Nội soi cắt u lành bằng kỹ thuật mới, ngừa tái phát
(Dân trí) - Khối u được cắt bằng phương pháp nội soi ruột già qua đường hậu môn, ít bị tái phát trở lại. Những khối u lành của ruột già bắt đầu chuyển biến sang ung thư giai đoạn sớm có thể áp dụng kỹ thuật này mà không cần phẫu thuật.
Ngày 10/6, Th.S BS Trần Ngọc Lưu Phương, Phó khoa Nội tiêu hóa, BV Nguyễn Tri Phương cho biết, bệnh viện vừa áp dụng thành công kỹ thuật cắt hớt niêm mạc qua nội soi (endoscopic mucosal resection) để lột bỏ và cắt trọn gốc khối polyp (u lành) ở ruột già có kích thước 2cm không có cuống và bám chặt vào thành ruột già bằng cách nội soi ruột già qua đường hậu môn.
Trước khi nhập viện, bệnh nhân P.T.H, 78 tuổi bị đau bụng, tiêu lỏng trong vài tháng. Tuần trước, bệnh nhân bắt đầu đi cầu có lẫn máu nên đi khám bệnh, nội soi ruột già phát hiện khối u như trên. Sau khi thực hiện thủ thuật thành công, bệnh nhân được xuất viện ngay trong ngày và sức khỏe ổn định, sinh hoạt bình thường. Kết quả sinh thiết (nhìn dưới kính hiển vị) cho thấy toàn bộ khối u đã được cắt bỏ tận gốc. Đây là khối u lành hoàn toàn, không có hiện diện của tế bào ung thư.

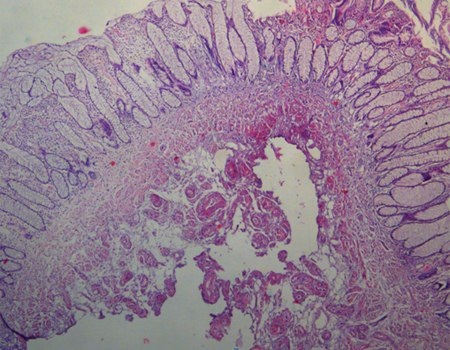
Khối u được cắt nhỏ ra và soi qua kính hiển vi, thấy rõ tận phần gốc của khối u
Với kỹ thuật mới này, qua nội soi ruột già từ đường hậu môn lên, bác sĩ có thể cắt trọn gói tận gốc khối u lành không có cuống và bám chặt vào thành ruột già, thậm chí những khối u ác tính ở ruột già có kích thước không to và chưa dính rễ quá sâu vào ruột già. Những khối u lành ruột già dù bám chặt vào thành ruột vẫn sẽ được lột bỏ và lấy hết phần gốc của khối u.
Điều này có 3 ưu điểm: khối u lành được lấy hết tận phần gốc, ít bị tái phát trở lại; qua kính hiển vi sẽ thấy rõ toàn bộ khối u kể cả phần gốc và biết chắc chắn tại đây có tế bào ung thư hiện diện hay chưa; với những khối u lành của ruột già bắt đầu chuyển biến sang ung thư giai đoạn sớm, có thể dùng kỹ thuật này mà không cần phẫu thuật.
Hồng Nhung










