Cẩn trọng “ Tiền mất tật mang” vì ham bọc răng sứ giá rẻ
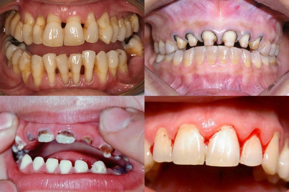
Không ít các trường hợp chỉ vì ham bọc răng sứ giá rẻ mà dẫn đến tình trạng hôi miệng, đau nhức, ê buốt kéo dài ảnh hưởng đến ăn uống và sinh hoạt.
Bọc răng sứ được coi là phương pháp hữu hiệu trong việc tạo hình răng thẩm mỹ hiện nay. Tuy nhiên nếu bọc răng ở những nơi kém uy tín thì hệ quả như đau, ê buốt, hôi miệng, viêm nhiễm...ảnh hưởng rất nhiều đến ăn uống, sinh hoạt.
Chị N.T.H (40 tuổi, Đống Đa, Hà Nội) răng bị nhiễm tetracycline do trước đây dùng quá nhiều thuốc kháng sinh, chị biết đến bọc sứ do thông tin quảng cáo trên mạng và tìm đến khám tại một cơ sở nha khoa ở Hà Nội. Sau khi được bác sĩ tư vấn và chị H đồng ý bọc răng.
Lúc đầu chị thấy rất tự tin về hàm răng trắng bóng mà chị mơ ước lâu nay; nhưng chỉ hơn một năm sau thì chị H thấy miệng có mùi hôi và xảy ra hiện tượng đau buốt khi ăn nhai. Quay lại hỏi bác sĩ, chị H nhận được câu trả lời tại cơ địa của chị bị như vậy!

Theo Bác sĩ Nguyễn Văn Hòa - Giám đốc Nha khoa thẩm mỹ Shinbi cho biết, nguyên nhân là do trong quá trình bọc sứ bác sĩ đã mài và điều trị tủy răng quá mức cho phép; gây tổn thương nghiêm trọng cho răng gốc. Ngoài ra, việc không điều trị triệt để bệnh lý trước khi chụp sứ, quy trình lắp răng sứ không chuẩn và sử dụng loại sứ kém chất lượng cũng gây ra những hệ quả kể trên.

Như vậy, ngoài việc tìm bác sĩ chuẩn, khách hàng có thể chọn một cách khác nhẹ nhàng hơn là phương pháp phủ sứ.

Điểm đặc biệt tại Shinbi Dental là khâu “thiết kế nụ cười”, sau khi tiến hành chụp ảnh 3D răng; sẽ thiết kế nụ cười theo nhận diện khuôn mặt, khách hàng hoàn toàn được lựa chọn nụ cười phù hợp nhất.
Chất lượng đi đôi với niềm tin, không ít ngôi sao đã tìm đến Shinbi Dental để tân trang lại nụ cười của mình.

MC Minh Hà và hành trình tìm lại nụ cười đã lãng quên lâu nay. Minh Hà chia sẻ rằng trước đây cô đã từng trải qua 2 lần làm bọc răng sứ nhưng kết quả không như mong đợi về cả yếu tố thẩm mỹ lẫn sức khoẻ. Sau đó Minh Hà tìm đến Shinbi Dental, “quá tam ba bận” cuối cùng Minh Hà đã tìm được nụ cười cho chính mình và tự tin hơn khi lên hình.
Khách hàng nên cẩn trọng và tìm hiểu trước sau khi quyết định làm răng sứ, để tránh “tiền mất tật mang” chỉ vì tin những quảng cáo bọc răng sứ giá rẻ!
Để được tư vấn trực tiếp từ Dr. Hòa, vui lòng liên hệ:
Nha khoa thẩm mỹ Shinbi
33 Trần Quốc Toản, P.Trần Hưng Đạo, Q.Hoàn Kiếm, Hà Nội
Hotline: 098 800 1889 - 1900 0215
Fanpage: Nha khoa thẩm mỹ Shinbi
Website: Shinbi.vn
Shinbi Dental – Trao công nghệ, nhận nụ cười










