Nguyên tắc phòng ngừa biến chứng nguy hiểm của viêm họng cấp lúc giao mùa
(Dân trí) - Giao mùa là thời điểm thuận lợi cho các virus gây bệnh đường hô hấp phát triển và lây lan. Viêm họng cấp là một trong số những bệnh lý thường gặp vào khoảng thời gian này.
Viêm họng cấp: Bệnh lý thường gặp lúc giao mùa
Theo TS.BS Nguyễn Thị Hằng, Trưởng Khoa Tai Mũi Họng, Bệnh viện Hữu Nghị, viêm họng cấp là bệnh đường hô hấp thường gặp. Bệnh lý này gây viêm nhiễm tại vùng họng hoặc amidan của bệnh nhân. Bên cạnh đó, viêm họng cấp cũng có thể đi cùng với một số bệnh nhiễm khuẩn đường hô hấp khác như cảm, cúm, sởi.

Bác sĩ khám bệnh cho bệnh nhân.
“Vì có sức đề kháng kém, nên trẻ em là đối tượng dễ mắc viêm họng cấp nhất, đặc biệt là khi thời tiết chuyển lạnh đột ngột”, BS Hằng phân tích.
Theo BS Hằng, đau họng là biểu hiện đặc trưng nhất của viêm họng cấp. Bên cạnh đó, tùy theo thể trạng của từng người mà bệnh còn gây ra những triệu chứng riêng.

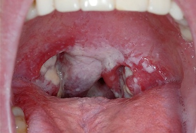
Viêm họng do liên cầu khuẩn, triệu chứng đặc trưng sẽ là nuốt đau, niêm mạc họng đỏ, có giả mạc trắng hoặc xám, sốt, ớn lạnh, chán ăn, nôn...
BS Hằng chia sẻ: “Đối với bệnh bạch cầu hạt đơn nhân có thể khiến bệnh nhân nổi hạch, đau cơ, sốt cao, ăn kém, nổi ban đỏ. Trong khi đó, với viêm họng do liên cầu khuẩn, triệu chứng đặc trưng sẽ là nuốt đau, niêm mạc họng đỏ, có giả mạc trắng hoặc xám, sốt, ớn lạnh, chán ăn, nôn…”.
Đáng chú ý, ngay từ lúc biểu hiện bệnh cho đến khi lui cơn sốt, người bệnh đã có thể phát tán virus làm lây lan mầm bệnh thông qua các giọt bắn đường hô hấp.
Viêm họng có thể gây biến chứng nguy hiểm
Theo BS Hằng, bệnh viêm họng thường không gây ảnh hưởng nhiều đến sức khỏe, nhưng nếu không được điều trị kịp thời, đúng cách có thể dẫn đến những biến chứng nguy hiểm.
“Viêm họng do liên cầu khuẩn là đáng ngại nhất. Nếu điều trị muộn sẽ dẫn tới các biến chứng nhiễm trùng ở amidan, tai, máu, viêm thận, sốt thấp khớp và thậm chí làm tổn hại cho van tim. Trẻ em cũng là đối tượng dễ bị tổn thương nhất bởi căn bệnh này”, BS Hằng nói.

Chuyên gia này khuyến cáo, nếu người dân tự điều trị viêm họng tại nhà, nên uống nhiều nước để ngăn ngừa tình trạng mất nước. Bên cạnh đó, thường xuyên súc họng bằng nước muối sinh lý. Trong trường hợp cảm thấy đau họng, có thể dùng các loại thuốc ngậm họng, để giảm triệu chứng. Một số loại thực phẩm thuốc như mật ong, cam thảo cũng rất hiệu qủa trong việc làm giảm cảm giác đau và ngứa họng, trong trường hợp này.
Khi bị viêm họng, người bệnh cũng nên nghỉ ngơi, tránh làm việc, vận động quá sức. Hạn chế tiếp xúc với những người cũng đang mắc bệnh về đường hô hấp để tránh nguy cơ bị bội nhiễm. Chú ý bổ sung dinh dưỡng trong khẩu phần ăn hàng ngày. Hạn chế tối đa các chất kích thích như thuốc lá, rượu bia…. Giữ ấm cho cơ thể, đặc biệt là vùng cổ họng và tập thể dục thể thao để tăng sức đề kháng.
Với trẻ nhỏ bị viêm họng, việc chăm sóc càng cần phải chú ý hơn. BS Hằng cho hay: “Bệnh nhi bị viêm họng cần đặc biệt chú ý trong khâu giữ ấm. Cần tránh gió lạnh, mưa, mặc đủ ấm, đi tất quàng khăn, giữ ấm tai, cổ”.
Trong trường hợp đau họng sau 2 ngày không có dấu hiệu thuyên giảm, người dân nên đến bệnh viện để thăm khám và điều trị kịp thời.











