Kinh hãi thanh niên bị thủng dạ dày vì nuốt đinh và lưỡi cưa
Một thanh niên người Trung Quốc đã đánh cược nuốt đinh và lưỡi cưa để được tiền. Kết quả, anh bị thủng dạ dày và nhiễm khuẩn ổ bụng nặng.
Đó là Xiao Gong 27 tuổi, bán hàng rong và sinh sống tại thành phố Ninh Ba, thuộc tỉnh Chiết Giang. Một lần tình cờ chứng kiến cảnh có 2 người đang cá cược chỉ cần nuốt 1 mẩu lưỡi cưa sẽ được vài nghìn tệ, nếu không nuốt được sẽ bị mất số tiền tương ứng. Một người đàn ông đã nuốt lưỡi cưa đó và được trả tiền.
Nghĩ rằng đây là cách kiếm tiền dễ và đơn giản. Xiao Gong lập tức đi thách đố một người đàn ông lạ mặt để kiếm tiền. Anh ta thách người đàn ông nuốt đinh dài 13cm, đường kính 6mm, sẽ được 2000 tệ (khoảng 7 triệu đồng), nếu nuốt lưỡi cưa dài 12cm, rộng bằng ngón tay trỏ sẽ được 4000 tệ (khoảng 14 triệu đồng).

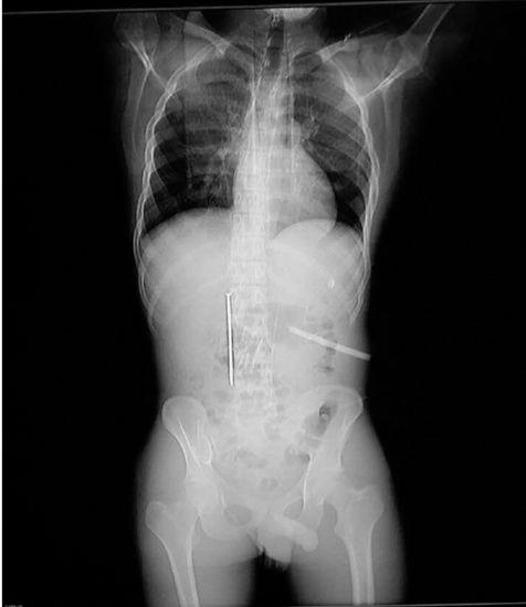
Xiao Gong đã không quan tâm đến tính mạng mà nuốt cả hai gồm một lưỡi dao răng cưa và một cây đinh dài gần 13cm để lĩnh số tiền trên. Tuy nhiên, ngay sau khi nhận tiền, Xiao Gong đã phải nhập viện vì bị đinh đâm thủng dạ dày. Còn chiếc cưa bị hoen rỉ đã khiến anh bị nhiễm trùng ổ bụng nặng.
Toàn bộ số tiền sau đó được dùng vào ca phẫu thuật lấy những thứ này ra khỏi ruột để cứu mạng Xiao Gong. Hiện tại anh vẫn đang nằm viện để điều trị sau phẫu thuật. Ước tính, số tiền anh phải chi trả cho viện phí gấp nhiều lần so với số tiền anh nhận được từ cá cược.
Theo Nguyễn Mai
Lao động










