Sán làm tổ trong não vì 3 món nhiều người Việt thường ăn
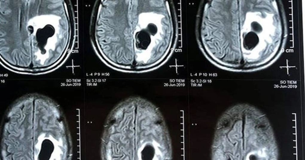
(Dân trí) - Chụp cộng hưởng từ sọ não thấy khối tổn thương ký sinh tại vùng não của bệnh nhân do ấu trùng sán dây lợn.
Gần một năm nay, anh Trường (tên nhân vật đã được thay đổi), 40 tuổi, sống tại Thanh Hóa bị đau đầu không rõ nguyên do. Thời gian đầu, cơn đau chỉ xuất hiện ở vùng trán đỉnh, mỗi ngày 1-2 cơn. Anh tự mua thuốc giảm đau uống thì hết.
Tuy nhiên, chỉ 2-5 ngày sau cơn đau đã xuất hiện trở lại. Đáng nói, 3 tháng gần đây, tình trạng đau đầu của anh Trường tăng mạnh về cường độ và thời gian. Cơn đau khiến người đàn ông mất ăn, mất ngủ. Thậm chí, anh còn xuất hiện tình trạng động kinh, co giật.

Sán làm tổ trên não có thể do thói quen ăn tiết canh và nem chạo (Ảnh: Bác sĩ cung cấp).
Gia đình đã đưa anh Trường đến khám tại bệnh viện tâm thần và dùng thuốc nhưng không khỏi.
Mới đây, anh Trường đến Bệnh viện Đặng Văn Ngữ thuộc Viện Sốt rét - Ký sinh trùng - Côn trùng Trung ương để thăm khám.
Theo TS.BS Trần Huy Thọ, Phó giám đốc Bệnh viện Đặng Văn Ngữ, kết quả xét nghiệm ELISA của bệnh nhân dương tính với ấu trùng sán dây lợn. Chụp cộng hưởng từ sọ não thấy khối tổn thương ký sinh tại vùng não của anh Trường do ấu trùng sán dây lợn.
"Hiện tượng đau đầu, co giật của bệnh nhân là do bệnh ấu trùng sán dây lợn ký sinh trên não gây nên", BS Thọ cho hay.
Qua khai thác bệnh sử, anh Trường cho biết, tiết canh lợn, nem thính, nem chạo là món ăn khoái khẩu. BS Thọ nhận định bệnh nhân có thể nhiễm ấu trùng sán lợn từ các món ăn này.
Sán não là bệnh lý thuộc nhóm nhiễm trùng hệ thần kinh trung ương, gây ảnh hưởng nghiêm trọng đến sức khỏe của người bệnh với mức độ nguy hiểm rất cao. Bệnh có thể dẫn đến tử vong nếu không được chẩn đoán và điều trị kịp thời. Bệnh phát triển âm thầm cho đến khi phát hiện những triệu chứng rõ rệt thường khá muộn.
Đặc biệt khi ấu trùng sán lợn cư trú trong não (gặp ở 60-96% trường hợp), có thể dẫn đến các nhóm bệnh thần kinh như: Nhức đầu (48,4%), động kinh (6,2%), rối loạn tâm thần (5,2%), rối loạn thị giác (15,6%), suy nhược cơ thể - giảm trí nhớ (28,1%), co giật cơ (34,3%).
Ngoài ra, thể ấu trùng dưới da và trong cơ chiếm 18,57%, chủ yếu ở cơ hoành, cơ lưỡi, cơ delta, vùng thân, vùng chi và cổ, dưới da đầu...
"Nguyên nhân mắc bệnh sán não là do ăn phải ấu trùng sán dây lợn hoặc ăn thịt lợn, nem hoặc thịt lợn tái, nướng chưa chín, hoặc rau sống chưa được vệ sinh sạch sẽ. Khi vào cơ thể, ấu trùng sán di chuyển theo đường máu tới não, cơ và gây bệnh", BS Thọ cho hay.
Các chuyên gia khuyến cáo người dân cần đề phòng nhiễm bệnh bằng những biện pháp giảm thiểu các yếu tố nguy cơ dẫn đến nhiễm ấu trùng như:
- Giữ môi trường sống sạch sẽ.
- Ăn uống hợp vệ sinh.
- Không ăn thức ăn chưa nấu chín như gỏi cá, tiết canh...
- Luôn rửa tay sạch với xà phòng trước và sau khi đi vệ sinh.
- Hạn chế thả rông lợn, nếu nuôi lợn thì phải tuân thủ những quy trình xử lý phân, hay ngăn cách địa điểm nuôi với môi trường sống.
- Tẩy giun sán định kỳ.
Khi thấy trong người có các biểu hiện như đau nhức đầu liên tục, chóng mặt, mất ngủ..., người dân cần nhanh chóng đến các cơ sở y tế để được thăm khám và điều trị.












