Rùng mình gắp giun lạ chưa từng có, dài tới 60cm ở tay chân bệnh nhân
(Dân trí) - 5 con giun, trong đó con dài nhất lên tới 60cm được các bác sĩ Bệnh viện Bệnh Nhiệt đới Trung ương gắp khỏi tay, chân nam thanh niên 23 tuổi ở Yên Bái.
Bác sĩ Trần Thượng Việt, Trưởng khoa Ngoại sản, Bệnh viện Bệnh Nhiệt đới Trung ương cho biết, nam thanh niên 23 tuổi đến viện khám hôm 12/5 tại cơ sở Giải Phóng vì xuất hiện ở chân các khối áp xe, sau lan dần lên cánh tay.

5 con giun dài như sợi chỉ, con dài nhất lên tới 60cm được gắp khỏi cánh tay, chân bệnh nhân.
Nam thanh niên cho biết, từ trước Tết anh đã bắt đầu xuất hiện dấu hiệu đau mỏi toàn thân. Bên cạnh đó, ở tay và chân anh nổi những khối áp xe nhỏ, thi thoảng thấy vết giun ở dưới da, đã đi khám nhiều nơi nhưng không tìm ra căn nguyên.
Khi đến Bệnh viện Bệnh nhiệt đới Trung ương khám, ban đầu bác sĩ chẩn đoán bệnh nhân mắc giun hoặc sán thường gặp và điều trị tại khoa Virus – Ký sinh trùng. Tuy nhiên, khi mở ổ áp xe, soi dưới thiết bị thì thấy có ấu trùng, bệnh nhân được chuyển sang cơ sở Đông Anh ngày ngày 22/5 để phẫu thuật.

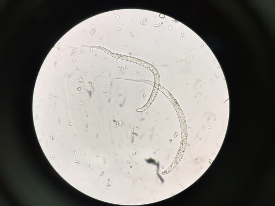
Hình ảnh giun khi soi dưới thiết bị.
Vì có quá nhiều giun nên bệnh nhân được cho uống thuốc để giun trưởng thành tự bộc lộ. Lần đầu tiên phẫu thuật, bác sĩ gắp ra một con giun dài khoảng 60cm.
Ngày 5/6, các bác sĩ tiếp tục gắp được 2 con giun dài khoảng 30 cm ở bắp tay bệnh nhân. Đến nay, đã gắp được 5 con giun trưởng thành.
Theo BS Việt, mẫu giun được gửi tới Bộ Y tế và Tổ chức Y tế thế giới (WHO) để định danh vì chưa từng xuất hiện tại Việt Nam. Kết quả, đây là loại giun Dracunlus medinensis (giun Guinea). Đến thời điểm hiện tại, loại giun này chưa có thuốc điều trị đặc hiệu.
Sau khi gắp 5 con giun trưởng thành, bệnh nhân sẽ được tiếp tục điều trị đến khi thải hết giun khỏi cơ thể.
Sau khi sức khỏe ổn định, thanh niên này sẽ chuyển điều trị tại khoa Virus – Ký sinh trùng.
Bác sĩ khuyến cáo, để phòng ngừa nguy cơ nhiễm giun sán, người dân nên thực hiện ăn chín, uống sôi. Trong lao động, cần có phương tiện bảo hộ khi phải tiếp xúc với đất, nước và các nguồn lây bệnh.
Hồng Hải










