00:50Hồng xiêm ruột đỏ ở MiamiHồng xiêm ruột đỏ cung cấp nguồn chất xơ tuyệt vời để kích thích đường tiêu hóa và vitamin C để tăng cường hệ thống miễn dịch, bảo vệ cơ thể chống lại tác hại của các gốc tự do và giảm viêm.
00:23Giống hồng xiêm ruột đỏ lạ mắtLoại hồng xiêm ruột đỏ, quả nặng hơn 2 kg tới từ Mexico và vùng Trung Mỹ. Quả chín có vị ngọt, thơm như hạnh nhân, hương vị độc đáo.
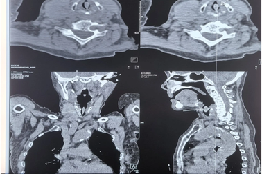
Nữ bệnh nhân gặp nạn nguy kịch sau khi ăn hồng xiêmKhi vừa ngủ dậy buổi sáng, nữ bệnh nhân ở Hà Nội xuất hiện tình trạng khó thở tăng dần, thở rít, được đưa đi cấp cứu. Buổi chiều trước đó, bà được người nhà cho ăn kẹo và hồng xiêm.
00:29Thưởng thức hồng xiêm ruột đỏCùi của quả chín có màu hồng, cam, đỏ, đỏ sẫm hoặc nâu đỏ, mềm và mịn, ít xơ.
Bất ngờ với những lợi ích sức khỏe của quả hồng xiêmQuả hồng xiêm có vị ngọt, thịt quả lại mềm nên mọi lứa tuổi đều có thể ăn được. Ngay cả những em bé mới biết đi cũng có thể nhai hồng xiêm một cách dễ dàng.
Đau nhói ngực vì hạt hồng xiêm “bỏ quên” trong phế quảnTrong lúc ăn trái hồng xiêm, anh Minh L. bị sặc, sau đó thường xuyên ho. Nghĩ tình trạng trên chỉ là cảm cúm bình thường, đến khi đối mặt với những cơn đau tức ngực, anh đi kiểm tra thì được bác sĩ lấy hạt hồng xiêm nằm trong phế quản.
Kinh ngạc với giống hồng xiêm ruột đỏ, quả nặng hơn 2 kgLoại hồng xiêm ruột đỏ, quả nặng hơn 2 kg có gốc gác từ Mexico và vùng Trung Mỹ. Quả chín có vị ngọt, thơm như hạnh nhân, hương vị độc đáo.
Hạt hồng xiêm nằm trong phế quản người đàn ông suốt 26 nămCác bác sĩ của Bệnh viện Đa khoa Trung ương Cần Thơ vừa nội soi lấy hạt sabochê (hồng xiêm) nằm trong phổi người đàn ông ở Cần Thơ suốt 26 năm.
Hồng xiêm bắt mắt nhờ ôxít sắtÐể hồng xiêm bắt mắt, nhiều người bán thường ngâm quả vào một loại dung dịch được cho là bột sắt hòa với nước. Việc làm này có gây hại cho sức khỏe người tiêu dùng.
Hạt hồng xiêm nằm trong phế quản người phụ nữ suốt 27 nămSáng 25/11 Bệnh viện Đa khoa Trung ương Cần Thơ cho biết, các bác sĩ khoa Nội Hô hấp vừa thực hiện thành công nội soi phế quản lấy dị vật hạt hồng xiêm nằm vắt ngang trong phế quản phải suốt 27 năm.
Ho suốt cả năm vì hạt hồng xiêm "ngự" trong phế quảnTrung tâm hô hấp (BV Bạch Mai) vừa gắp dị vật là hạt hồng xiêm trong phế quản bệnh nhân 1 năm nay, gây tình trạng ho kéo dài uống thuốc không khỏi cho người bệnh.
Ho 4 năm mới phát hiện hạt hồng xiêm trong phế quảnNghi ngờ bệnh nhân hóc dị vật do xuất hiện tình trạng ho sau một lần hóc hạt hồng xiêm, các bác sĩ đã quyết định chụp CT và quả nhiên, thủ phạm không nằm ngoài dự đoán. Đó là trường hợp của bệnh nhân Vũ Văn P (Thủy Nguyên – Hải Phòng)