Giảm đau cho bệnh nhân ung thư gan giai đoạn cuối
Các bác sĩ Bệnh viện Bãi Cháy đã thực hiện kỹ thuật diệt đám rối thần kinh thân tạng giảm đau cho bệnh nhân T H T (45 tuổi, Tiên Yên, Quảng Ninh) bị ung thư gan giai đoạn cuối.
Bệnh nhân phát hiện mắc bệnh ung thư gan từ năm 2018, đã tiến hành nút mạch hóa chất 3 lần tại Trung tâm Ung bướu, Bệnh viện Bãi Cháy.
2 tháng gần đây, bệnh nhân bị sốt cao liên tục, đau vùng bụng dai dẳng, mất ngủ về đêm, ăn uống kém, thể trạng suy kiệt do khối u đã phát triển kích thước lớn hơn, đè đẩy tạng xung quanh nên được bác sĩ chỉ định điều trị giảm đau bằng phương pháp diệt đám rối thần kinh thân tạng.
Ngay sau can thiệp, bệnh nhân đã hết đau, ngủ được, ăn uống tốt trở lại và được xuất viện sau 24h.

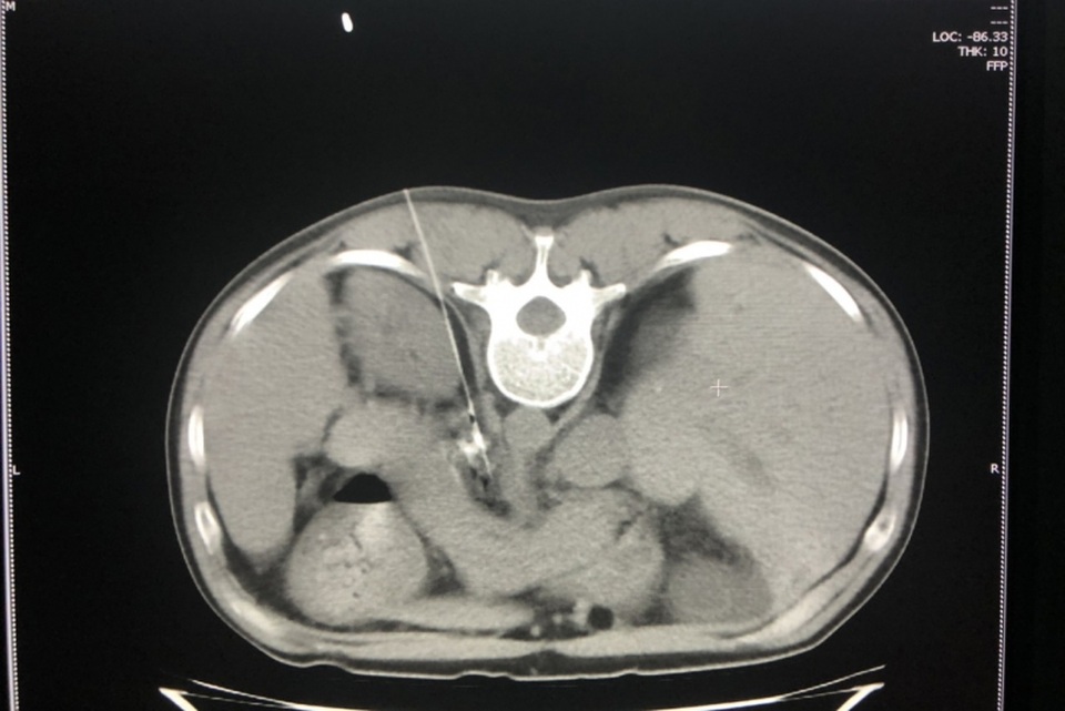
Quá trình thực hiện can thiệp diệt đám rối thần kinh thân tạng trên phim chụp cắt lớp
“Đám rối thân tạng (hay đám rối dương – Celiac Plexus) là một đám rối thần kinh lớn và quan trọng trong ổ bụng. Đám rối tạng vây quanh động mạch thân tạng và động mạch mạc treo tràng trên, đóng vai trò là trung tâm chuyến tiếp cảm giác đau của các tạng nằm tầng trên đại tràng ngang như tụy, dạ dày thực quản, gan, tuyến thượng thận… Do đó, can thiệp diệt đám rối thần kinh thân tạng đối với những bệnh nhân có bệnh lý ung thư vùng bụng trên (tầng trên mạc treo đại tràng ngang) như ung thư gan, tụy, thực quản, dạ dày, túi mật, thận, ung thư di căn đến tạng, hạch di căn chèn ép vào đám rối thân tạng… bị đau dai dẳng vùng bụng, lưng cục bộ bằng cồn tuyệt đối dưới hướng dẫn của cắt lớp vi tính có tác dụng giảm đau nhanh chóng và lâu dài hơn so với phương pháp điều trị bằng thuốc nội khoa thông thường”. – Bác sĩ CKI Lê Tiến Hưng – Phó Trưởng Khoa Chẩn đoán hình ảnh Bệnh viện Bãi Cháy cho biết.
Đây cũng là phương pháp giảm đau nhân đạo, cải thiện chất lượng cuộc sống đối với người bệnh ung thư, đặc biệt là bệnh nhân ung thư giai đoạn cuối khi mọi liệu pháp điều trị không còn hiệu quả, thời gian sống ngày càng hạn hẹp

Kỹ thuật can thiệp giảm đau tối thiểu giúp người bệnh thoát những cơn đau
Với kỹ thuật can thiệp giảm đau tối thiểu, ít xâm lấn này, bệnh nhân không cần gây mê, đảm bảo hiệu quả giảm đau cao đã được ứng dụng rộng rãi trên thế giới và một số ít bệnh viện trung ương tại Việt Nam.
Bệnh viện Bãi Cháy là một trong những đơn vị tiên phong tại Quảng Ninh áp dụng giảm đau bằng phương pháp diệt đám rối thần kinh thân tạng trong điều trị chăm sóc giảm nhẹ cho bệnh nhân ung thư.
Kỹ thuật này có độ khó cao, yêu cầu đường kim chọc vào đám rối thân tạng phải chính xác tuyệt đối, tránh làm tổn thương gan, tạng, chọc thủng tạng hoặc mạch máu trong quá trình can thiệp.
Đội ngũ bác sĩ điện quang can thiệp phải có trình độ cao, giàu kinh nghiệm, nắm vững cấu trúc giải phẫu và hệ thống máy chụp cắt lớp vi tính hiện đại để có thể quan sát, kiểm soát đường chọc kim can thiệp, bơm cồn tuyệt đối 100% đốt cháy đám rối thần kinh thân tạng một cách chuẩn xác.










