Mã số 3294:
Con bị tai nạn, mẹ khóc lặng vì không có tiền đóng viện phí cứu con
(Dân trí) - Nhận thông báo khoản viện phí hàng chục triệu đồng của con, bà Phương hoảng sợ bỏ trốn, chỉ dám ghé thăm vào ban đêm để xem con còn sống hay đã chết. Người phụ nữ nghèo bán vé số đang rơi vào cảnh cùng đường sau tai nạn của con trai khi đi làm mướn.
Người đàn bà khốn khổ
“Tôi mồ côi cha mẹ từ nhỏ, được nuôi ở cô nhi viện (số 153 Xô Viết Nghệ Tĩnh) cho đến lúc trưởng thành. Hai đời chồng và 3 đứa con là tất cả những gì tôi có… Bán vé số nuôi thân còn khó, giờ con nó chẳng may gặp tai nạn, khổ quá nhưng chẳng biết kêu ai”. Bà Trần Thị Phương bắt đầu câu chuyện về cuộc đời mình với những chắp vá rời rạc đầy những buồn đau.

Bà Phương thất thần nhìn con trai trên giường bệnh
Mới 60 tuổi nhưng hai hàm răng đã rụng quá nửa khiến giọng nói của bà trở nên méo mó, mái đầu hoa râm trên lưng đã còng xuống càng khiến gương mặt của bà thêm khắc khổ. Chẳng giấu giếm, bà cho biết: “Hơn 40 năm trước, khi rời cô nhi viện, tôi đi làm mướn rồi quen biết, chung sống (không hôn thú) với người đàn ông cùng cảnh ngộ là Nguyễn Văn Hồng hơn tôi 5 tuổi. Nhưng sau khi 2 đứa con gái lần lượt chào đời thì ông Hồng bỏ mẹ con tôi theo người phụ nữ khác”.

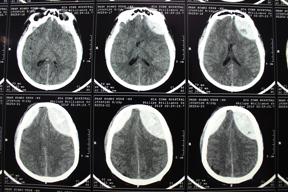
Máu tụ bán cầu não 2 bên đỉnh trán (vùng trắng) trên phim khiến Minh nguy kịch
“Tay bế, tay bồng 2 con nhỏ, đi xin việc nhưng đến đâu họ cũng chẳng nhận, từ đó mẹ con tôi bắt đầu cuộc sống lang thang đầu đường xó chợ. Tôi đi bán vé số, 2 đứa con đi xin ăn, có tiền thì thuê phòng trọ, không tiền thì tá túc ở vỉa hè, lề đường, gầm cầu”. Rồi người đàn ông thứ 2 đã đến với cuộc đời của bà: “Ông ấy là Phạm Văn Đới, hơn tôi 6 tuổi người miền Trung vào Sài Gòn đi bán dạo đậu phộng, nem chua, bánh đa… ở các quán nhậu. Ngày nào bán ế, ông Đới cũng gọi 2 đứa con tôi tới cho chúng ăn, lâu dần chúng thương nên nhận làm ba…”

Các bác sĩ đã phẫu thuật mở hộp sọ lấy máu tụ cho Hoàng Minh
Sau khi cậu con trai Phạm Hoàng Minh chào đời, 25 năm trước, bà Phương cùng ông Đới quyết định đăng ký đưa gia đình đi xây dựng vùng kinh tế mới ở Đắk Lắk. “Chúng tôi từ những thân phận vô gia cư, đi lên vùng đất mới được nhà nước cấp đất, cất nhà, khai hoang làm rẫy… mừng lắm”. Nhưng giữa vùng đất mới với 2 bàn tay trắng, vợ chồng bà Phương vẫn phải vay mượn, ăn đong từng ngày. Khi rẫy cà phê hơn 5 sào bắt đầu cho thu hoạch thì ông Đới lâm trọng bệnh, qua đời. Một người phụ nữ và 3 đứa con thơ bất lực trước công việc nặng nhọc, sau khi bán rẫy trả nợ, mẹ con họ bồng bế nhau trở lại Sài Gòn với những vết thương lòng rỉ máu.
Cùng đường sau tai nạn của con
Các con của bà Phương chỉ được đi học lớp tình thương cho biết mặt chữ rồi phải sớm ra đời tự kiếm sống. Đến nay, 2 người con gái đã có gia đình riêng, nhưng cảnh đời cơ cực của bà Phương đang “truyền kiếp” sang họ. Người con trai Phạm Hoàng Minh chưa lập gia đình, đang sống cùng mẹ. Để có đủ chi phí trang trải cho cuộc sống và tiền thuê trọ, mỗi ngày bà Phương đi bán vé số, còn Minh kiếm được việc gì làm việc đó.

Vốn không được lanh lợi, tai nạn có thể để lại di chứng thần kinh khiến cuộc sống sẽ khó khăn hơn với Minh
Bà Phương chia sẻ: “Nó lớn người nhưng tính tình và nhận thức còn như đứa trẻ, chỉ được cái rất khỏe, từ phụ hồ đến khuân vác, chở nước đá, chở gạo đi giao… việc gì cũng làm được. Nhưng sự siêng năng của chàng trai khờ lại bị những người “xấu bụng” lợi dụng. “Đi làm phụ hồ cả tháng nhưng chỉ được chấm công hơn 1 tuần, nó cũng đành ậm ừ cho qua vì chẳng biết tính toán gì cả. Tiền làm được bao nhiêu về đưa cho mẹ bấy nhiêu nhưng tháng nào cũng chỉ một vài triệu là nhiều”.
Mới đây, Minh nhận việc đi giao nước đá ở các quán nhậu, giải khát… vào ban đêm cho một đại lý tại quận Bình Thạnh để kiếm thêm thu nhập. Ngày 28/3, thời tiết Sài Gòn vào cao điểm nắng nóng nên nhu cầu tiêu thụ đá tại các quán rất lớn. Buổi chiều, Minh đi phụ hồ về, chưa kịp ăn uống thì phải chạy xe chở đá đi giao, đến khuya mới hết việc. Trên đường trở về phòng trọ em kiệt sức, tự té xe đập đầu vào cột đèn bên đường, được người dân đưa đến bệnh viện cấp cứu trong tình trạng nguy kịch.

Bà Phương trở lại bệnh viện với tinh thần hoang mang không biết làm thế nào để đóng viện phí cho con
Tin con gặp nạn như sét đánh ngang tai, bà Phương vội đến bệnh viện, trong túi chỉ có hơn 1 triệu đồng, đó là cả tiền vốn và tiền lời bán vé số của bà. Sáng hôm sau, bệnh viện đề nghị gia đình đóng tiền phẫu thuật vì tình trạng diễn tiến xấu, đe dọa tính mạng. Nghe đến khoản tiền hơn 10 triệu đồng, người mẹ rúm ró, lặng lẽ rời khỏi khoa bệnh. “Mẹ con tôi tiền ăn, tiền trọ mỗi ngày còn chật vật chưa lo được thì lấy đâu ra khoản tiền lớn như thế”. Những ngày sau đó, mỗi lần bệnh viện gọi tên thân nhân, bà Phương sợ hãi trốn vào góc vắng trong bệnh viện. Đêm đến, bà lặng lẽ đến khoa bệnh để dò xem con mình còn sống hay đã chết.
BS Nguyễn Trung Cường, khoa Hồi sức Ngoại, Bệnh viện Nhân Dân Gia Định cho hay: Bệnh nhân bị chấn thương sọ não, có máu tụ ngoài màng cứng vùng trán đỉnh 2 bên, sau nhập viện khối máu gia tăng, tri giác giảm nên được chỉ định phẫu thuật. Tuy nhiên, khi chỉ định mổ thì gia đình không lo nổi viện phí. Xác định bệnh nhân đang rơi vào nguy hiểm, bệnh viện quyết định thực hiện phẫu thuật mở hộp sọ lấy máu tụ. Sau 6 ngày hồi sức, bệnh nhân đã cai được máy thở, sinh hiệu dần ổn định, chuyển lên khoa Ngoại Thần kinh. Đây là ca chấn thương nặng, chúng tôi cần phải tiếp tục theo dõi, điều trị để hạn chế những di chứng cho người bệnh.

Hoàng Minh đang rất cần sự chung tay của cộng đồng để tiếp tục điều trị
Tai nạn ập đến khiến con trai rơi vào nguy nan, niềm hi vọng con sẽ làm chỗ dựa khi về già của bà Phương trở nên mong manh. Người mẹ nghèo khốn khổ hoang mang nghĩ đến khoản tiền viện phí đã lên đến hàng chục triệu đồng và những tháng ngày cơ cực đang chờ đón bà cùng con trai phía trước.
Mọi đóng góp hảo tâm xin gửi về:
1.Mã số 3294: Bà Trần Thị Phương (mẹ bệnh nhân Phạm Hoàng Minh), khoa Ngoại Thần kinh, Bệnh viện Nhân Dân Gia Định
Hoặc số 43/10A, Điện Biên Phủ, phường 15, quận Bình Thạnh, TPHCM
Điện thoại: 0937107562
2. Báo điện tử Dân trí.
Ngõ 2 nhà số 48 Giảng Võ, Đống Đa, Hà Nội
Tel: 024. 3. 7366.491/ Fax: 024. 3. 7366.490
Email: nhanai@dantri.com.vn
Bạn đọc ủng hộ qua các tài khoản sau:
* Tài khoản VNĐ tại VietComBank:
Tên TK:Báo Điện tử Dân trí
Số TK: 0451000476889
Tại: Ngân Hàng TMCP Ngoại thương Việt Nam - Chi nhánh Thành Công - Hà Nội.
* Tài khoản USD tại VietComBank:
Account Name: Bao Dien tu Dan tri
Account Number: 0451370477371
Swift Code: BFTV VNVX 045
Bank Name: THE BANK FOR FOREIGN TRADE OF VIETNAM (VietComBank)
* Tài khoản VNĐ tại VietinBank:
Tên TK: Báo Điện tử Dân trí
Số TK: 129 0000 61096
Tại: Ngân hàng Thương mại Cổ phần Công Thương Việt Nam - Chi nhánh Hoàn Kiếm
* Tài khoản VND tại Ngân hàng TMCP Đầu tư và phát triển Việt Nam (BIDV)
Tên Tài khoản : Báo Điện tử Dân trí
Số Tài khoản : 2611 000 3366 882
Tại : Ngân hàng TMCP Đầu tư và phát triển Việt Nam– Chi nhánh Tràng An
Địa chỉ : Số 11 phố Cửa Bắc, Quận Ba Đình, thành phố Hà Nội; ĐT: 0436869656.
* Tài khoản USD tại Ngân hàng TMCP Đầu tư và phát triển Việt Nam (BIDV)
Account Name : Bao Dien tu Dan tri
Account Number : 2611 037 3366 886
Swift Code : BIDVVNVX261
Bank Name : Bank for Investment and Development of Vietnam JSC,Trang An Branch
Address : No 11 Cua Bac Str.,Ba Dinh Dist.,Hanoi, Vietnam; Tel: (84-4)3686 9656.
* Tài khoản VNĐ tại Ngân hàng Quân đội (MB)
Tên TK: Báo Điện tử Dân trí
Số TK: 0721101010006
Tại Ngân hàng TMCP Quân đội – Chi nhánh Thái Thịnh - Hà Nội
* Tài khoản USD tại Ngân hàng Quân đội (MB)
Tên TK: Bao Dien tu Dan tri
Số TK: 0721101011002
Swift Code: MSCBVNVX
Bank Name: MILITARY COMMERCIAL JOINT STOCK BANK - MCSB ( No.3, Lieu Giai str., Ba Dinh Dist., Hanoi, Vietnam)
* Tài khoản VND tại Ngân hàng Agribank:
- Tên tài khoản: Báo Điện tử Dân trí
- Số tài khoản VND: 1400206034036
- Tại Ngân hàng: Agribank CN Láng Hạ
3.Văn phòng đại diện của báo:
VP Hà Tĩnh: 46 Nguyễn Công Trứ, Phường Tân Giang, TP Hà Tĩnh. Tel: 0239.3.857.122
VP Đà Nẵng: 25 Nguyễn Tri Phương, Quận Thanh Khê, TP Đà Nẵng. Tel: 0236. 3653 725
VP TPHCM: số 294 - 296 đường Trường Sa, phường 2, quận Phú Nhuận, TPHCM. Tel: 028. 3517 6331 (Trong giờ Hành chánh) hoặc số hotline 0974567567
VP Cần Thơ: 53/13 Lý Tự Trọng, Q Ninh Kiều, TP Cần Thơ. Tel: 0292.3.733.269
Vân Sơn











