Nam công nhân bị dây kẽm siết suýt đứt cổ tay
(Dân trí) - Hết giờ làm chính, nam công nhân bước vào thời gian tăng ca, đến nửa đêm anh kiệt sức, mất tập trung bị máy cuộn dây siết vào cổ tay gây tổn thương nghiêm trọng.
Bác sĩ Chuyên khoa 2 Võ Hòa Khánh, Trưởng phòng Quản lý Chất lượng, Bệnh viện Chấn thương Chỉnh hình, TPHCM cho biết, tại đây vừa tiếp nhận và kịp thời xử lý cho một trường hợp bị tai nạn lao động rất hy hữu.

Bệnh nhân là anh Phan Văn L. (SN: 1992, ngụ tại ấp 6, xã Mỹ Cẩm, huyện Càng Long, tỉnh Trà Vinh) được chuyển đến bệnh viện cấp cứu vào lúc 3 giờ 30 phút ngày 27/2. Thời điểm nhập viện, cổ tay trái của bệnh nhân có vết siết chặt hết 1 vòng chu vi cổ tay. Vùng bàn tay, ngón tay tím, lạnh, thiếu máu nuôi toàn bộ, mất chức năng vận động và cảm giác.
Khai thác bệnh sử của bác sĩ từ phía người bệnh ghi nhận, bệnh nhân là công nhân đứng máy để cuộn các cọng dây kẽm (cọng kẽm như lưới B40). Ngày 26/2 sau khi kết thúc ca làm chính, anh tiếp tục tăng ca. Khoảng nửa đêm do mệt mỏi, kiệt sức, anh mất tập trung nên bị máy cuộn kẽm quấn lên cổ tay và siết chặt.
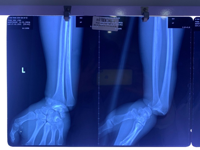
Tai nạn xảy ra khiến nam công nhân đau đớn kêu cứu và được đồng nghiệp đưa đến bệnh viện cấp cứu trong tình trạng bàn tay đã tím tái mất cảm giác. Kết quả chụp X-quang trước mổ ghi nhận, bệnh nhân bị gãy, trật khớp cổ tay trái. Ngay lập tức các bác sĩ chỉ định thực hiện cuộc phẫu thuật ở giờ thứ 8 sau tai nạn.

Trong quá trình mổ, bác sĩ ghi nhận ngoài trình trạng gãy, trật khớp, vị trí cổ tay của bệnh nhân còn bị dập tắc bó mạch thần kinh trụ, dập động mạch quay, dập thần kinh giữa, nhổ dập nát các gân cơ, gân duỗi các ngón, dập siết cổ tay, bàn tay tím.
Hai phẫu thuật viên chính là Bác sĩ Huỳnh Quang Tuyến, Bác sĩ Văn Tiến Chương, khoa Vi phẫu Tạo hình đã tiến hành cắt lọc, cố định khớp cổ tay, nối vi phẫu tận - tận động mạch trụ, giải phóng bao ngoài động mạch quay, giải ép và giải phóng bao ngoài thần kinh quay, thần kinh trụ, thần kinh giữa.
Bên cạnh đó, các bác sĩ còn cắt lọc gân - cơ duỗi (dự kiến sẽ khâu nối gân duỗi sau khi bàn tay ổn định), giải ép khoang mu bàn tay. Sau 3 ngày phẫu thuật, bàn tay của bệnh nhân đã hồng ấm, có cảm giác một phần, các ngón tay đã có thể cử động nhẹ.

Bác sĩ Võ Hòa Khánh cho biết, bệnh viện tiếp nhận khá nhiều ca bị tai nạn bị siết, ép mạch máu do đeo nhẫn, do bù loong, con tán hoặc dây kẽm nhưng thường chỉ bị 1 đến 2 ngón, trường hợp tai nạn lao động bị dây kẽm siết ở cổ tay nêu trên là rất hiếm vì hy hữu.
Bệnh nhân đã may mắn được các đồng nghiệp cắt bỏ dây kẽm trong vòng 2 tiếng đầu và đến bệnh viện khá sớm nên cơ hội cứu sống được bàn tay rất khả thi. Thời gian tới, bệnh nhân sẽ tiếp tục được dùng kháng sinh mạnh chống nhiễm trùng, sau đó sẽ khâu da, ghép da bổ sung và khâu phục hồi gân duỗi sau khi bàn tay sống, không nhiễm trùng.
Từ trường hợp trên, bác sĩ cảnh báo, tai nạn lao động thường xảy ra khi bệnh nhân mệt mỏi, buồn ngủ, mất tập trung trong các làm ca đêm. Chỉ cần một vài giây bất cẩn, người gặp nạn sẽ phải đối mặt với các thương tổn, nguy cơ dẫn đến tàn phế, di chứng nặng nề. Do đó, ngoài việc trang bị đầy đủ đồ bảo hộ lao động, người lao động và người quản lý lao động cần phải tính toán thời gian làm việc hợp lý để vừa đảm bảo được năng suất lao động, vừa tránh những rủi ro có thể xảy ra.










