Bị sỏi trong não do dị ứng bánh mì!
(Dân trí) - Một người đàn ông ở Brazil đã bị những cơn đau đầu khủng khiếp và rối loạn thị lực trong suốt mười năm do bị sỏi can xi trong não.
Những viên sỏi này là do bệnh nhân bị bệnh tiêu chảy mỡ - một bệnh tự miễn do dị ứng với gluten trong bột mì - nhiều năm mà không được chẩn đoán.
Do các triệu chứng đau đầu và rối loạn thị lực, bệnh nhân được điều trị theo hướng bệnh đau nửa đầu, nhưng các dấu hiệu không thấy cải thiện.

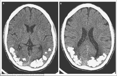
Những viên sỏi can xi trong não bệnh nhân
Chỉ đến khi được chụp cắt lớp thì những viên sỏi này - những đám vôi hóa nằm ở vùng não phía sau - mới được phát hiện ở vùng thị giác của não.
Xét nghiệm cho thấy dịch não của bệnh nhân có kháng thể liên quan với bệnh tiêu chảy mỡ.
Trường hợp bệnh nhân được báo cáo này phù hợp với nghiên cứu trước đây cho thấy 60% bệnh nhân bị bệnh tiêu chảy mỡ cũng có các triệu chứng thần kinh.
Xét nghiệm máu cho thấy bệnh nhân bị thiếu sắt và bệnh tiêu chảy mỡ. Khi bắt đầu được ăn chế độ ăn kiêng gluten, uông viên sắt và thuốc chống động kinh, tình trạng của bệnh nhân đã được cải thiện.
Các bác sĩ tại Trường Đại học São Paulo, nơi bệnh nhân điều trị, cho biết không rõ bệnh tiêu chảy mỡ đã khiến can xi tích tụ trong não như thế nào. Một giả thiết là việc mất khả năng hấp thu sắt có thể là nguyên nhân.
Tiêu chảy mỡ là bệnh do phản ứng của hệ miễn dịch với gluten – một protein có trong lúa mì và lúa mạch.
Khi người bệnh ăn gluten, hệ miễn dịch của họ phản ứng gây tổn thương niêm mạc của ruột non, khiến cơ thể không hấp thu được chất dinh dưỡng.
Những triệu chứng khác của bệnh có thể gồm chướng bụng, tiêu chảy, buồn nôn, đầy hơi, táo bón, mệt mỏi, đau đầu, loét miệng, sụt cân, rụng tóc, thiếu máu và loãng xương.
Cẩm Tú
Theo Dailymail










