Ứng dụng dao gamma quay trong điều trị bệnh u nãoVăn phòng các chương trình trọng điểm cấp Nhà nước cho hay, nhóm nghiên cứu thuộc Bệnh viện Bạch Mai do GS.TS. Mai Trọng Khoa đứng đầu đã hoàn thiện quy trình xạ phẫu bằng dao gamma quay điều trị u thân não, u màng não, u dây thần kinh số VIII và ung thư di căn não.
Những ưu điểm vượt trội khi dùng dao Gamma quay trị u não“Ứng dụng phương pháp xạ phẫu bằng dao Gamma quay, 1.400 trường hợp mắc các bệnh lý sọ não và u não đã được cứu sống. Đặc biệt, phương pháp này không gây biến chứng trong quá trình điều trị”, PGS.TS Mai Trọng Khoa cho biết.
Xạ phẫu bằng dao Gamma quay giúp điều trị u não hiệu quảĐây là kỹ thuật tiên tiến giúp loại bỏ những tổ chức bệnh lý trong não không cần phẫu thuật mở hộp sọ. Điêu trị u não bằng phương pháp này mang lại hiệu quả cao, vừa giảm chi phí, giảm đau đớn cho người bệnh lại rút ngắn được thời gian nằm viện.
Những thiết bị y tế tiền tỷ nằm "đắp chiếu" tại Bệnh viện Bạch Mai10 năm trước, trang thiết bị y tế hiện đại từng là niềm tự hào của BV Bạch Mai. Đến nay, nhiều máy móc tiền tỷ lại trong tình trạng "đắp chiếu" không được sử dụng.
Giáo sư Thái Lan khuyên bệnh nhân bị u não sang Việt Nam chữaBệnh nhân nam 74 tuổi (quốc tịch Thái Lan) được phát hiện khối u não xâm lấn, nhiều người thân khuyên ông sang Singapore điều trị. Khi tiếp xúc với nhiều GS hàng đầu của Thái Lan về lĩnh vực này, ông đã nghe lời khuyên của họ sang Việt Nam để chữa căn bệnh nguy hiểm của mình.
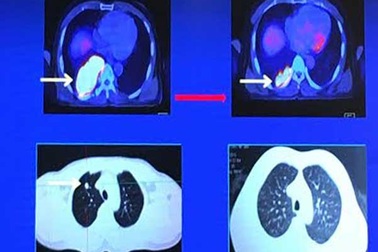
Bác sĩ sống tốt sau 5 năm ung thư phổi di căn khắp ngườiPhát hiện ung thư phổi ở giai đoạn muộn, tái phát nhiều lần, di căn cả vào xương, não nhưng gần 5 năm qua, PGS.TS Đỗ Quốc Hùng vẫn làm việc bình thường.
150.000 người mới mắc ung thư mới mỗi nămThông tin này được GS.TS Nguyễn Bá Đức, Hội ung thư Việt Nam đưa ra tại "Hội nghị quốc tế về ứng dụng y học hạt nhân trong ung thư, tim mạch và các bệnh khác" diễn ra trong hai ngày 7, 8/5 tại Hà Nội.
70% ca ung thư phổi phát hiện ở giai đoạn muộnDo những dấu hiệu đầu tiên của ung thư phổi không rõ ràng nên dễ bị bệnh nhân bỏ qua khiến hơn 70% trường hợp ung thư phổi chẩn đoán ở giai đoạn muộn (giai đoạn III, IV). Do đó, dù có nhiều bước tiến trong chẩn đoán và điều trị, tỉ lệ sống thêm 5 năm của bệnh nhân khá thấp.
Những dấu hiệu dễ nhầm lẫn của ung thư vòm họngDấu hiệu bệnh ung thư vòm ở giai đoạn sớm khá kín đáo như nhức đầu, ù tai, ngạt mũi nên bệnh dễ bị nhầm với các triệu chứng của bệnh viêm nhiễm vùng tai mũi họng.
Mã số 3234: Đớn đau mẹ đơn thân nguy kịch vì bệnh ung thư phổiChị cứ lịm dần đi, lịm dần đi, tưởng như thần chết đã gọi tên. Nhưng dường như, những tiếng gọi mẹ thảm thiết của đứa con trai 10 tuổi đã kéo chị trở lại. Ôm chặt con trong lòng, chưa bao giờ khao khát sống của người mẹ đơn thân mắc ung thư phổi giai đoạn cuối, lại trỗi dậy mãnh liệt như lúc này.
Rớt nước mắt với lời nhắn nhủ của cô giáo ung thư phổi giai đoạn cuối, bệnh viện trả về“Cho dù ngắn dài, dù có phải dừng bước bất cứ lúc nào em vẫn luôn cảm thấy đủ trọn vẹn. Tóc anh bạc nhiều rồi anh biết không, cố chịu em thêm thật nhiều thời gian nữa, để mình cùng nhau đi thêm nhiều quãng đường nữa anh nhé”, là lời nhắn nhủ của chị Hường với chồng sau gần 5 năm chiến đấu với bệnh ung thư phổi giai đoạn 4, di căn não.