Viêm dạ dày có dẫn đến ung thư?Viêm dạ dày không phải ung thư (lành tính). Tuy nhiên, đôi khi, viêm loét dạ dày có thể trở thành ung thư (ung thư dạ dày).
Những món ăn cấm kị với người viêm dạ dàyCó nhiều bệnh nhân viêm dạ dày, trào ngược dạ dày thực quản điều trị mãi không đỡ; tái nhiễm vi khuẩn HP nhiều lần… nhưng vẫn duy trì ăn đồ chua cay, dưa muối, thịt hun khói, đồ chiên xào, rượu bia, cà phê, thuốc lá… là những món cấm kị khi bị viêm dạ dày.
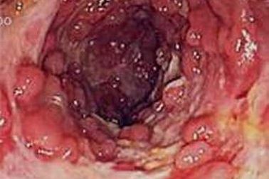
Ợ chua, đầy hơi không chỉ là dấu hiệu của viêm dạ dàyCác chuyên gia khuyến cáo, nhiều trường hợp đã bỏ qua dấu hiệu của ung thư dạ dày vì nhầm lẫn với triệu chứng viêm dạ dày thông thường.
Điều tàu cứu thuyền viên nghi viêm dạ dày cấpSáng 22/10, Trung tâm Phối hợp tìm kiếm cứu nạn hàng hải khu vực 2 - cho biết, tàu SAR412 đang hành trình đưa thuyền viên nghi bị viêm dạ dày cấp về Đà Nẵng để điều trị.
5 “nên” cho người viêm dạ dày mãn tínhDo ăn uống đóng vai trò quan trọng trong bệnh viêm dạ dày mãn tính nên việc hình thành thói quen ăn uống sẽ giúp giảm tới 50% bệnh.
02:17Viêm dạ dày nhẹ nhưng chữa mãi không khỏi: câu chuyện nhỏ - trăn trở lớnPGS.TS Vũ Văn Khiên chia sẻ câu chuyện của một bệnh nhân viêm dạ dày chữa mãi không khỏi do dùng thuốc không phù hợp. Qua đó, bác sĩ đưa ra lời khuyên về cách điều trị bệnh lý dạ dày.
70% dân số nhiễm vi khuẩn HP gây viêm dạ dàyTheo GS.TS Đào Văn Long, Nguyên Giám đốc Bệnh viện Đại học Y Hà Nội, tỉ lệ nhiễm vi khuẩn HP trong cộng đồng lên đến 70%. Đây là loại khuẩn có vai trò chính trong viêm dạ dày cấp và mãn tính, trong loét dạ dày tá tràng và trong ung thư dạ dày.
Kỷ luật bác sĩ chẩn đoán "nhầm" viêm ruột thừa thành viêm dạ dàyNgày 15/3, ông Ngân Văn Thư, Giám đốc Trung tâm Y tế huyện Ia Grai cho biết vừa điều chuyển một bác sĩ vì chẩn đoán nhầm cho bệnh nhân từ viêm ruột thừa thành viêm dạ dày.
Bị viêm dạ dày, cần ăn gì để phòng ngừa nguy cơ khởi phát ung thư?Theo nhiều nghiên cứu trên thế giới, tỷ lệ viêm dạ dày mạn tính rất cao, chiếm khoảng 50% dân số.
Thoát viêm dạ dày nhờ nội soi và điều trị sớmMất 10 phút nội soi và 1 tháng uống thuốc liên tục nhưng thoát khỏi căn bệnh viêm dạ dày mạn tính phải chữa suốt đời – đó là thành quả “ngọt ngào” mà chị Thanh Hoa dành được khi chủ động thăm khám sớm. Lắng nghe những thay đổi bất thường của cơ thể, người phụ nữ 31 tuổi này đã tìm đến bệnh viện ngay khi xuất hiện những rối loạn tiêu hóa dù nhiều người cho rằng chị thích làm quá!
Suýt chết vì vỡ thai ngoài tử cung nhưng "nghĩ viêm dạ dày"Nữ bệnh nhân vào viện với những biểu hiện đau bụng kèm nôn ói nghi ngờ bị viêm dạ dày. Tuy nhiên, khi siêu âm bác sĩ phát hiện bệnh nhân bị vỡ thai ngoài tử cung, nguy hiểm tính mạng.
Bị ung thư lại ngỡ viêm dạ dàyĐại đa số bệnh nhân ung thư dạ dày khi đau quá không chịu được, gầy sút nhanh mới đến viện khám và được chẩn đoán K dạ dày, họ rất bất ngờ. Vì họ chỉ nghĩ mình bị viêm dạ dày thông thường, cũng đau rát vùng thương vị, đầy bụng, khó tiêu…