Sử dụng X-quang trong Nha khoa
Như chúng ta đã biết, tia X được sử dụng rất rộng rãi trong y khoa, để thăm dò, chẩn đoán những cấu trúc cản tia X (như xương, răng, v.v…) bên trong cơ thể con người mà bằng mắt thường không thể thấy được. Trong điều trị răng hàm mặt không thể thiếu máy chụp X-quang.
Sự cần thiết của X-quang trong điều trị nha khoa:
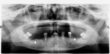
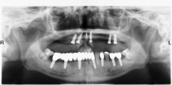
Hình trước và sau khi cấy implant
Sử dụng X-quang cần nhiều cẩn trọng:
Tuy nhiên, sử dụng tia X phải cẩn trọng vì có thể gây nguy hiểm cho con người. Báo Thanh Niên, ngày 13-4-2008 cho biết: “Theo tổng kết về tình hình thực hiện Pháp lệnh An toàn và kiểm soát bức xạ trên toàn quốc vừa được Cục Kiểm soát và an toàn bức xạ, hạt nhân tổng hợp thì không chỉ các tỉnh mà ngay cả thành phố lớn như TP.HCM vẫn còn đang sử dụng nhiều máy y tế có tuổi thọ trên 30 năm và máy X-quang một pha nửa sóng, kỹ thuật rất lạc hậu.”
Máy X-quang cũ thường có độ bức xạ cao. Máy kiểu cũ chỉ có thể chụp hình từng răng một, rất khó khảo sát được toàn bộ hàm răng và xương hàm, nên không thể thực hiện các công việc và thủ thuật phức tạp liên quan đến những vùng giải phẫu quan trọng như cấy ghép implant…Công nghệ rửa phim cũ cần phải tốn nhiều thời gian chờ đợi, mà chất lượng hình ảnh không rõ, lưu trữ phim khó khăn.
Máy X quang toàn cảnh kỹ thuật số tại Nha khoa Lan Anh
Những ưu điểm của máy X quang kỹ thuật số thế hệ mới:
1. Liều lượng bức xạ thấp hơn từ 20 - 30 lần so với máy chụp X.quang thông thường và nhỏ hơn mức cho phép 10 lần. Máy có bộ phận tự động điều chỉnh thời lượng phóng tia X và cường độ tia X khi chụp cho người lớn hoặc trẻ em. Do vậy, rất thích hợp và đảm bảo an toàn cho người được chụp phim.
2. Chất lượng hình ảnh rất cao.
3. Có thể truyền trực tiếp hình ảnh đến các ghế nha khoa để các bác sĩ sử dụng ngay trong lúc điều trị. Đồng thời, kết hợp với phần mềm quản lý, các hình ảnh đó sẽ được lưu trữ lâu dài, có thể truy cập lại, dể dàng đối chiếu sau này. Nhờ đó Bác Sỹ có thể theo dõi được diễn tiến của bệnh lý. Ngoài ra, nếu cần thiết, bác sĩ cũng có thể sao chép ra CD, hoặc gửi email hình ảnh X-quang cho bạn.
4. Cho phép chụp toàn bộ hàm răng và xương hàm, rất cần thiết trong chẩn đoán và điều trị nha khoa, đặc biệt trong cấy ghép implant, chỉnh hình răng, nhổ răng khôn, và những trường hợp phức tạp, cần có kế hoạch điều trị toàn diện.
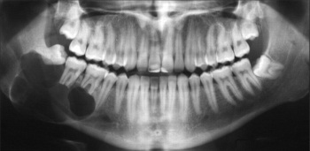
Hình bệnh lý u men. Xương hàm và chân răng bị tiêu biến ở góc trái hình.
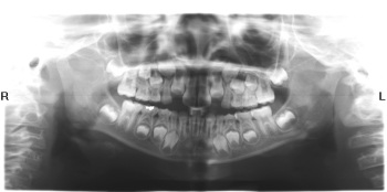
Hình X-quang răng hỗn hợp ở trẻ đang độ tuổi mọc răng vĩnh viễn. Hình cho thấy các mầm răng vĩnh viễn nằm trong xương hàm.
Bạn có thể liên hệ với Nha khoa Lan Anh để được tư vấn thêm:
Nha khoa Lan Anh – Chuyên răng sứ & implant
292 Huỳnh Văn Bánh, P.11, Quận Phú Nhuận, TPHCM. ĐT: 3844 2838.
B3-13 Hà Huy Tập, khu Nam Long 1, Phú Mỹ Hưng, Quận 7, TPHCM. ĐT: 5411 1616
Hot line: 0917 463 468. Email: info@nhakhoalananh.com. Website: www.nhakhoalananh.com










