Khoa học cảnh báo vi nhựa lọt vào não người
(Dân trí) - Việc giảm thiểu tiếp xúc với vi nhựa có thể là lựa chọn khôn ngoan nhất cho sức khỏe con người và hệ sinh thái.
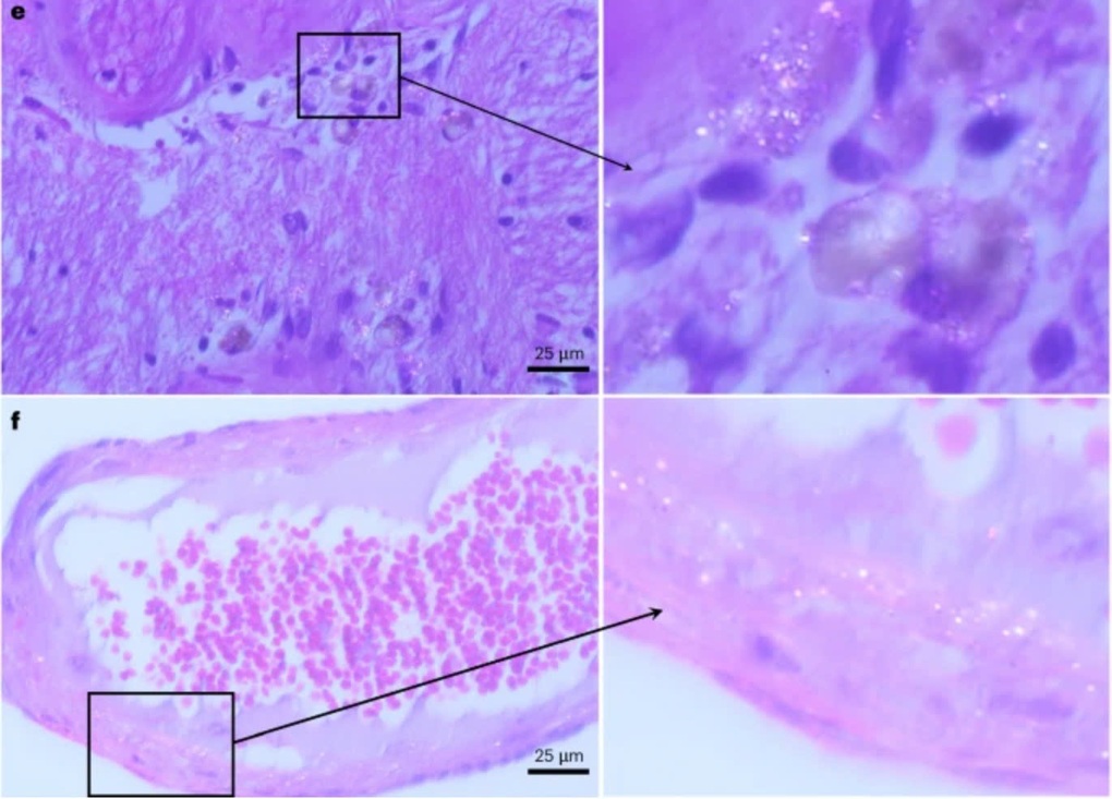
Vi nhựa đã được phát hiện trong não người

Mô não của bệnh nhân sa sút trí tuệ được phát hiện với những đốm nhựa lấp lánh (Ảnh: Science Alert).
Từ phổi, tim, nhau thai đến máu và hệ tiêu hóa, sự hiện diện của vi nhựa trong cơ thể người đã được ghi nhận. Nay, giới khoa học đối diện một phát hiện đáng lo ngại hơn: vi nhựa đã được tìm thấy trong não người.
Nghiên cứu công bố trên Nature Medicine đầu năm 2025 cho thấy các mảnh nhựa siêu nhỏ có thể vượt qua hàng rào máu–não, vốn được coi là tấm lá chắn bảo vệ não bộ khỏi tác nhân có hại trong máu.
Nhóm tác giả đã phân tích mô não của 52 người hiến tặng tại bang New Mexico (Mỹ) vào hai thời điểm 2016 và 2024. Kết quả cho thấy hàm lượng vi nhựa trong não tăng khoảng 50% theo thời gian.
Trung bình, tổng khối lượng này tương đương một chiếc thìa nhựa (7–10g), tương đương trọng lượng một cây bút sáp màu mới.
Theo trưởng nhóm nghiên cứu, nhà độc chất học Matthew Campen, lượng vi nhựa trong mẫu não bệnh nhân sa sút trí tuệ cao hơn đáng kể so với nhóm không mắc bệnh, song chưa đủ bằng chứng khẳng định quan hệ nhân quả.
Trước đó, nghiên cứu đăng trên New England Journal of Medicine năm 2024 cho thấy sự hiện diện của vi nhựa trong mạch máu có liên quan đến nguy cơ đau tim, đột quỵ và tử vong ở bệnh nhân xơ vữa động mạch. Các hạt nhựa sắc cạnh được phát hiện trong tế bào miễn dịch và mảng mỡ bám thành động mạch.
Cảnh báo từ giới khoa học

Các mảnh nhựa trong môi trường vỡ ra thành các hạt cực nhỏ (Ảnh: Getty).
Nghiên cứu trên Science Advances của các nhà khoa học Trung Quốc cho thấy vi nhựa có thể gây hiện tượng đông máu bất thường trong não chuột bằng cách làm rối loạn chức năng tế bào.
Tuy nhiên, khác biệt sinh học lớn giữa chuột và người khiến kết quả này chỉ mang tính tham khảo.
Một số chuyên gia, như Giáo sư Oliver Jones (Đại học RMIT, Úc), khuyến cáo cần thận trọng vì chưa thể kết luận vi nhựa hiện diện phổ biến trong não người. Tổ chức Y tế Thế giới cũng từng khẳng định năm 2022 rằng chưa đủ bằng chứng xác định mức độ nguy hại của vi nhựa với sức khỏe con người.
Tuy nhiên, nhiều chuyên gia y tế công cộng cho rằng không nên chờ đủ dữ liệu mới hành động. Nguyên tắc phòng ngừa thường áp dụng khi đối diện rủi ro tiềm ẩn đang được nhấn mạnh.
Báo cáo của Viện Sức khỏe Toàn cầu Barcelona kêu gọi hành động chính sách ngay để giảm phơi nhiễm vi nhựa.
Hành động thiết thực để giảm phơi nhiễm vi nhựa
Trên thực tế, bối cảnh toàn cầu cho thấy mức độ nghiêm trọng của vấn đề. Kể từ năm 2000, lượng nhựa được sản xuất trên thế giới đã tăng gấp đôi và theo dự báo của Tổ chức Hợp tác và Phát triển Kinh tế (OECD), con số này có thể tăng gấp ba vào năm 2060 nếu không có biện pháp can thiệp hiệu quả.
Trong khi chờ đợi những nghiên cứu toàn diện hơn, việc giảm thiểu tiếp xúc với vi nhựa có thể là lựa chọn khôn ngoan nhất cho sức khỏe con người và hệ sinh thái. Một số biện pháp có thể được áp dụng gồm:
- Hạn chế sử dụng đồ nhựa dùng một lần: Tránh sử dụng ống hút, ly, hộp, thìa nhựa và thay bằng các sản phẩm tái sử dụng như thủy tinh, thép không gỉ, tre...
- Tránh nước đóng chai: Nghiên cứu cho thấy nước đóng chai chứa hàm lượng vi nhựa cao hơn nhiều lần so với nước máy. Do vậy, nên sử dụng bình lọc tại nhà để đảm bảo an toàn.
- Lắp đặt bộ lọc vi nhựa cho nước sinh hoạt: Dùng các hệ thống lọc có màng lọc than hoạt tính, nano hoặc RO để loại bỏ hạt nhựa siêu nhỏ trong nước uống.
- Không hâm nóng thức ăn trong hộp nhựa: Nhựa có thể phân hủy và giải phóng vi nhựa khi gặp nhiệt độ cao. Dùng đồ đựng bằng sứ hoặc thủy tinh khi hâm nóng thực phẩm.
- Tránh mỹ phẩm chứa hạt vi nhựa: Kiểm tra thành phần các sản phẩm chăm sóc cá nhân và tránh các chất như polyethylene (PE), polypropylene (PP), nylon…
- Điều chỉnh việc giặt quần áo: Giảm tần suất giặt, sử dụng túi lọc sợi vi nhựa và chọn chế độ giặt nhẹ để hạn chế sợi nhựa rơi ra từ vải polyester, nylon, acrylic...
- Tiết giảm hải sản có nguy cơ cao chứa vi nhựa: Các loài có khả năng tích tụ vi nhựa như trai, sò, cá nhỏ nên được tiêu thụ có chọn lọc, ưu tiên sản phẩm có nguồn gốc rõ ràng.
- Ưu tiên sản phẩm thân thiện môi trường: Lựa chọn sản phẩm có bao bì tái chế, không chứa vi nhựa, và ủng hộ các doanh nghiệp theo hướng phát triển bền vững.











