Bác sĩ hoảng hốt phát hiện “quả bom nổ chậm” trong bụng bệnh nhân
(Dân trí) - Phát hiện dấu hiệu bất thường trong ổ bụng bệnh nhân, các bác sĩ yêu cầu hạn chế vận động chuyển thẳng vào cấp cứu. “Quả bom nổ chậm” là túi phình động mạch chủ bụng khổng lồ như quả bưởi dọa vỡ bất kỳ lúc nào.
Ngày 14/8, BS-CKII Hồ Khánh Đức, Bệnh viện Bình Dân cho hay, tại đây vừa tiếp nhận và can thiệp cho một ca bệnh trong tình thế rất kịch tính. Bệnh nhân là ông N.V.V. (57 tuổi, ngụ tại Đắk Lắk) nhân chuyến vào Sài Gòn thăm con, ông đã chạy xe gắn máy đến Trung tâm Chẩn đoán Y khoa Medic thăm khám tình trạng đau lưng nhiều tháng không giảm.

Ngay khi tiến hành siêu âm, bác sĩ lập tức yêu cầu ông phải hạn chế vận động và thực hiện chụp CT bụng khẩn cấp để đánh giá kích thước và vị trí túi phình động mạch bụng đang dọa vỡ. Từ đây, ông được đưa lên xe cấp cứu chuyển thẳng vào Bệnh viện Bình Dân.
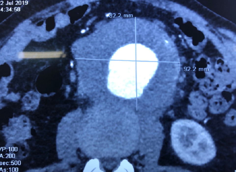
Tại đây, bác sĩ kiểm tra và xác định túi phình động mạch chủ bụng của ông người bệnh có kích thước 9cm x 8,6cm. Túi phình như một trái bưởi nhỏ, nếu vỡ sẽ khiến máu tràn vào ổ bụng gây mất máu cấp, nguy cơ tử vong lên đến trên 90%.
Trước tình trạng “thập tử nhất sinh” ông V. đang phải đối mặt, các bác sĩ quyết định can thiệp càng sớm càng tốt để tránh nguy hiểm đến tính mạng người bệnh. Ông V. ngay lập tức được chuyển lên phòng phẫu thuật, ê kíp mổ cấp cứu ngay lập tức được huy động chuẩn bị mọi trang thiết bị cần thiết.
Quan sát phim chụp MSCT cản quang, các bác sĩ đánh giá đây là ca phẫu thuật nhiều thách thức. Khối phình động mạch chủ bụng không chỉ choán chỗ trong ổ bụng mà còn có phản ứng viêm dính vào đốt sống thắt lưng (đốt sống L1, L2) gây đau lưng. Mặt khác cổ túi phình nằm quá sát động mạch dưới thận, gây bất lợi cho thao thác phẫu thuật.
Sau gần 1 giờ khẩn trương trên bàn mổ, ê kíp bác sĩ đã cẩn trọng bóc tách, tìm cách kẹp thành công động mạch ngay dưới thận, ngăn máu đổ về túi phình. Đây là bước rất quan trọng, vì nếu lựa chọn kẹp động mạch trên thận, người bệnh sẽ đối mặt với nguy cơ suy thận vĩnh viễn do thiếu máu nuôi nếu thời gian thiếu máu hơn 30 phút. Sau hơn 2 giờ phẫu thuật, các bác sĩ đã loại bỏ trọn khối xơ vữa có trọng lượng 0,5 kg trong túi phình, đặt thành công ống ghép dacron (động mạch nhân tạo) vào động mạch chủ bụng thay thế cho đoạn bị phình giãn.

Sau phẫu thuật, sức khỏe của người bệnh đã bình phục
Một tuần sau phẫu thuật, ông V. đã đi lại được, ăn uống tốt, giảm đau lưng, các chỉ số xét nghiệm máu và chức năng mạch máu ổn định. Ông chia sẻ: “Tôi chưa từng nghe đến bệnh phình động mạch chủ, cứ nghĩ mình đau lưng, đau bụng là do tuổi tác, thận có vấn đề hoặc do nhiễm lạnh. Đi khám bệnh cứ nghĩ là hết buổi sáng là được về với con, ai ngờ phải chuyển thẳng vào cấp cứu. Tới giờ xe máy tôi vẫn gửi ở nơi khám bệnh ban đầu, cũng may mà tôi đã được phẫu thuật kịp thời”.
BS.CKII Hồ Khánh Đức cho biết, phình động mạch chủ bụng là tình trạng động mạch bị giãn ra hơn bình thường, thành mạch dần mỏng và yếu, có nguy cơ vỡ đột ngột do áp lực máu. Đây là động mạch lớn nhất trong cơ thể dẫn máu từ tim đến các cơ quan ở nửa phần dưới của cơ thể. Vỡ túi phình có thể làm người bệnh tử vong bất cứ lúc nào.
Phần lớn người bệnh có túi phình động mạch chủ bụng được phát hiện tình cờ qua siêu âm bụng hoặc sờ thấy khối phình trong bụng đập theo nhịp tim. Đối với các bệnh nhân phình động mạch chủ bụng, khi có các triệu chứng như đau bụng, ngất, da niêm nhạt… cần nghĩ đến khả năng túi phình đã vỡ. Khi túi phình vỡ, nếu không được phẫu thuật kịp thời, bệnh nhân sẽ nhanh chóng tử vong.
Để chủ động phát hiện nguy cơ túi phình động mạch chủ bụng và những bất thường của cơ thể, bác sĩ khuyến cáo cộng đồng nên kiểm tra sức khỏe định kỳ, nhất là người lớn tuổi. Phương pháp siêu âm bụng sẽ giúp phát hiện và điều trị kịp thời túi phình động mạch bằng cách phẫu thuật loại bỏ túi phình hoặc đặt stent nội mạch, tránh để túi phình ngày càng lớn dần rất nguy hiểm vì có thể vỡ đột ngột khiến người bệnh đột tử.
Vân Sơn










