Chạy đua với "tử thần", cứu bệnh nhân ung thư gan bị vỡ u chảy máu
(Dân trí) - Bệnh nhân ung thư gan vào viện trong tình trạng đau bụng dữ dội, huyết áp tụt, mạch nhanh, bác sĩ xác định khối u gan hơn 6cm bị vỡ, gây chảy máu nhiều, nguy cơ tử vong cao.
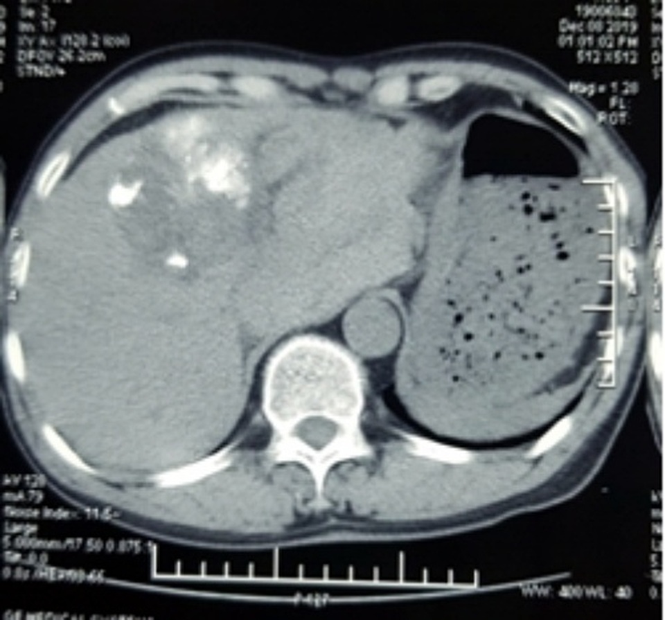
Bệnh nhân là ông Ngô Văn S., 59 tuổi, ở Hoàng Mai, Hà Nội mắc ung thư gan. Khối u có đường kính 6 cm, lồi khỏi mặt dưới gan trái.
Cách đây 3 tháng, ông đã được nút mạch hóa chất, sức khỏe ổn định. Mới đây, ông được người nhà đưa đến Bệnh viện Ung Bướu Hà Nội trong tình trạng đau bụng dữ dội vùng thượng vị, hoa mắt chóng mặt, da nhợt nhạt, mạch nhanh 140 lần/phút, huyết áp tụt còn 90/70 mmHg.

Qua siêu âm, các bác sĩ phát hiện có nhiều máu trong ổ bụng bệnh nhân. Kết quả chụp cắt lớp vi tính cho thấy, khối u gan kích thước hơn 6cm thâm nhiễm nhu mô gan trái đã vỡ, đang có dấu hiệu chảy máu, tạo khối máu tụ lớn khoang hậu cung mạc nối, nhiều dịch máu quanh gan và tiểu khung, chỗ dày nhất 6cm. Bệnh nhân được chẩn đoán sốc mất máu do u gan vỡ, nguy cơ tử vong cao.
Các bác sĩ đã hội chẩn cấp cứu và quyết định thực hiện kỹ thuật nút tắc động mạch gan để cầm máu u gan vỡ trên hệ thống máy chụp mạch số hóa xóa nền. Các bác sĩ khoa Chẩn đoán hình ảnh, Gây mê - Hồi sức cấp cứu đã khẩn trương sắp xếp hệ thống và tiến hành thủ thuật nhanh nhất có thể để chạy đua với “tử thần”.
BSCKII.Nguyễn Đình Hướng, Trưởng Khoa Chẩn đoán hình ảnh cho biết nếu không được xử trí ngay, bệnh nhân sẽ bị mất máu ồ ạt trong ổ bụng dẫn đến tử vong chỉ trong thời gian ngắn. Nút mạch gan là chỉ định hàng đầu để xử trí trong trường hợp này nhằm cứu sống bệnh nhân.
Kỹ thuật can thiệp nút mạch sẽ bít tắc được mạch máu bị vỡ (nguyên nhân chảy máu), giúp bệnh nhân cầm máu tức thì, tránh nguy cơ tử vong. Hơn nữa, vị trí luồn thiết bị can thiệp kích thước nhỏ như vết tiêm truyền mạch máu, ít gây đau đớn, không để lại sẹo và thời gian hồi phục sức khỏe sau thủ thuật của bệnh nhân nhanh, ít tai biến so với các phương pháp điều trị khác.
Ca phẫu thuật diễn ra trong khoảng 30 phút. Sau khi nút tắc động mạch mạch gan, huyết động của bệnh nhân ổn định ngay.
Sau 1 tuần, kết quả chụp cắt lớp vi tính cho thấy động mạch gan trái và phải tắc hoàn toàn, khối u không còn tăng sinh mạch, không còn dấu hiệu chảy máu ra ngoài khối u. Lượng máu tụ trong ổ bụng đã giảm 50%.
“Lúc vào viện tôi đau bụng quằn quại, cứ nghĩ mình sắp chết đến nơi. Giờ sức khỏe tôi đã ổn hơn nhiều, ăn uống tốt rồi”, ông Ngô Văn S. chia sẻ.
Chụp và nút động mạch dưới máy chụp mạch số hóa xóa nền là kỹ thuật hiện đại trong điều trị bệnh lý khối u khi không có chỉ định phẫu thuật. Một số trường hợp được chỉ định tiến hành trước phẫu thuật để tránh các biến chứng chảy máu trong cuộc mổ, mang lại nhiều cơ hội cứu sống người bệnh ung thư, nhất là ung thư gan.
Trước đây, để điều trị u gan vỡ chảy máu cấp ổ bụng, bệnh nhân phải trải qua cuộc đại phẫu nặng nề, mất máu, vết mổ hở gây đau đớn, thời gian nằm viện kéo dài, tai biến trong cuộc mổ cũng như hậu phẫu phức tạp, hay gặp hơn.
Nam Phương










