Tinh nghệ trị được những loại ung thư nào?
Một trong những trở ngại lớn của việc phát triển Curcumin (tinh nghệ) như một phương thuốc điều trị ung thư là hoạt tính sinh học thấp. Tuy nhiên các nghiên cứu lâm sàng khẳng định hoạt tính sinh học của Curcumin có thể đạt được trên đường tiêu hoá sau khi sử dụng qua đường uống.

Mặc dù các nghiên cứu về Curcumin trên các bệnh ung thư khoang miệng còn ít nhưng Curcumin đã được khẳng định có nhiều hứa hẹn trong việc phòng ngừa các bệnh ung thư khoang miệng. Trong mô hình gây ung thư khoang miệng ở chuột bằng 7,12 - dimethylbenz[a]anthracene cho thấy Curcumin khi sử dụng riêng liều cao hoặc kết hợp với piperine làm giảm một cách đáng kể ung thư biểu mô khoang miệng bởi tiềm năng chống enzyme lipidperoxydase và hoạt tính chống oxy hoá cùng với hiệu quả của nó trên các chất gây ung thư.
Nghiên cứu trên các bệnh nhân bạch sản khoang miệng là những tổn thương tiền ung thư cho thấy việc sử dụng Curcumin kết hợp với các vitamin E và C có thể có hoạt tính chống ung thư bằng cách tăng hoạt tính chống oxy hoá tại chỗ, do đó phòng ngừa quá trình lipidperoxydase và sự hư hại DNA. Các nghiên cưú cho thấy Curcumin có thể ức chế như một tác nhân dự phòng ung thư khoang miệng qua khả năng ức chế hoạt hoá chất gây ung thư bằng việc tạo thuận lợi cho việc bộc lộ và tăng cường chức năng Cytocrome P450 hoặc CYP1B1.
Ung thư thực quản
Ung thư thực quản có 2 loại là ung thư biểu mô tuyến và ung thư biểu mô vảy. Ngay cả với sự tiến bộ của những phương pháp điều trị mới gần đây, khả năng sống sót của những bệnh nhân ung thư thực quản vẫn thấp. Trong khi ít có hy vọng đổi mới phương pháp điều trị ung thư thực quản thì có một vài trung tâm nghiên cứu đã tiến hành thử nghiệm Curcumin.
Nghiên cứu cho thấy trên các bệnh nhân ung thư biểu mô tuyến Curcumin ức chế hoạt động của NF-kB và thúc đẩy các tế bào ung thư đi vào chu trình chết tự nhiên. Trong một nghiên cứu khác cho thấy Curcumin thúc đẩy các tế bào ung thư đi vào chu trình chết tự nhiên ở cả 2 loại là ung thư biểu mô tuyến và ung thư biểu mô vảy. Trong ung thư biểu mô vảy Curcumin làm giảm hoạt động của Prostaglandin E2, phân tử liên quan với sự phát triển ung thư trong ung thư biểu mô vảy thực quản.
Trong bệnh ung thư dạ dày, nhiễm khuẩn Helicobacter pylori của các tế bào biểu mô dạ dày là một trong những cơ chế chính phát sinh ung thư dạ dày. Một trong những cơ chế được đưa ra về việc phát sinh ung thư dạ dày do Helicobacter pylori là sự bộc lộ bất thường của enzym cytidin dexaminase gây hoạt hoá AID và quá trình hoạt hoá NF-kB. Vì vậy Curcumin ức chế NF-kB có thể được coi là một tác nhân dự phòng hoá chất mạnh chống lại việc sinh ung thư do Helicobacter pylori. Tác dụng dự phòng ung thư dạ dày của Curcumin đã được thực hiện trên nghiên cứu lâm sàng ở pha I.
Đa polyp u tuyến gia đình
2/3 polyp đại tràng là polyp tuyến. Theo một định luật chung, polyp tuyến càng lớn thì khả năng ung thư hóa càng cao. Do đó các polyp lớn cần phải được sinh thiết hoặc cắt bỏ hoàn toàn và gửi đi xét nghiệm giải phẫu bệnh học. Ung thư đại trực tràng là nguyên nhân gây tử vong nhiều thứ 2, chiếm 14% các trường hợp tử vong do ung thư. Ung thư đại trực tràng có thể phòng ngừa được nếu phát hiện sớm các polyp tuyến tiền ung thư.
Nghiên cứu được thực hiện bởi Cruz - Correa và cộng sự trên các bệnh nhân đa polyp u tuyến gia đình cho thấy Curcumin có tiềm năng lớn trong việc ức chế bệnh đa polyp u tuyến gia đình. Các bệnh nhân tình nguyện ở giai đoạn phẫu thuật uống Curcumin trong 6 tháng. Số lượng và kích thước polyp được đánh giá sau điều trị cho thấy số lượng khối u giảm 60,4% và kích thước khối u giảm 50,9% so với đối chứng, hiệu quả rộng và không gây tác dụng phụ nào 6 tháng điều trị.
Nghiên cứu lâm sàng trên bệnh nhân viêm ruột mạn tính.
Bệnh viêm ruột
Nghiên cứu được thực hiện trên các bệnh nhân bởi Holt và cộng sự cho thấy Curcumin ức chế viêm loét đại tràng và hội chứng kích thích ruột. Kết quả nghiên cứu trên các bệnh nhân tình nguyện cho thấy giảm tái phát, giảm triệu chứng khó chịu, cải thiện triệu chứng. Nghiên cứu được tiến hành trên 207 bệnh nhân tình nguyện uống 2 viên tinh nghệ/ngày trong 8 tuần cho thấy cải thiện triệu chứng rõ rệt.
Ung thư tuyến tuỵ tiến triển
Kết quả nghiên cứu lâm sàng trên các bênh nhân ung thư tuyến tuỵ tiến triển cho thấy việc sử dụng Curcumin không gây tác dụng không mong muốn nào, kết quả đáng mừng một bệnh nhân có kích thước khối u giảm 73%, các bệnh nhân khác cho đáp ứng tốt có thể đánh giá được.
Bệnh u máu nội mô gan ở Việt Nam
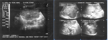
Ở Việt Nam chúng tôi đã sử dụng Curcumin điều trị có hiệu quả rất tốt cho một bệnh nhân u máu nội mô gan ở một trẻ nhỏ 5 tháng tuổi. Bệnh nhân có nhiều u máu, gan kích thước lớn (8 khối u) chiếm trên 60% thể tích gan. Lúc đầu chúng tôi cũng đã liên hệ với nhiều trung tâm nhi khoa nhưng đều có một gợi ý là phẫu ghép gan. Trong lúc tưởng chừng như không còn hy vọng, thử điều trị bằng Curcumin cho thấy các triệu chứng như rối loạn tiêu hoá, vàng da, chán ăn và gan to đã giảm nhẹ, trẻ phát triển tốt về thể lực. Sau 1 năm kiểm tra lại bằng siêu âm cho thấy tất cả các khối u của gan đã mất chỉ còn lại một vài vết sẹo nhỏ.
Đây là trường hợp u máu nội mô gan ở trẻ còn ẵm ngửa lần đầu tiên và duy nhất được điều trị hiệu quả bằng Curcumin được công bố trên y văn thế giới (http://www.ncbi.nlm.nih.gov/pubmed/20582974). Kết quả chứng tỏ Curcumin có tác dụng ức chế tăng sinh tế bào nội mô.

Ảnh siêu âm trước điều trị (18/03/2003) Ảnh siêu âm sau điều trị (05/2004)
![]() Mới đây, Sabinsa (Hoa kỳ), tập đoàn cung cấp Curcumin hàng đầu trên thế giới cùng với các đối tác đã chuyển giao thành công công nghệ sản xuất viên nén Curcumin kết hợp với Bioperine tại Việt Nam. Sản phẩm mang tên Sakanti do công ty dược Thiên thành phân phối trên toàn quốc. Sakanti chứa 500mg Curcumin (loại tinh khiết tới 95%) kết hợp với 5mg Bioperine (tinh chất hạt tiêu đã chuẩn hoá) theo đúng tỷ lệ đã được Sabinsa và nhiều trung tâm nghiên cứu tại Hoa kỳ chứng minh là làm tăng khả năng hấp thu của curcumin lên 20 lần. Do vậy sử dụng 1- 2 viên Sakanti tương đương với việc dùng liều từ 4g -8g curcumin đơn chất / 1 ngày.
Được biết tập đoàn Sabinsa là nhà cung cấp nguyên liệu cho các trung tâm nghiên cứu ung thư danh tiếng trên thế giới như viện nghiên cứu Aderson bang Texas – Mỹ, Sami Lab… để tiến hành nghiên cứu lâm sàng của curcumin trong việc phòng ngừa và hỗ trợ điều trị ung thư. Điện thoại tư vấn: (04) 66747322 |
PGS.TS.Lê Đình Roanh
Giám đốc TT Nghiên cứu và phát hiện sớm ung thư











