Bệnh nhân lao nghèo chê bảo hiểm y tếBảo hiểm y tế (BHYT) là một chỗ dựa quan trọng của bệnh nhân nghèo, nó càng có ý nghĩa hơn đối với những người mắc bệnh lao. Song, theo một khảo sát mới nhất, có tới 42% bệnh nhân lao không tham gia BHYT, trong đó phần đông chưa hài lòng với chính sách an sinh này.
Gần 40% bệnh nhân lao trong cộng đồng chưa được phát hiệnTình hình dịch tễ bệnh lao tại Việt Nam còn rất nặng nề, tốc độ giảm quá chậm. WHO ước tính mỗi năm Việt Nam có khoảng 13.000 người tử vong do lao, cao hơn số người tử vong vì tai nạn giao thông.
Bệnh nhân Lao - HIV có khu cấp cứu điều trị mớiSau hơn bốn năm khởi công xây dựng, ngày 14/1 khu cấp cứu và điều trị bệnh nhân Lao - HIV đã chính thức đi vào hoạt động. Với kinh phí đầu tư gần 38 tỷ đồng, công trình này sẽ góp phần quan trọng vào việc chăm sóc sức khỏe cho người bệnh.
42% bệnh nhân lao không có Bảo hiểm Y tếCó tới 42% bệnh nhân đang điều trị lao không có Bảo hiểm Y tế vì điều kiện khó khăn hoặc cho rằng quy trình khám bệnh bảo hiểm quá nhiêu khê. Bảo hiểm Y tế sẽ tiến tới thanh toán thuốc điều trị lao, người không có bảo hiểm sẽ càng thêm khó khăn.
01:02Clip người nhà bệnh nhân lao vào hành hung bảo vệ bệnh viện (ảnh Bệnh viện Đa khoa tỉnh cung cấp)Clip người nhà bệnh nhân lao vào hành hung bảo vệ bệnh viện (ảnh Bệnh viện Đa khoa tỉnh cung cấp)
Việt Nam trong top những nước có nhiều bệnh nhân lao mớiTại lễ mít-tinh hưởng ứng Ngày chống lao thế giới (24/3) tại Hà Nội, đại diện Bộ Y tế cho biết, hiện Việt Nam hiện đang ở vị trí thứ 12 trong số 22 nước có số bệnh nhân lao mới mắc hàng năm cao nhất thế giới, với khoảng 44% dân số nhiễm lao.
Cấp cứu thành công bệnh nhân lao mắc Covid-19 ho ra máu ồ ạtKhi đang tự cách ly tại nhà do mắc Covid-19, bệnh nhân đột ngột ho ra máu ồ ạt, được đưa đi cấp cứu tại BV Phổi Trung ương, sau đó chuyển sang Bệnh viện Việt Đức để can thiệp cầm máu.
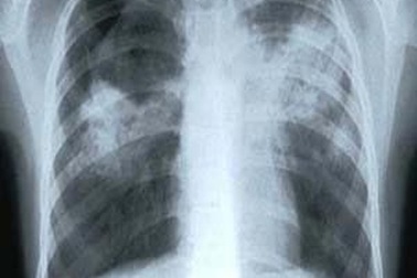
Đi thăm bệnh nhân lao, bé 2 tuổi mắc bệnhCháu Nguyễn Thu Phương (2 tuổi, Hải Dương) phải vào viện làm các xét nghiệm lao. Nguyên nhân được biết, cháu từng cùng mẹ đi thăm một người bạn bị mắc bệnh lao.
Người nhà bệnh nhân lao vào bóp cổ, đánh bảo vệ bệnh việnKhi các bác sĩ và điều dưỡng đang tiến hành cấp cứu cho người vợ bị tụt can-xi thì người chồng liên tục chửi bới, quát mắng nhân viên y tế. Khi bảo vệ tới mời ra ngoài để bác sĩ làm việc thì người chồng cùng bạn mình đã xông tới đánh tới tấp bảo vệ.
Điều trị y tế tư, 40% bệnh nhân lao “đứt gánh”Không mặn mà với chương trình chống lao Quốc gia, nhiều bệnh nhân chuyển sang điều trị tại các cơ sở y tế tư nhân. Song chi phí điều trị cao khiến gần 40% người bệnh bị “đứt gánh giữa đường”, nguy cơ lao kháng thuốc gia tăng.
BV Chợ Rẫy nói gì khi hết thuốc chống thải ghép khiến bệnh nhân "lao đao"?Đại diện Bệnh viện Chợ Rẫy thừa nhận, nơi đây hiện không có một số thuốc chống thải ghép, khiến bệnh nhân phải mua bên ngoài với giá rất cao dù nằm trong danh mục được bảo hiểm chi trả.
Giao lưu trực tuyến với bệnh nhân laoHưởng ứng ngày thế giới chống lao 24/3 với chủ đề “Bệnh lao có ở một nơi thì sẽ có ở khắp mọi nơi” , Bệnh viện Lao & Bệnh phổi TƯ sẽ tổ chức buổi giao lưu trực tuyến giữa các chuyên gia đầu ngành với bệnh nhân trên cả nước về căn bệnh này.