Tưởng nổi mụn lạ, cô gái khổ vì "bệnh siêu giả dạng"
Căn bệnh hiếm gặp được y khoa đặt biệt danh là "bệnh siêu giả dạng" đã khiến cô gái bị tổn thương phổi, mắt, da, mà dấu hiệu ban đầu chỉ là những nốt đỏ hoặc nâu nhỏ.
Nữ bệnh nhân giấu tên năm nay 28 tuổi, đã đến nhiều nơi thăm khám, điều trị kể từ khi những nốt nhỏ trông như mụn bắt đầu nổi ở cổ, nách rồi chân, tay. Các nốt này có màu nâu nhạt, đỏ, nâu đậm, có vẻ vô hại và chẳng gây phiền toái gì ngoài cảm giác ngứa nhẹ khi đổ mồ hôi.

Những nốt mụn tưởng chừng vô hại trên da cô gái - ảnh do Bệnh viện Da liễu cung cấp
Cô gái đã đi khám nhiều nơi trong suốt 2 năm và bị chẩn đoán nhiều bệnh khác nhau như mụn cóc, vảy nến giọt, u vàng…, đã từng đốt laser CO2 để xóa đi vài nốt to nhất, dùng nhiều thuốc nhưng mọi biện pháp đều không giúp cô khỏi bệnh.
1 năm trước, cô được các bác sĩ ở Bệnh viện (BV) Da liễu TP HCM chẩn đoán mắc bệnh Sarcoidosis, căn bệnh được đặt biệt danh là " bệnh siêu giả dạng " với các triệu chứng trên da tưởng chừng như vô hại và dễ "giả dạng" nhiều bệnh khác. Đó là một bệnh lý u hạt không hoại tử với nguyên nhân không rõ ràng, tỉ lệ mắc ước tính khoảng 10-40 ca/100.000 người.
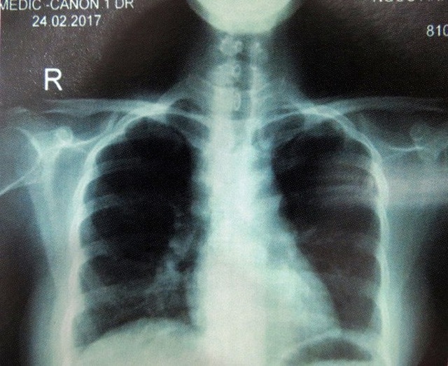
Đáng nói, sự nguy hiểm thực sự của căn bệnh không chỉ nằm trên da. Cô gái còn bị mờ mắt, chẩn đoán ban đầu là viêm màng bồ đào mắt mãn tính. Hai lá phổi cô cũng xuất hiện những nốt li ti, phì đại hạch rốn phổi phải và hạch trung thất. Tất cả các tổn thương tưởng không liên quan đó đều do bệnh siêu giả dạng gây ra.

Rất may, sau khi xác định đúng bệnh, các bác sĩ tìm ra hướng đẩy lùi các tổn thương do bệnh siêu giả dạng.
Theo báo cáo của nhóm tác giả gồm bác sĩ chuyên khoa I Nguyễn Vũ Hoàng và bác sĩ chuyên khoa II Nguyễn Thị Bích Liên, đều đến từ BV Da liễu, trong Hội nghị Da liễu khu vực phía Nam do BV này vừa tổ chức, nữ bệnh nhân này đã có nhiều dấu hiệu khả quan sau 1 năm điều trị.
Cụ thể, các triệu chứng về mắt của cô đã khỏi hoàn toàn, các hạch rốn phổi phải và hạch trung thất giảm kích thước đáng kể. Riêng các tổn thương về da có những đợt giảm rồi tái phát, đến nay đã giảm gần hết và các bác sĩ hy vọng nó sẽ sớm biến mất hẳn. Hiện cô tiếp tục được điều trị nội khoa với thuốc liều nhẹ.
Theo A. Thư
Người lao động










