Mẹ sính sữa ngoại "sang chảnh" con uống vào đi cầu ra máuTheo trào lưu khoe con, khoe của nhiều người mẹ đang vô tình đẩy trẻ vào nguy hiểm khi sử dụng thực phẩm không phù hợp. Một cháu bé vừa nhập viện vì đi cầu ra máu sau thời gian dài uống sữa ngoại.
Người đàn ông đi cầu ra máu ồ ạt vì bệnh lý hiếm gặpDiễn tiến cấp tính của người bệnh khiến bác sĩ tuyến cơ sở không kịp trở tay, phải chuyển lên tuyến trên. Tình trạng đi cầu ra máu ồ ạt suýt cướp đi sinh mạng người bệnh xuất phát từ bệnh lý hiếm gặp.
Nhật ký Nhân Ái: 19h30 ngày 5/8 : Nhân Ái hạ sốt, hết đi cầu ra máuNhân Ái đã hạ sốt và hết đi cầu ra máu. Tuy nhiên, cần phải theo dõi thêm khoảng hơn 1 tuần mới có thể chuyển sang nuôi bằng đường miệng.
Ngày 2/8: Nhân Ái tiếp tục thở máy, bệnh viêm ruột giảmCho đến sáng thứ 2 (2/8), tình trạng viêm ruột của Nhân Ái giảm, bé bớt đi cầu ra máu...
Chữa trĩ 5 năm mới phát hiện ung thư trực tràng giai đoạn muộnSuốt 5 năm, bệnh nhân đi cầu ra máu mà chỉ uống thuốc điều trị bệnh trĩ. Đến khi nội soi phát hiện ung thư đại tràng thì bệnh đã ở giai đoạn muộn, di căn lên phổi.
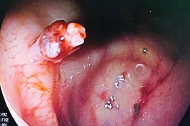
Một bệnh nhân bị chảy máu ruột nặng hiếm gặpBà D.C. 60 tuổi (ở Q.10, TPHCM) nhập viện Nguyễn Tri Phương trong tình trạng huyết áp rất thấp vì đi cầu ra máu bầm ồ ạt. Bà đang bị suy thận mãn giai đoạn 4, kèm theo phù phổi cấp và đã từng phẫu thuật cột sống.
Một trẻ bị tăm tre đâm thủng ruộtSau bữa ăn, bé T. ngậm cây tăm tre xỉa răng “như người lớn” trong lúc cười đùa mất tập trung cậu bé đã nuốt tuột cây tăm vào bụng. Hai ngày sau, bụng chướng lớn đi cầu ra máu, tại bệnh viện bác sĩ xác định bệnh nhi bị tăm đâm thủng ruột.
Người thầy 18 năm “gieo hy vọng” qua 31 lần hiến máuSuốt 18 năm, thầy Chế đã “thắp lên niềm tin” cho người bệnh qua 31 lần hiến máu. Điều khiến nhiều người nể phục hơn cả là thầy ước nguyện được hiến mô, tạng để tiếp tục cứu sống người khác.
Cô giáo vùng cao hồi sinh sau ca ghép tủy, sắp trở lại bục giảngSau ca ghép tủy thành công, cô giáo Lường Thị Dỉu (Điện Biên) đang hồi phục tốt. Nhờ sự chung tay của bạn đọc Dân trí và các y, bác sĩ, chị sắp được trở về nhà và tiếp tục ước mơ gieo chữ nơi non cao.
Hệ thống xét nghiệm máu tự động 20.000 mẫu/ngày hiện đại bậc nhất Việt NamHệ thống xét nghiệm máu tự động giúp rút ngắn thời gian trả kết quả, kiểm soát chất lượng xét nghiệm và tối ưu hoá quy trình xét nghiệm.
Vụ án gã trai hãm hiếp, sát hại hàng xóm (kỳ cuối): Gã sát nhân ở cạnh nhàĐột nhập vào nhà hàng xóm lục lọi tài sản, Trần Văn Ngà bị bà N.T.D. phát hiện. Hắn đã khống chế nạn nhân rồi thực hiện hành vi đồi bại, sau đó sát hại nạn nhân.
Xác minh việc nữ giáo viên "tác động" khiến học sinh mầm non chảy máu camMột phụ huynh đã làm đơn tố cáo việc con mình bị nữ giáo viên mầm non ở Gia Lai “tác động vật lý” dẫn đến chảy máu cam.