Liệt nửa người, đi khám mới biết sán làm tổ trong não
(Dân trí) - Đau đầu, buồn nôn, sốt, tê liệt nửa người, ông S. được người nhà đưa đến bệnh viện. Kết quả kiểm tra cho thấy bệnh nhân có 5 ổ sán rải rác trong não, gây phù não. Đây chính là nguyên nhân dẫn tới các triệu chứng trên.
Ngày 4/7, thông tin từ Bệnh viện Hữu nghị đa khoa Nghệ An, sau ca mổ để xử lý triệt để các ổ sán làm tổ trong não, sức khỏe bệnh nhân Lô Văn S. (SN 1981, trú huyện Quỳ Hợp, Nghệ An) đang hồi phục tốt .

Cuối tháng 6/2019, bệnh nhân được người nhà đưa đến bệnh viện trong tình trạng đau đầu nhiều, buồn nôn, sốt, tê yếu nửa người, tri giác chậm. Các triệu chứng này xuất hiện 1 tháng trước đó, bệnh nhân đã được cho sử dụng các loại thuốc giảm đau nhưng không hiệu quả.
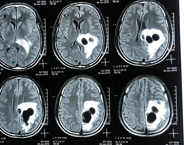
Kết quả chụp CT cho thấy có 5 ổ sán nằm rải rác trong não bệnh nhân, trong đó có một ổ sán lớn trên đỉnh, gây phù não. Bệnh nhân được chỉ định can thiệp ngoại khoa để lấy trọn vẹn ổ nang sán khỏi não. Sau mổ, bệnh nhân hồi phục, tỉnh táo, không liệt, đi lại và sinh hoạt bình thường.
Hiện tại, bệnh nhân S. đang được tiếp tục điều trị thuốc đặc trị sán.
Theo các bác sỹ, kén sán não là bệnh nhiễm trùng hệ thần kinh do ấu trùng sán sống ký sinh ở người gây ra. Bệnh thường gặp ở người dân nơi có mức sống thấp, điều kiện vệ sinh môi trường kém, vùng có tập quán nuôi lợn thả rông hoặc ăn thịt lợn chưa nấu chín.
Người bị nhiễm trùng hệ thần kinh do ấu trùng sán nếu không được can thiệp kịp thời có thể gây ra những hậu quả nặng nề về sức khỏe, khả năng vận động... Do vậy, để phòng bệnh, các bác sỹ khuyến cáo người dân ăn chín, uống sôi, tuyệt đối không ăn tiết canh, gỏi sống...
Vĩnh Khang










