Thanh Hóa:
Gắp 3 ghim giấy trong phổi bé 9 tháng tuổi
(Dân trí) - Các bác sỹ bệnh viện Nhi Thanh Hóa vừa phẫu thuật và gắp thành công 3 chiếc ghim bằng kim loại từ trong phổi một bé trai 9 tháng tuổi. Bệnh nhi là bé Nguyễn Phó Thế Anh (9 tháng tuổi, trú tại thôn 6, xã Quảng Đại, huyện Quảng Xương).
Theo các bác sỹ bệnh viện Nhi Thanh Hóa, bé Thế Anh được người nhà đưa vào Bệnh viện chiều 15/3 trong tình trạng ho, sốt nhẹ, biếng ăn. Ngay sau đó, các bác sỹ đã tiến hành khám và chẩn đoán ban đầu bé bị viêm phế quản.
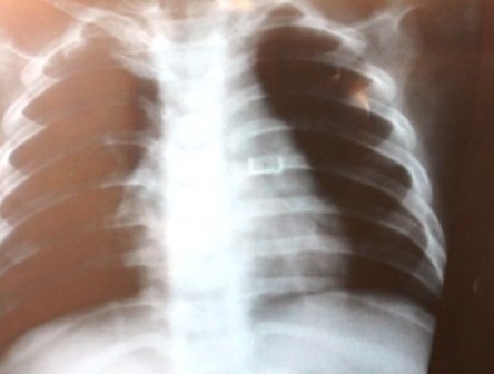
Tuy nhiên, sau khi tiến hành chụp X-quang, các bác sĩ phát hiện trong phổi trái bé Thế Anh có dị vật. Lập tức các bác sỹ đã tiến hành nội soi, sau gần 3 giờ đồng hồ, kíp mổ đã gắp thành công 3 chiếc ghim bằng sắt dính vào nhau từ phổi bé Thế Anh ra ngoài.
Được biết, loại ghim nằm trong phổi bệnh nhi là loại ghim dùng để đóng sách vở. Các bác sỹ còn phát hiện ghim sắt có dính mủ nên nhận định phổi cháu bé bị tổn thương.
Chị Thừa Thị Hòa (mẹ cháu Thế Anh) cho biết, hồi đầu tháng 3 vừa rồi, chị gái của cháu có ngồi đóng sách vở và cháu Thế Anh ngồi chơi bên cạnh. Trong khi làm việc, mọi người sơ ý nên để cháu nhặt ghim sắt bỏ vào miệng. Khi ghi đình phát hiện, liền lấy tay móc trong miệng cháu được vài chiếc ghim sắt. Mọi người cứ nghĩ cháu chưa kịp nuốt vào trong nên không để ý gì nữa. Một thời gian sau thấy cháu có biểu hiện ho, sốt mới đưa đến bệnh viện kiểm tra.
Sau khi gắp thành công 3 chiếc ghim sắt ra khỏi phổi bé Thế Anh, các bác sỹ đã tận tình chăm sóc và điều trị, hiện sức khỏe bé Thế Anh đã dần hồi phục, bé không sốt, ho ít, ăn uống bình thường.
Trao đổi với phóng viên Dân trí, bác sỹ Hoàng Thị Kim Thanh, Phó giám đốc bệnh viện Nhi Thanh Hóa cho biết: “Bác sĩ Lê Thu Hoài, Khoa hô hấp là người trực tiếp gắp ghim trong phổi bệnh nhi. Mặc dù thời điểm đó đã hết giờ làm việc, nhưng kíp gây mê và các bác sỹ vẫn cố gắng gắp đến tận 19h mới xong. Việc gắp dị vật trong phổi nguy hiểm hơn gắp dị vật trong dạ giày vì còn liên quan đến việc gây mê cho trẻ mà gây mê cho trẻ 9 tháng tuổi rất khó và nguy hiểm. Ngoài ra khi đặt ống gây mê nội khí quản và đưa cả ống vào để nội soi vào chung một đường phế quản, đây là một kỹ thuật rất khó”.
“Ghim sắt nhọn, nếu không khéo trong quá trình gắp sẽ làm tổn thương đến những bộ phận khác. Khi gắp ra, trên ghim sắt còn có dính mủ, nếu không phát hiện và gắp kịp thời sẽ dẫn đến áp - xe trong phổi, có nguy cơ vỡ vào trung thất dẫn đến những tai biến ảnh hưởng đến tính mạng của bệnh nhân”, bác sỹ Thanh cho biết thêm.
Duy Tuyên










