Hiếm gặp: Bệnh nhân có trái tim nằm bên phải bị nhồi máu cấp
(Dân trí) - Nhập viện trong tình trạng đột ngột đau ngực bên phải, khó thở dữ dội các bác sĩ xác định nam bệnh nhân có trái tim nằm lạc chỗ đang bị nhồi máu cấp, nguy hiểm tính mạng.
Chiều 21/2 bác sĩ Lê Duy Lạc, Phó trưởng khoa Hồi sức Tim mạch, Bệnh viện Quận Thủ Đức, TPHCM cho biết, ê kíp của bệnh viện vừa can thiệp mạch vành thành công cứu sống bệnh nhân nhồi máu cơ tim cấp. Hiếm gặp hơn đây là bệnh nhân có tim nằm bên phải (đảo ngược phủ tạng).

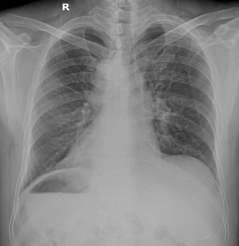
Hình ảnh X-quang cho thấy trái tim bệnh nhân nằm bên phải
Trước đó, bệnh nhân T.M.M. (65 tuổi, trú tại Dĩ An, Bình Dương) đột ngột đau ngực phải, khó thở dữ dội kèm vã mồ hôi. Ngay sau khi phát hiện triệu chứng bất thường ở người bệnh, gia đình đã đưa tới Bệnh viện Quận Thủ Đức cấp cứu. Tại đây, qua các kết quả thăm khám, chẩn đoán hình ảnh, bác sĩ phát hiện bệnh nhân có trái tim nằm “lạc chỗ”, thay vì nằm bên trái như bình thường, trái tim của bệnh nhân M. nằm bên phải. Đây là nguyên nhân khiến người bệnh bị đau dữ dội vùng ngực phải.
Các bác sĩ khoa Cấp cứu nhanh chóng nhận diện và nghi ngờ bệnh nhân nhồi máu cơ tim và tiến hành hội chẩn các bác sĩ tim mạch, bằng điện tâm đồ, chụp X-quang ngực, siêu âm tim, bác sĩ nhận định bệnh nhân có tình trạng đảo ngược phủ tạng hoàn toàn và nhồi máu cơ tim cấp.

Bệnh viện Quận Thủ Đức đã phối hợp chuyên môn với Bệnh viện Nhân Dân Gia Định tiến hành can thiệp mạch vành cấp cứu. Quá trình can thiệp ghi nhận, bệnh nhân hẹp nặng đoạn giữa động mạch vành phải kèm hình ảnh huyết khối. Ê kíp tiến hành hút ra 2 cục huyết khối đỏ và đặt thành công 1 stent phủ thuốc do Việt Nam sản xuất, tái thông dòng chảy động mạch vành. Hiện, sức khỏe bệnh nhân đã ổn định.
Được biết bệnh nhân là lao động chính trong gia đình khó khăn, không bảo hiểm y tế nên bệnh nhân đã được ban giám đốc bệnh viện hỗ trợ 1 phần viện phí và bệnh nhân được một công ty hỗ trợ 1 stent nhằm giúp điều trị và hồi phục sức khỏe.

Theo phân tích chuyên môn của BS Duy Lạc, đảo ngược phủ tạng (Situs inversus), là tình trạng bẩm sinh trong đó các cơ quan nội tạng trong ngực, bụng đảo ngược phản chiếu theo mặt phẳng đứng dọc so với vị trí bình thường, có thể đảo ngược hoàn toàn hoặc một vài cơ quan đơn thuần. Đây là một dạng dị tật có tính di truyền gen lặn tương đối hiếm gặp, tỷ lệ gặp 1/10000 dân. Trường hợp bệnh nhân M. là tình trạng đảo ngược phủ tạng hoàn toàn với tim nằm bên phải, gan nằm bên trái và dạ dày nằm bên phải. Đây cũng là lần đầu tiên bệnh nhân biết bản thân có tình trạng đảo ngược phủ tạng
Bệnh nhồi máu cơ tim là một tình trạng cấp cứu cần tái lập dòng máu chảy trong đoạn động mạch vành bị tắc càng sớm càng tốt, chưa có nghiên cứu về sự liên quan giữ nhồi máu cơ tim trên những bệnh nhân bị đảo ngược phủ tạng. Việc điều trị được áp dụng chung với các phương pháp khôi phục dòng chảy động mạch vành.

Được biết, tại bệnh viện Quận Thủ Đức đến nay đã thực hiện nhiều biện pháp can thiệp chuyên khoa sâu cho bệnh nhân nhồi máu cơ tim gồm tiêu sợi huyết, can thiệp mạch vành đặt stent (PCI) và mổ bắc cầu động mạch vành (CABG). Hiệu quả của các biện pháp này phụ thuộc rất nhiều vào thời gian điều trị từ lúc khởi phát triệu chứng. Can thiệp động mạch vành đặt stent có lợi rõ rệt khi được tiến hành trong vòng 48 giờ giờ kể từ lúc khởi phát bệnh, bác sĩ khuyến cáo để tránh nguy hiểm đe dọa tính mạng, người bệnh cần đi khám định kỳ, nhập viện sớm khi có các biểu hiện bất thường về sức khỏe.
Vân Sơn










