Những dấu hiệu sớm cảnh báo ung thư phổi
(Dân trí) - Ho là triệu chứng thường gặp ở bệnh nhân ung thư phổi, nhưng cũng dễ bị bỏ qua.ầu hết người bệnh không được điều trị khỏi bằng các biện pháp điều trị thông thường.
Theo bác sĩ khoa Nội 1, Bệnh viện K Trung ương mặc dù hầu hết những trường hợp được chẩn đoán mắc bệnh ung thư phổi thường không có triệu chứng rõ ràng ở giai đoạn đầu, nhưng một số người vẫn có thể thấy những dấu hiệu sớm của bệnh. Tuy nhiên, bạn hãy nhớ rằng những triệu chứng này có thể liên quan đến nhiều bệnh khác chứ không chỉ là dấu hiệu của ung thư phổi.
Nhận thức được bất kỳ thay đổi nào của cơ thể bản thân là điều rất quan trọng. Vì vậy bạn vẫn nên đến gặp bác sĩ nếu thấy dấu hiệu này để loại trừ khả năng bị bệnh.

Ho nhiều
Ho là triệu chứng thường gặp, nhưng cũng dễ bị bỏ qua. Qua nhiều nghiên cứu, ho biểu hiện ở 50-70% các trường hợp, hầu hết người bệnh không được điều trị khỏi bằng các biện pháp điều trị thông thường.
Đôi khi ho đi kèm với khàn tiếng, khạc đờm nhuốm ít máu, tùy vào mức độ xâm lấn của khối u trong cơ thể. Đây là một triệu chứng rất không đặc hiệu, có thể xảy ra khi chúng ta cảm lạnh hay mắc cúm thông thường. Nhưng nếu bạn bị ho kéo dài trong vòng vài tuần thì đó là dấu hiệu cho thấy bạn nên đi khám bác sĩ.
Đau ngực
Là triệu chứng có thể xảy ra ở giai đoạn rất sớm hoặc cũng có thể khi khối u đã di căn đến thành ngực. Đau ngực do ung thư phổi có thể tăng lên khi bạn ho, cười hay hít thở sâu. Vì đau ngực cũng có thể là dấu hiệu của một số bệnh lý nghiêm trọng khác, nên hãy nói với bác sỹ của bạn để được kiểm tra.
Khó thở, khàn tiếng
Nếu bạn nhận thấy giọng nói hay nhịp thở của mình thay đổi, hãy đề phòng. Nhận ra những triệu chứng nhỏ này có thể giúp bạn phát hiện ung thư phổi ở giai đoạn đầu của bệnh. Các vấn đề về hô hấp như thở khò khè cũng rất quan trọng và không nên bỏ qua.
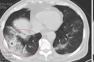
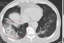
Nhìn chung, bệnh ung thư phổi xuất hiện rất ít dấu hiệu sớm, vì vậy mà phần lớn người bệnh được chẩn đoán khi bệnh đã tiến triển và di căn nhiều nơi trong cơ thể. Những người có nguy cơ mắc ung thư phổi cao được khuyến khích chụp cắt lớp vi tính lồng ngực liều thấp để sàng lọc ung thư.












