Đau đầu, chảy nước mũi tưởng cảm cúm, đi khám phát hiện rò dịch não tủy
(Dân trí) - Sau 3 tháng bị chấn thương sọ não, bệnh nhân N gặp tình trạng đau đầu, chảy nước mũi. Qua thăm khám tại BVĐK Hồng Ngọc phát hiện rò dịch não tủy và được phẫu thuật vá lỗ rò dịch thành công, loại bỏ nguy cơ viêm màng não.
Đau đầu, sổ mũi sau tai nạn giao thông, bệnh nhân bàng hoàng phát hiện rò dịch não tủy
Khoảng 3 tháng trước, bệnh nhân C.V.N (27 tuổi) bị tai nạn giao thông, đến BVĐK Hồng Ngọc - Phúc Trường Minh cấp cứu trong tình trạng choáng váng, sưng nề vùng đầu. Kết quả chụp CT sọ não cho thấy có chấn thương sọ não kèm vỡ xương trán phức tạp nhưng không phát hiện tụ máu, xuất huyết hay rò rỉ dịch trong màng não nên chưa cần can thiệp phẫu thuật. Sau 10 ngày theo dõi, điều trị bảo tồn, bệnh nhân ổn định sức khỏe và được xuất viện, tiếp tục theo dõi chấn thương tại nhà trong 3-6 tháng, hạn chế vận động mạnh.

Phim chụp vùng xương trán bệnh nhân N bị vỡ phức tạp không gây xuất huyết, tụ máu não (Ảnh: BVCC).
Tuy nhiên, gần đây bệnh nhân bắt đầu xuất hiện triệu chứng đau đầu dữ dội, chảy nước mũi liên tục, cơ thể mệt mỏi, suy nhược. Lo ngại trước những bất thường của sức khỏe, bệnh nhân quay lại BVĐK Hồng Ngọc - Phúc Trường Minh thăm khám và phát hiện rò dịch não tủy.
Dịch não tủy có màu trong suốt, không mùi, có vai trò như lớp đệm bảo vệ não bộ, nuôi dưỡng và đào thải độc tố cho não. Vì có đặc tính giống nước mũi nên khi chất lỏng trong não bị rò rỉ ra ngoài hộp sọ qua đường mũi, người bệnh dễ nhầm lẫn với cảm cúm hay viêm xoang thông thường.
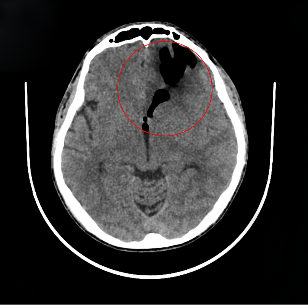
Theo PGS. Hà Kim Trung - Phó giám đốc BVĐK Hồng Ngọc - Phúc Trường Minh, chuyên gia hơn 30 năm kinh nghiệm phẫu thuật thần kinh sọ não, quá trình thăm khám thần kinh không phát hiện triệu chứng bất thường. Kết quả phim chụp CT não cho thấy khối tụ khí lớn trong sọ ở vùng trán trái, chèn ép mạnh lên thùy trán và não thất. Sau 5 ngày theo dõi, triệu chứng đau đầu và chảy dịch mũi không thuyên giảm, cho thấy dấu hiệu của rò dịch não tủy muộn sau chấn thương sọ não.
“Đây là trường hợp hiếm gặp, bởi thông thường rò dịch não tủy có thể xuất hiện sớm trong 1-2 tuần đầu sau chấn thương. Tình trạng rò dịch muộn có thể do bệnh nhân vận động nặng làm tăng áp lực nội sọ khiến đường rò từ sàn sọ xuống mũi bị hở. Với trường hợp này, chỉ định mổ gần như bắt buộc vì đường rò từ sàn sọ xuống mũi có thể gây biến chứng nguy hiểm, nhất là viêm màng não”, PGS.TS.BS Hà Kim Trung nhấn mạnh.
Trước nhận định của bác sĩ, người nhà bệnh nhân chia sẻ: “Sau tai nạn, sức khỏe của cháu ổn định, nên cũng yên tâm đi làm lại bình thường. Khi cháu bị đau đầu, chảy mũi gia đình chỉ nghĩ là cảm cúm bình thường thôi. Nhưng bác sĩ nói đó là biến chứng nặng gia đình rất bất ngờ và khá lo lắng khi phải phẫu thuật để xử lý”.

Tụ khí do rò dịch não gây chảy dịch, đau đầu, mệt mỏi (Ảnh: BVCC).
Trước nguy cơ viêm màng não do rò dịch não tủy kéo dài, các bác sĩ đã chỉ định phẫu thuật sớm để vá lỗ rò, chấm dứt tình trạng đau đầu, chảy dịch mũi và ngăn ngừa biến chứng viêm màng não nguy hiểm.
Phẫu thuật vá lỗ rò, giảm đau đầu, hết chảy dịch mũi, tránh nguy cơ viêm màng não
Phẫu thuật sọ não, đặc biệt ở vùng nền sọ trước luôn tiềm ẩn nhiều rủi ro. Bởi đây là khu vực tập trung các cấu trúc giải phẫu quan trọng và nhạy cảm như dây thần kinh khứu giác, đặc biệt là dây thần kinh số 1, rất dễ bị tổn thương, cùng các xoang khí và mạch máu lớn. Vì vậy, chỉ cần một sai lệch nhỏ trong thao tác có thể gây mất khứu giác vĩnh viễn, tổn thương não hoặc nhiễm trùng nội sọ.
Theo PGS. Hà Kim Trung, quá trình phẫu thuật cần được thực hiện nhanh gọn, chính xác tuyệt đối và hạn chế tối đa tình trạng mất máu. Đồng thời, ca mổ cũng đòi hỏi sự phối hợp chặt chẽ cùng chuyên khoa gây mê hồi sức để đảm bảo an toàn cho người bệnh.
Trực tiếp thực hiện phẫu thuật cho người bệnh, PGS. Hà Kim Trung cùng ê-kíp đã tiến hành mở hộp sọ, làm sạch xoang hơi trán, tạo hình màng cứng, dùng vật liệu tự thân và keo sinh học để vá lỗ rò.

PGS. Hà Kim Trung thăm khám cho bệnh nhân sau phẫu thuật (Ảnh: BVCC).
Sau 60 phút tập trung và thực hiện chính xác từng thao tác, ca mổ thành công tốt đẹp. Bệnh nhân giảm đau đầu, hết chảy dịch mũi, bảo tồn được dây thần kinh dây thần kinh khứu giác và thoát khỏi nguy cơ viêm màng não. Sau phẫu thuật, bệnh nhân tỉnh táo, ăn ngủ tốt và xuất viện sau 7 ngày điều trị.
Thông qua ca bệnh, PGS. Hà Kim Trung khuyến cáo, với những bệnh nhân chấn thương sọ não đang trong quá trình điều trị bảo tồn, cần hạn chế vận động nặng và theo dõi sát sao các dấu hiệu bất thường. Nếu có triệu chứng như chảy dịch mũi, đau đầu, mệt mỏi, sốt, người bệnh nên đến ngay cơ sở y tế có chuyên khoa ngoại thần kinh để được thăm khám và xử lý kịp thời, tránh biến chứng nguy hiểm như rò dịch não tủy, viêm màng não.
Đặt lịch thăm khám, điều trị bệnh lý thần kinh, sọ não cùng PGS.TS.BS Hà Kim Trung - Chuyên gia hơn 30 năm kinh nghiệm, từng tu nghiệp ở Pháp, Nhật, Úc,... tại BVĐK Hồng Ngọc - Phúc Trường Minh để nhận ưu đãi:
- Miễn phí khám và tư vấn phẫu thuật.
- Giảm 10% chi phí chẩn đoán hình ảnh (Chụp chiếu, siêu âm).
Khoa Ngoại chấn thương chỉnh hình - Thần kinh sọ não
Hotline: 0912 002 131
Địa chỉ: Số 8 đường Châu Văn Liêm, Từ Liêm, Hà Nội
Lưu ý: Chương trình chỉ áp dụng cho khách hàng đặt lịch trước qua hotline và không áp dụng đồng thời cùng các chương trình, ưu đãi khác.










