Ba phần tư bệnh nhân COVID-19 tổn thương tim nhiều tháng sau khi khỏi bệnh
(Dân trí) - Hơn nửa năm sau đại dịch COVID-19, các chuyên gia cho rằng SARS-CoV-2 không chỉ gây bệnh về đường hô hấp, tấn công ở phổi mà nó có thể để lại tổn thương tim lâu dài sau nhiều tháng khỏi bệnh.

Hai nghiên cứu mới từ Đức đã kiểm tra tác động của COVID-19 đối với tim, trong đó một nghiên cứu tập trung vào các bệnh nhân đã hồi phục và nghiên cứu còn lại trên các bệnh nhân cao tuổi bị nhiễm virus.
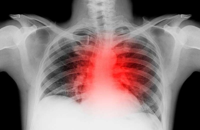
Nghiên cứu đầu tiên, được công bố hôm thứ Hai trên JAMA Cardiology, cho thấy 3/4 bệnh nhân COVID-19 đã hồi phục bị những di chứng thay đổi cấu trúc của tim, thậm chí tận hai tháng sau.
Các nhà nghiên cứu đã kiểm tra hình ảnh chụp cộng hưởng từ (MRI) tim của 100 bệnh nhân COVID-19 đã khỏi bệnh trong độ tuổi từ 45 đến 53 và so sánh với MRI của những người tương tự không nhiễm virus. Hầu hết các bệnh nhân COVID-19 đã hồi phục tại nhà, trong khi 33 bệnh nhân phải nhập viện tại một thời điểm nào đó.
Trong số 100 bệnh nhân COVID-19, 78 người có thay đổi cấu trúc tim. Trong nhóm này, 76 bệnh nhân có chỉ dấu sinh học thường thấy ở những bệnh nhân bị đau tim, và 60 bị viêm cơ tim. Tất cả các bệnh nhân “hầu như đều khỏe mạnh trước khi bị bệnh”, các nhà nghiên cứu cho biết.
"Các bệnh nhân và bản thân chúng tôi đều ngạc nhiên bởi cường độ và tần suất của những phát hiện này, và chúng vẫn rất rõ rệt mặc dù căn bệnh ban đầu đã hết cách đó vài tuần," đồng tác giả nghiên cứu, BS Valentina Puntmann, Bệnh viện Đại học Frankfurt ở Đức, nói.
Nghiên cứu thứ hai, cũng được công bố trên JAMA Cardiology, đã xem xét các báo cáo khám nghiệm tử thi từ 39 bệnh nhân COVID-19 trong khoảng từ 78 đến 89 tuổi tử vong khi bắt đầu đại dịch. Các nhà nghiên cứu thấy rằng virus đã nhiễm vào tim ở 41% bệnh nhân.
Dirk Westermann, bác sĩ tim mạch tại Trung tâm Tim mạch Đại học Hamburg, cho biết: “Chúng tôi thấy dấu hiệu của sự nhân lên của virus ở những người bị nhiễm nặng. Tuy nhiên chúng tôi chưa biết hậu quả lâu dài của những thay đổi trong biểu hiện gen. Từ các bệnh khác tôi biết rằng rõ ràng là không tốt khi mức độ viêm tăng lên”.










