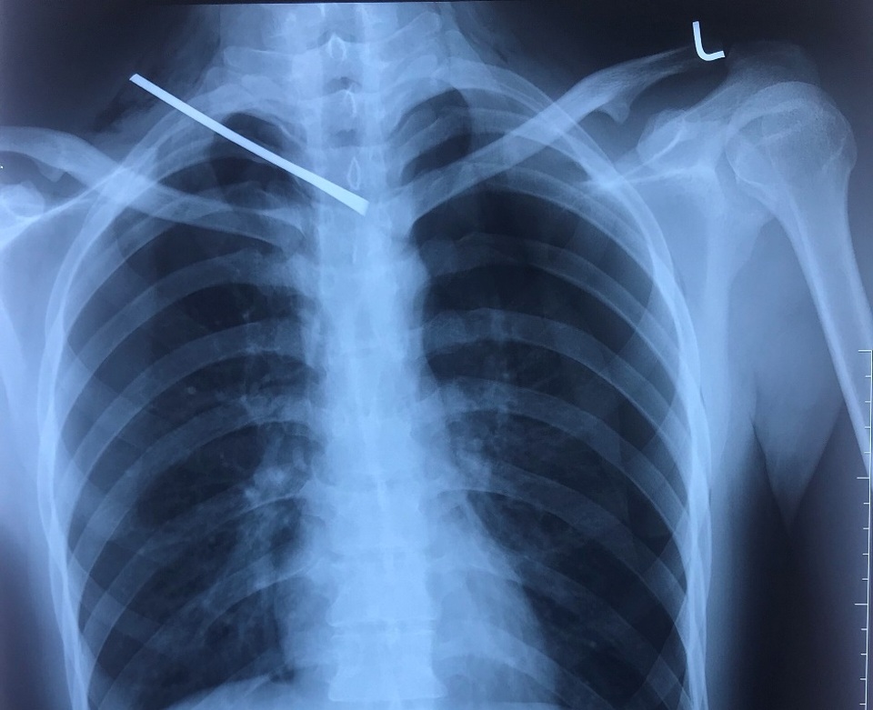
Bệnh nhân được thực hiện các xét nghiệm, kết quả X-quang tim phổi thẳng cho thấy: một dị vật cản quang từ vùng cổ phải xuyên xuống đoạn gian đốt sống D3/D4, tràn khí màng phổi hai bên.

Kết quả chụp CT Scanner cột sống cổ không cản quang cho thấy: dị vật kim loại đường kính 0.5cm dài 10cm xuyên từ vùng cổ phải đến khe gian đốt sống D3/D4 chèn vào mặt trước ống tủy, tụ khí dưới da vùng cổ ngực hai bên, tràn khí và ít dịch màng phổi phải, tràn khí màng phổi trái.
Bệnh nhân có biểu hiện rối loạn đông máu và thiếu máu nên được xử lý điều chỉnh rối loạn đông máu bằng truyền huyết tương tươi đông lạnh đồng thời truyền hồng cầu lắng và có chỉ định phẫu thuật cấp cứu lấy dị vật.
Đến sáng nay 29/8/2019, bệnh nhân tỉnh, tiếp xúc tốt, sinh tồn ổn định, không yếu liệt chi. Bệnh nhân đang được tiếp tục theo dõi và điều trị tại Khoa Ngoại thần kinh.
Bác sĩ Nguyễn Đông Quân, chuyên khoa ngoại thần kinh cho biết: vết thương và dị vật bị đâm xuyên thường do dao đâm hoặc vật cứng nhọn như: đinh, tre, kim loại sắc nhọn...., bệnh nhân không được tự ý rút dị vật ra vì nếu rút ra những vết thương này có thể trở nên phức tạp và phát triển thành vết thương hở, bệnh nhân sẽ mất máu nhiều nguy cơ ảnh hưởng đến tính mạng, cần giữ nguyên dị vật, băng kính vết thương và đưa bệnh nhân đến cơ sở y tế gần nhất để được cấp cứu và xử trí kịp thời.
Phạm Tâm





