Đang chơi golf, người đàn ông Hàn Quốc bỗng đau đầu dữ dội
(Dân trí) - Người đàn ông 46 tuổi, Hàn Quốc được đưa vào bệnh viện cấp cứu với chẩn đoán đột quỵ, chảy máu dưới nhện thể nặng.
Trở về Hàn Quốc sau khi thoát cửa tử trong gang tấc, mới đây bệnh nhân người Hàn Quốc đã viết thư gửi cảm ơn các bác sĩ Bệnh viện Bạch Mai (Hà Nội). Với sự phối hợp của các chuyên khoa Đột quỵ, Điện quang, Phẫu thuật thần kinh và Phục hồi chức năng, bệnh nhân đã được cứu sống.
PGS.TS.BS Mai Duy Tôn, Giám đốc Trung tâm Đột quỵ, Bệnh viện Bạch Mai cho biết bệnh nhân Bae Hyo Nam 46 tuổi, người Hàn Quốc, sinh sống và làm việc tại Việt Nam được 7 năm. Bệnh nhân là chủ của một công ty lớn tại Việt Nam chuyên sản xuất phụ kiện điện thoại và phụ kiện xe ô tô.
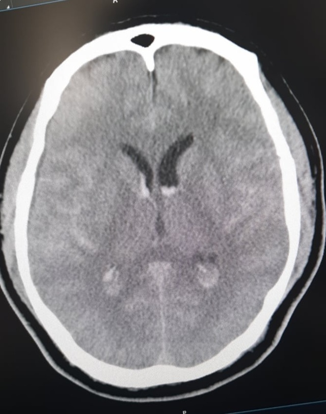
Ngày 9/12/2020, bệnh nhân cùng nhóm đối tác đang chơi gôn ở Hòa Bình thì đột ngột đau đầu dữ dội, buồn nôn và nôn nhiều. Bệnh nhân được đưa vào cấp cứu tại Bệnh viện tỉnh Hòa Bình, được chụp CT sọ não và chẩn đoán chảy máu dưới nhện và được chuyển lên Trung tâm Đột quỵ, Bệnh viện Bạch Mai.

Ngay khi tiếp nhận, các bác sĩ Trung tâm Đột quỵ đã nghi ngờ nguyên nhân chảy máu dưới nhện là do dị dạng mạch não. Bệnh nhân được đi chụp CTA - chụp mạch não phát hiện chảy máu dưới nhện lan tỏa - chảy máu não thất do vỡ phình lóc tách động mạch đốt sống phải đoạn V4. Đây là một tổn thương có vị trí khó, phức tạp.
Các bác sĩ nhận định đây là một ca đột quỵ nặng, nguy cơ vỡ thì hai rất cao và bệnh nhân sẽ tử vong nếu không được can thiệp cấp cứu. Ngay lập tức bệnh nhân được hội chẩn đa chuyên khoa thống nhất tiến hành can thiệp điện quang cấp cứu, chuyên khoa Phẫu thuật thần kinh chuẩn bị sẵn sàng phòng biến chứng vỡ thì hai sẽ mổ cấp cứu.
Bệnh nhân được đưa vào phòng can thiệp mạch. Vị trí mạch máu não tổn thương là một vị trí rất nguy hiểm, can thiệp rất khó khăn, và có nguy cơ biến chứng nhồi máu vùng thân não rất cao. Sau hơn một giờ căng thẳng, ca can thiệp đã thành công. Bệnh nhân được đưa về phòng hồi sức tích cực của Trung tâm Đột quỵ.
Theo PGS Tôn, can thiệp mạch xong nhưng đó chỉ là một bước trong nhiều bước điều trị toàn diện cho bệnh nhân chảy máu dưới nhện - chảy máu não thất. Những ngày sau Trung tâm Đột quỵ phối hợp với Trung tâm Phục hồi chức năng tiến hành điều trị và phục hồi chức năng sớm, ngay tại giường cho bệnh nhân. Sau 12 ngày tích cực điều trị, tình trạng bệnh nhân đã dần ổn định và tiến triển tốt. Bệnh nhân tỉnh táo, giao tiếp được, tự thở, huyết động ổn định.
Ngày 21/12/2020, bệnh nhân được chuyển sang một bệnh viện tư nhân trên địa bàn Hà Nội tiếp tục điều trị. Sau 5 tuần điều trị tại đây, bệnh nhân được chuyển tiếp đến Viện Y học cổ truyền Bộ Công an để điều trị và phục hồi chức năng.
Đến nay bệnh tình của bệnh nhân đã dần bình phục và ngày 17/2, bệnh nhân đã xin về Hàn Quốc để tiếp tục điều trị và phục hồi chức năng.
Trong lá thư cảm ơn gửi tới tập thể Y bác sĩ Trung tâm Đột quỵ, bệnh nhân Bae Hyo Nam viết: "Hôm nay tôi viết thư này xin bày tỏ tấm lòng biết ơn sâu sắc đến các vị lãnh đạo, các bác sĩ, y tá, điều dưỡng của Trung tâm Đột quỵ - Bệnh viện Bạch Mai đã chăm sóc và tận tình điều trị bệnh cứu sống tôi. Một lần nữa tôi xin được cảm ơn và kính chúc sức khỏe tới các vị lãnh đạo, bác sĩ, y tá, điều dưỡng và toàn bộ nhân viên Trung tâm Đột quỵ, Bệnh viện Bạch Mai. Xin chúc bệnh viện ngày càng đạt nhiều thành tựu trong công tác cứu chữa người bệnh".












