Đau đầu liên tục 3 ngày do túi phình khổng lồ trong động mạch não
(Dân trí) - Hai nữ bệnh nhân nhập viện trong tình trạng đau đầu dữ dội, được chẩn đoán bị túi phình động mạch não khổng lồ. Trước đó, bệnh nhân đã uống thuốc giảm đau, điều trị nội khoa nhưng không đáp ứng với thuốc, tình trạng đau đầu ngày càng dữ dội hơn.
30 tuổi đã bị phình động mạch
Ngày 25/8, TS.BS Nguyễn Minh Anh, Trưởng khoa Ngoại Thần kinh, bệnh viện Đại học Y Dược, TPHCM cho biết bệnh nhân Tăng Diễm T. (31 tuổi, ngụ tại TPHCM, nhân viên kế toán của một công ty bất động sản) nhập viện với triệu chứng đau đầu liên tục trong 3 ngày. Bệnh nhân đã uống thuốc giảm đau, điều trị nội khoa nhưng không đáp ứng với thuốc, tình trạng đau đầu ngày càng dữ dội hơn.
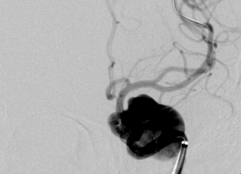
Kết quả chụp MRI, bác sĩ phát hiện bệnh nhân túi phình khổng lồ hình thoi trong động mạch não với chiều dài 40mm, đường kính 20mm. Bệnh lý túi phình thường chỉ gặp ở người lớn tuổi với túi phình chỉ khoảng 3mm đến 5mm, nhưng chị Diễm T. mới ngoài 30 tuổi đã mắc phải là trường hợp ít gặp. Mặt khác, kích thước túi phình quá lớn, nguy cơ có thể vỡ bất kỳ lúc nào sẽ khiến người bệnh bị nhồi máu não, tử vong hoặc yếu liệt cơ thể.

Cùng với chị Diễm T. bệnh viện đã thực hiện thành công phương pháp trên cho bà Nguyễn Thị S. (61 tuổi, ngụ tại Sóc Trăng). Bà S. nhập viện do đau đầu âm ỉ kéo dài, không có biểu hiện yếu liệt. Người bệnh có tiền sử bị tăng huyết áp, đái tháo đường đang trong giai đoạn điều trị. Kết quả chụp MRI cho thấy, bệnh nhân bị túi phình khổng lồ động mạch não bên trái nội sọ, kích thước 35mm.
Phân tích chuyên môn của TS Minh Anh cho thấy, túi phình khổng lồ mạch máu não là chỗ dãn lớn mạch máu não do thành mạch yếu hơn bình thường, có thể do thoái hóa thành mạch ở người già hoặc bệnh lý gây yếu thành mạch ở người trẻ tuổi do chế độ ăn uống thiếu một số dưỡng chất cần thiết nuôi dưỡng mạch máu. Túi phình khổng lồ trong não gây chảy máu chiếm khoảng 20% nguy cơ tai biến mạch máu não cho người bệnh. Bên cạnh đó, khoảng 60% đên 70% người bệnh có túi phình khổng lồ động mạch não sẽ trở nặng sau 5 năm, và nguy cơ tử vong lên tới 70% đến 90%.
Cả 2 trường hợp này đã được đặt stent chuyển dòng để hạn chế nguy cơ tai biến mạch máu não do túi phình gây ra về sau. Phương pháp đặt stent chuyển dòng này chỉ áp dụng khi các phương pháp khác đã thất bại do chi phí đắt và tiên lượng về lâu dài (trên 10 năm chưa được chứng minh).
Sau khi được can thiệp, hiện sức khỏe cả hai bệnh nhân đã bình phục tốt, các bác sĩ đang tiếp tục theo dõi diễn tiến trong quá trình hồi sức. Người bệnh sẽ được kết hợp sử dụng thuốc hỗ trợ điều trị sau khi xuất viện để tránh nguy cơ tái phình mạch máu não.
Trước đây, việc điều trị bệnh lý túi phình khổng lồ động mạch não thường được thực hiện bằng phương pháp mổ hở hoặc can thiệp trong lòng mạch máu để gây tắc động mạch phình. Các phương pháp này có nguy cơ tử vong hoặc tàn tật sau điều trị chiếm gần 30%, nguy cơ tái phát túi phình chiểm khoảng 20% sau 5 năm. Đây được xem là loại bệnh lý khó nhất trong chuyên ngành Ngoại Thần kinh.
Tại các tỉnh phía Nam của Việt Nam, đặt stent chuyển dòng được đưa vào điều trị gần một năm nay ở những bệnh viện tuyến cuối. Tính riêng bệnh viện Đại học Y Dược, đến nay mới chỉ có 5 trường hợp được điều trị bằng phương pháp này.

Tầm soát, điều trị sớm tránh nguy hiểm
Phân tích chuyên môn của BS Trần Quốc Tuấn, khoa Ngoại Thần kinh chỉ ra: Túi phình động mạch não có thể xuất hiện ở mọi lứa tuổi, nhưng hay gặp hơn ở nữ giới, tỷ lệ xuất hiện tăng theo tuổi, gặp nhiều nhất lớn tuổi. Bên cạnh đó, các nguy cơ tim mạch như: tăng huyết áp, hút thuốc lá, xơ vữa mạch máu, tiểu đường… cũng làm tăng nguy cơ bệnh lý túi phình động mạch não. Mặt khác, những người bị béo phì thừa cân, nguy cơ hẹp mạch máu do xơ vữa tăng, người quá nhẹ cân, nguy cơ có túi phình động mạch não tăng.
Phần lớn các túi phình chưa vỡ không gây triệu chứng. Khi kích thước túi phình đủ lớn có thể gây đau đầu kéo dài, liệt các dây thần kinh đầu mặt cổ, biểu hiện bằng nhìn đôi, lé mắt, mờ mắt, méo mặt hoặc yếu liệt tay chân diễn tiến nặng dần. Nếu túi phình động mạch não vỡ, thì sẽ có biểu hiện như đột quỵ với đau đầu dữ dội đột ngột, cứng cổ, lơ mơ, tê yếu tay chân, thậm chí tử vong ngay sau vỡ.
Nhóm bệnh lý mạch máu não nói chung và túi phình động mạch não nói riêng thường không có biểu hiện điển hình, nếu trở nặng có thể nguy hiểm tính mạng. Do vậy, cộng đồng cần lưu ý đến nhóm bệnh lý này và tầm soát loại trừ qua chẩn đoán hình ảnh khi có biểu hiện đau đầu dữ dội, đột ngột hoặc đau đầu kéo dài đáp ứng kém với điều trị nội khoa, tê yếu nửa người, nhìn đôi, méo miệng, mờ mắt đột ngột, hoặc rối loạn tri giác như lơ mơ, hôn mê.
Nếu phát hiện sớm, đa số bệnh lý mạch máu não trong đó có túi phình động mạch não có thể được điều trị khá triệt để bằng can thiệp nội mạch hoặc mổ hở. Đặt stent chuyển dòng chỉ chỉ định trong trường hợp các giải pháp khác đã thất bại.
Vân Sơn









