Thanh niên 28 tuổi bị ung thư gan và lời cảnh tỉnh cho những người thích rượu
(Dân trí) - Sau hơn 10 năm nghiện rượu, xơ gan không điều trị triệt để, nam thanh niên vào viện với biểu hiện đau bụng, sút cân, ăn uống không ngon, sức khỏe yếu và được chẩn đoán bị ung thư gan.
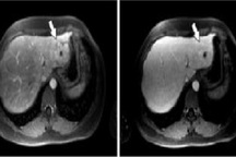
Nam thanh niên mới đây được gia đình đưa đến Bệnh viện Đa khoa Hùng Vương (Phú Thọ) khám. Bác sĩ chỉ định chụp CT - scanner đa dãy ổ bụng để chẩn đoán chính xác bệnh.
Kết quả gan có hình ảnh khối có tính chất ác tính, xơ gan, lách to, giãn tĩnh mạch vành vị, giãn đường mật gan trái.
Bác sĩ chuyên khoa Ung bướu, chẩn đoán hình ảnh của bệnh viện hội chẩn trực tuyến cùng các chuyên gia Bệnh viện K Trung ương (Hà Nội). Bệnh nhân được chẩn đoán bị ung thư gan và chỉ định nhập viện điều trị càng sớm càng tốt.

Theo gia đình, bệnh nhân có “thâm niên” uống rượu hơn 10 năm nay, bị xơ gan thời gian dài song chỉ điều trị bằng thuốc nam tại nhà. Theo bác sĩ, tiền sử nghiện rượu, xơ gan nhưng không điều trị triệt để là một trong những yếu tố dẫn đến ung thư gan.
Việt Nam nằm trong khu vực có tỷ lệ mắc ung thư gan cao nhất thế giới, bệnh có xu hướng gia tăng. Theo GLOBOCAN 2018, với 19.568 ca mắc mới, ung thư gan vượt qua ung thư phổi (16.722 ca) trở thành bệnh ung thư phổ biến nhất ở nam giới nước ta. Tỉ lệ mắc bệnh ung thư gan ngày càng trẻ hóa.
Tỷ lệ mắc ung thư gan đang gia tăng tại nhiều nước trong đó có Việt Nam do tăng tỷ lệ xơ gan do rượu, viêm gan B, C mạn tính và viêm gan nhiễm mỡ không được theo dõi và điều trị kịp thời. Mặc dù hiện đã có văcxin phòng viêm gan B nhưng do hiểu biết của người dân, đặc biệt ở vùng nông thôn và miền núi còn nhiều hạn chế nên không khám sức khỏe định kỳ, không tiêm phòng văcxin đầy đủ.
Xơ gan do bất kỳ nguyên nhân nào là yếu tố nguy cơ gây ung thư gan. Các yếu tố nguy cơ ung thư gan trong xơ gan là: nam giới, tuổi trên 55, chủng người Châu Á hoặc gốc Tây Ban Nha, tiền sử gia đình có người mắc ung thư gan, béo phì, viêm gan B và C, nghiện rượu, bệnh ứ sắt ở gan (Hemochromatosis).
70-80% ung thư gan phát triển trên xơ gan. Ngoài ra những người mắc viêm gan virus B có nguy cơ bị ung thư gan cao gấp khoảng hơn 200 lần so với người không mắc viêm gan B. Có khoảng 15-20% xơ gan do nhiễm virus viêm gan B biến chứng thành ung thư gan.
Hiện nay, đa số bệnh nhân ung thư gan đến khám khi đã muộn, thời gian sống trung bình không quá một năm. 60% đến viện khi đã ở giai đoạn trung gian và tiến triển, tỷ lệ được phát hiện sớm rất thấp.
Vì thế, bác sĩ khuyến cáo khi phát hiện mắc viêm gan B, C, xơ gan cần đến viện điều trị không nên tự điều trị tại nhà bằng phương pháp dân gian sẽ vô tình làm bệnh nặng hơn và không còn khả năng điều trị.
Theo Cục Y tế Dự Phòng, Bộ Y tế không có một ngưỡng uống rượu bia nào được coi là an toàn. Mỗi ngày, nam giới không nên uống quá hai đơn vị cồn, nữ không nên quá một đơn vị và không uống quá năm ngày trong một tuần.
Một đơn vị cồn theo cách tính của Tổ chức Y tế Thế giới bằng 10 g cồn nguyên chất, tương đương với 3/4 chai bia 330 ml (5%), một ly rượu vang 100 ml (13,5%), một cốc bia hơi 330 ml, hoặc một chén rượu mạnh 30 ml (40%).
Hà An










