Nam bệnh nhân được mổ não khi vẫn tỉnh táo, trò chuyện bình thường
(Dân trí) - Đột ngột yếu nửa người bên phải vì xuất huyết não, cụ ông 70 tuổi đã được bác sĩ cứu sống bằng phương pháp phẫu thuật tỉnh, không cần gây mê dưới sự hỗ trợ của trí tuệ nhân tạo.

Đó là trường hợp ông Lê Văn M. (70 tuổi, ngụ tại Gia Lai) được chuyển đến cấp cứu tại Bệnh viện Nhân Dân 115. Trước thời điểm vào viện, ông đang ăn sáng thì có biểu hiện đột ngột yếu nửa người bên phải, giật méo miệng, lơ mơ, không tiếp xúc. Tình trạng diễn tiến ngày càng nặng khiến bệnh nhân liệt nửa người bên phải.
Qua khai thác bệnh sử, bác sĩ ghi nhận bệnh nhân Văn M. có tiền sử bị tai biến mạch máu não, tăng huyết áp, đang trong giai đoạn điều trị. Qua thăm khám cho thấy, ngoài tình trạng liệt nửa người, bệnh nhân lơ mơ, không tiếp xúc, rối loạn ngôn ngữ.

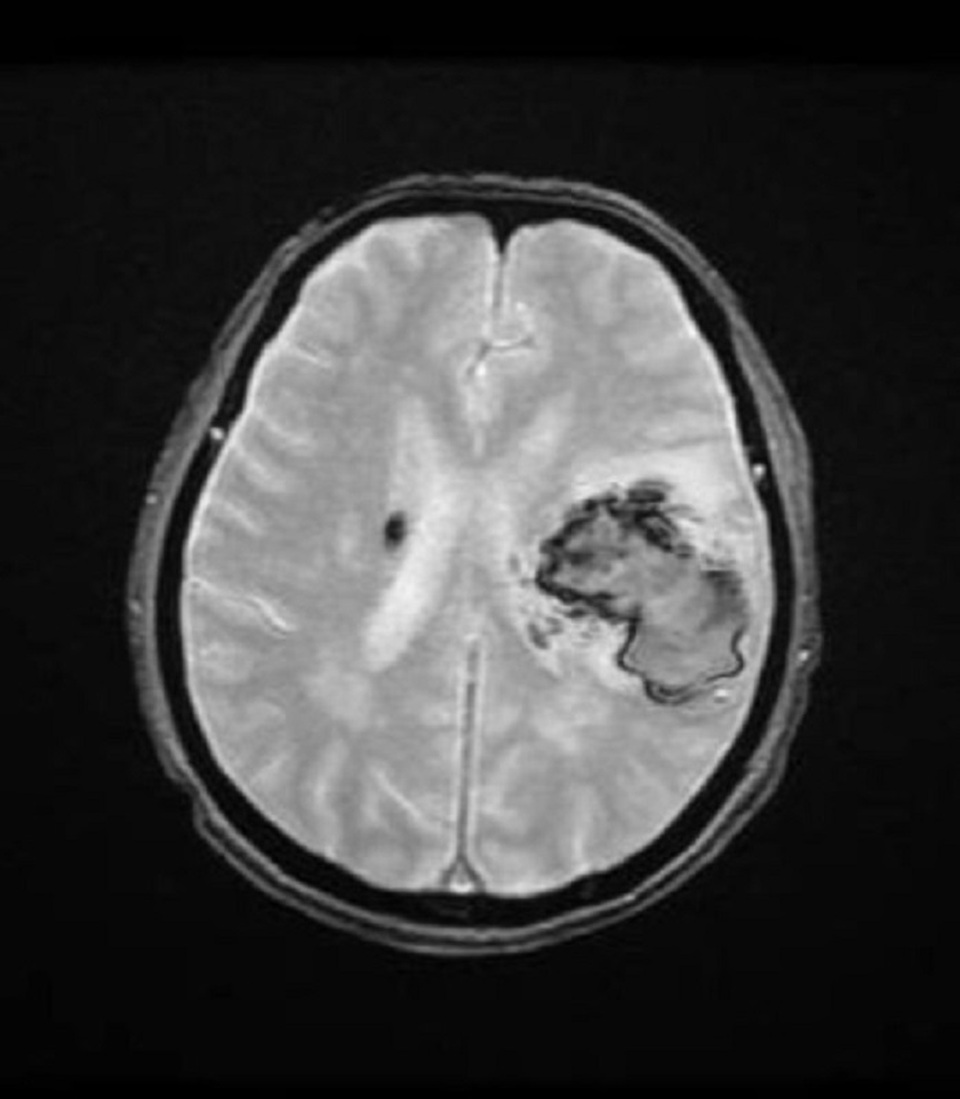
Các kết quả chẩn đoán hình ảnh cho thấy, người bệnh bị xuất huyết não bán cầu trái với lượng máu khoảng 40ml gây hiệu ứng choán chỗ. Sau hội chẩn, các bác sĩ đã chỉ định cho bệnh nhân can thiệp phẫu thuật bằng phương pháp xâm lấn tối thiểu và gây tê tại chỗ (bệnh nhân sẽ hoàn toàn tỉnh táo vì không thực hiện phương pháp gây mê).
BS Chu Tấn Sĩ cho biết, sau khi gây tê toàn bộ da đầu, bệnh nhân được đặt khung cố định đầu, tiến hành phẫu thuật với hệ thống robot sử dụng công nghệ trí tuệ nhân tạo. Bằng hệ thống định vị hình ảnh 3D chụp cộng hưởng từ khuếch tán, sức căng công nghệ trí tuệ nhân tạo sẽ tự động xử lý để thấy các bó dẫn truyền thần kinh. Nhờ đó, các bác sĩ sẽ tùy chỉnh tối ưu để tiếp cận tổn thương trong phẫu thuật. Bên cạnh đó, hệ thống lập trình phẫu thuật được tích hợp vào phần định vị cho phép phẫu thuật viên lập kế hoạch tối ưu nhất khi phân tích các bó sợi thần kinh quanh tổn thương.

Dưới sự “chỉ đường” của công nghệ trí tuệ nhân tạo và cánh tay robot có kính vi phẫu kỹ thuật số độ phóng đại lớn, độ nét cao, phẫu trường rộng… ê kíp phẫu thuật đã tránh được nguy cơ gây tổn thương các búi dẫn truyền thần kinh mà mắt thường không thể nhìn thấy. Trong suốt cuộc mổ, người bệnh vẫn tỉnh táo, uống nước và trò chuyện với bác sĩ.
Sau khi đặt thành công đường dẫn vào ổ xuất huyết, vùng máu tụ trong não đã được các bác sĩ hút toàn bộ ra ngoài. Sau cuộc mổ, kết quả CT-Scan cho thấy, vùng xuất huyết não của người bệnh được xử lý triệt để. Hiện sức khỏe bệnh nhân đã ổn định, tự đi lại, tự thực hiện các sinh hoạt cá nhân.

BS Tấn Sĩ cho biết, trí tuệ nhân tạo đang tạo ra bước đột phá trong y khoa, cho phép phẫu thuật viên nhìn thấy tương quan giữa tổn thương và các bó dẫn truyền thần kinh, từ đó kế hoạch mổ được lập triển khai tối ưu nhất, tránh làm tổn thương các búi dẫn truyền thần kinh quanh vị trí tổn thương. Ưu điểm vượt trội khác của công nghệ này còn giúp phẫu thuật viên nhìn thấy các vị trí mà nếu mổ bằng vi phẫu khó có thể thực hiện được. Nhờ bệnh nhân tỉnh táo, trong cuộc mổ, bác sĩ vẫn có thể tương tác với người bệnh để đánh giá tính an toàn ngay trong cuộc phẫu thuật.
TS.BS Phan Văn Báu, Giám đốc Bệnh viện Nhân Dân 115 cho biết, phương pháp phẫu thuật bằng robot sử dụng trí tuệ nhân tạo đã được triển khai tại Bệnh viện từ tháng 2/2019. Một trong những đỉnh cao của phương pháp này là kỹ thuật mổ tỉnh trên bệnh nhân có xuất huyết não được bệnh viện thực hiện từ đầu năm 2020 trên cơ sở những chuyển giao kỹ thuật từ các chuyên gia Mỹ.

Đến tháng 6/2020, đã có 4 trường hợp được Bệnh viện Nhân Dân 115 mổ não trong tình trạng tỉnh táo hoàn toàn chỉ gây tê tại vùng đầu. Kết quả cho thấy, phương pháp phẫu thuật dưới hướng dẫn của trí tuệ nhân tạo đã giúp bác sĩ tránh được các đường dẫn truyền thần kinh mà mắt thường không nhìn thấy được. Phương pháp phẫu thuật giúp bệnh nhân bảo tồn được chức năng thần kinh trong lúc phẫu thuật, không gây tổn thương xâm lấn, tránh được các di chứng thần kinh sau mổ. Bệnh viện kỳ vọng với kỹ thuật trên sẽ đáp ứng được nhu cầu điều trị ngày càng cao của người bệnh từ đó giữ bệnh nhân ở lại trong nước, tránh “chảy máu người bệnh” ra nước ngoài.
Vân Sơn










