Giảm ham muốn tình dục chỉ vì chủ quan với rối loạn kinh nguyệt
Mặc dù khối u đã khá to, có thể cảm nhận được bằng việc sờ bằng tay nhưng chị Mỹ H, (TP.HCM) vẫn chủ quan không đi thăm khám. Cho đến khi giảm ham muốn tình dục, đi khám, chị H. đã bị suy thận rất nặng.

Nếu phụ nữ thấy rối loạn kinh nguyệt, đau hạ vị, rối loạn tiêu tiểu, đau khi giao hợp cần đi khám để có biện pháp chữa trị kịp thời.
Ngày 9/11, BS Nguyễn Minh Đức, giảng viên trường Đại học Y khoa Phạm Ngọc Thạch cho biết, bệnh viện vừa tiếp nhận bệnh nhân Trần Mỹ H. 42 tuổi, trú tại TPHCM, qua khai thác bệnh sử, các bác sĩ cho biết, chị H. thường xuyên bị rối loạn kinh nguyệt, mắc u xơ tử cung hơn 8 năm nhưng không đi khám bệnh và điều trị.
Theo bác sĩ Đức, dù chị H. biết mình bị u xơ tử cung, nhưng do chủ quan nghĩ rằng không nguy hiểm vì khối u còn bé, bẵng đi một thời gian khối u to chiếm toàn bộ tử cung, gây suy thận nặng.
Thậm chí, khi khối u đã khá to, có thể cảm nhận được bằng việc sờ bằng tay chị vẫn chủ quan không đi thăm khám. Đặc biệt, khoảng 1 năm trở lại đây chị thường xuyên bị đau lưng, giảm ham muốn tình dục và mỏi mệt nên chị đi tái khám tại một bệnh viện lớn ở TPHCM.
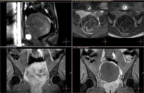
Tại đây, chị được bác sĩ thông báo là có một khối u xơ tử cung khoảng 100mm, chiếm toàn bộ tử cung và phần bụng dưới. Khi siêu âm chị H. đã bị thận ứ nước nặng độ 2 cả hai thận.
Cách đây không lâu, Bệnh viện Đa khoa Đức Giang, Hà Nội cũng phẫu thuật lấy khối u xơ tử cung cho một phụ nữ hơn 40 tuổi.
Trước đó, bệnh nhân thấy bụng to hơn bình thường nhưng do chủ quan, nghĩ do mình béo bụng nên không đi khám. Khoảng một tháng gần đây, bệnh nhân thấy đau bụng âm ỉ, ra máu âm đạo, không có nhu cầu quan hệ tình dục nên đi khám. Kết quả xét nghiệm, siêu âm cho thấy bệnh nhân bị u xơ tử cung to, khối u có hiện tượng vỡ, gây chảy máu tử cung, phải phẫu thuật cắt bỏ khối u nặng hơn 1 kg.
Theo các bác sĩ, các khối u xơ tử cung to thường để lại rất nhiều hậu quả nghiêm trọng như mất máu nhiều dẫn đến thiếu máu mạn, thậm chí suy tim. Nếu khối u chèn ép vào niệu quản hai bên sẽ làm thận bị ứ nước và thậm chí suy chức năng thận và không có nhu cầu quan hệ tình dục.
Các chuyên gia cũng cho biết, u xơ tử cung là một loại u cơ trơn ở tử cung, thường gặp ở phụ nữ độ tuổi 30-50. Tuy nhiên, nhiều trường hợp u xơ tử cung không có biểu hiện trong một thời gian rất dài, chỉ khi khối u đã lớn, bệnh nhận mới tự sờ thấy, hoặc bác sĩ phát hiện trong đợt khám phụ khoa định kỳ.
Do đó, các bác sĩ khuyến cáo phụ nữ nên thường xuyên thăm khám phụ khoa định kỳ và khi có dấu hiệu ra máu bất thường nên đến cơ sở y tế kiểm tra ngay để được chữa trị kịp thời, tránh để xảy ra biến chứng sau này. Nếu thấy rối loạn kinh nguyệt, đau hạ vị, rối loạn tiêu tiểu, đau khi giao hợp cần đi khám để có biện pháp chữa trị kịp thời.
Theo Diệu Thu
Dân Việt










