Cứu sống cụ bà gãy cổ xương đùi, mắc nhiều bệnh mạn tính
(Dân trí) - Sau cú trượt chân té xuống sàn nhà, bà cụ đau đớn, không ngồi dậy được. Qua chẩn đoán hình ảnh, bác sĩ xác định liên mấu chuyển xương đùi phải bệnh nhân bị gãy thành nhiều mảnh, tiền sử mắc nhiều bệnh lý mạn tính khiến cụ đối mặt với cái chết từ từ.
Ngày 10/2, BS Nguyễn Văn Giáp, Trưởng khoa Chấn thương Chỉnh hình, bệnh viện Phúc An Khang cho biết, tại đây vừa thực hiện thành công cuộc phẫu thuật cứu sống bệnh nhân bị gãy cổ xương đùi trên nền cơ địa có nhiều bệnh lý mạn tính phức tạp.
Ngày 24/3/2015, cụ bà Lê Thị Dĩ Ng. (78 tuổi, ngụ tại huyện Nhơn Trạch, tỉnh Đồng Nai) được gia đình chuyển đến bệnh viện trong tình trạng đau đớn, chân phải không cử động được. Qua khai thác bệnh sử ghi nhận, trước đó cụ bị trượt chân té ngã, đập mông xuống sàn nhà. Sau cú ngã, cụ không thể ngồi dậy được.
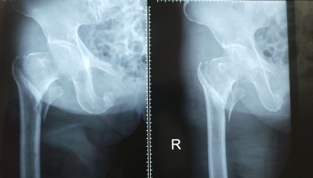
Qua chẩn đoán hình ảnh, bác sĩ phát hiện liên mấu chuyển cổ xương đùi phải của bệnh nhân gãy thành 4 mảnh lớn và nhiều mảnh nhỏ. Ngoài chấn thương trên, cụ bà còn bị suy thận mạn giai đoạn cuối, đái tháo đường, tăng huyết áp, bệnh tim thiếu máu cục bộ. Trước tình trạng cơ địa suy kiệt của người bệnh, ban đầu bác sĩ dự tính sẽ điều trị bảo tồn. Tuy nhiên, đây chỉ là phương án tạm thời nếu không được can thiệp triệt để, cụ bà sẽ phải nằm một chỗ chấp nhận cái chết đến từ từ vì nhiễm trùng, suy hô hấp.
Tuy nhiên, nếu thực hiện phẫu thuật trên nền cơ địa suy kiệt với nhiều bệnh lý mạn tính, nguy cơ bệnh nhân có thể bị nhồi máu cơ tim, ngưng tim ngay trên bàn mổ là rất cao. Với sự đồng thuận của gia đình, sau khi hội chẩn liên chuyên khoa, các bác sĩ đã quyết định gây tê, sử dụng thiết bị theo dõi liên tục các chỉ số sinh tồn, thực hiện cuộc phẫu thuật cho bệnh nhân.
Dưới sự hỗ trợ của màn hình tăng sáng (C-ARM) ê kíp phẫu thuật đã mở vết mổ 4cm, thực hiện thành công thủ thuật kết hợp xương nẹp vít cho người bệnh. 2 tuần sau khi được can thiệp, hiện bệnh nhân đã ngồi dậy được, sức khỏe đang bình phục tốt.
Qua trường hợp trên, bác sĩ khuyến cáo, gãy cổ xương đùi là tai nạn thường gặp ở người lớn tuổi. Tình trạng lão hóa của cơ thể khiến hệ cơ xương của các cụ rất yếu, khó nâng đỡ được trọng lượng cơ thể, hạn chế vận động nên chỉ cần đi lại hoặc nghiêng người sai tư thế các cụ có thể bị té ngã dẫn tới bị gãy xương. Việc can thiệp y tế ở người lớn tuổi rất khó khăn, xương bị gãy cũng lâu bình phục.
Do đó, người cao tuổi ngoài nhu cầu được đảm bảo tốt về dinh dưỡng, bổ sung can xi đều đặn cho hệ xương thì con cháu trong gia đình cần phải chăm sóc chu đáo cho cha mẹ, ông bà mình. Tại những điểm có nguy cơ té ngã cao như bậc thềm, bậc thang, nhà cầu hoặc sàn nhà phải lót sàn hoặc lát gạch có độ ma sát cao, tường nhà cần phải làm tay vịn để hỗ trợ việc đi lại cho các cụ.
Vân Sơn










