Chơi vật tay, chàng trai Hà Nội gãy xương
(Dân trí) - Nam thanh niên 18 tuổi ở Hà Nội vào Bệnh viện Đa khoa Hà Đông khám, trong tình trạng đau đớn vùng cánh tay phải sau khi chơi vật tay với bạn.
TS.BS Nguyễn Trọng Nghĩa, Khoa Chấn thương chỉnh hình, Bệnh viện Đa khoa Hà Đông cho biết, nam thanh niên được xác định gãy xương cánh tay phải, phải cố định trong thời gian kéo dài.

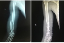
Hình ảnh phim chụp X-quang cho thấy xương cánh tay bị gãy (Ảnh: Bác sĩ cung cấp).
Đây không phải là trường hợp đầu tiên gặp chấn thương nghiêm trọng do vật tay. Các bác sĩ từng ghi nhận những ca gãy xương cánh tay, trật khớp vai, thậm chí liệt vận động tạm thời sau khi chơi trò chơi này.
Theo chuyên gia này, trò chơi vật tay vốn phổ biến trong giới trẻ tưởng chừng đơn giản nhưng nếu không đúng kỹ thuật, sử dụng lực quá mạnh hoặc đột ngột rất dễ dẫn đến gãy xương, tổn thương thần kinh.
Do khi vật tay, chấn thương có nguy cơ xảy ra do lực xoắn tập trung vào đoạn giữa thân xương cánh tay, nơi có rãnh xoắn, làm tăng nguy cơ gãy xương kiểu xoắn. Đây cũng chính là khu vực mà thần kinh quay đi qua nên nếu tổn thương lan rộng, có thể gây yếu hoặc liệt vận động các cơ duỗi của cổ tay và ngón tay.

Sau khi chơi vật tay với bạn, nam thanh niên đau đớn dọc cánh tay phải, phải nhập viện điều trị (Ảnh: Bệnh viện cung cấp).
"Gãy xương trong khi đang vật tay thường do cơ chế xoắn vặn nên ổ gãy thường là dạng chéo vát, có thể có mảnh rời. Người tham gia thường dùng một lực rất lớn lên cánh tay khi khuỷu cố định trong tư thế gấp, dẫn tới một lực rất lớn dồn vào vùng 1/3 dưới xương cánh tay là vùng chuyển tiếp giữa thiết diện tròn và tam giác của thân xương, nguy cơ gãy xương rất cao.
Ngoài ra, một số người chơi vật tay dùng mẹo thay đổi hướng xoắn vặn hoặc giảm rồi tăng lực đột ngột nhằm gây bất ngờ cho đối phương để chiếm ưu thế cũng là nguyên nhân dẫn tới việc gãy xương khi tham gia chơi vật tay", TS Nghĩa cho biết.
Các bác sĩ khuyến cáo, vật tay là môn thể thao có tính đối kháng mạnh, người chơi cần nắm rõ kỹ thuật và hiểu rõ giới hạn sức lực của cơ thể để tránh các chấn thương nghiêm trọng.
Trước khi chơi vật tay cần khởi động kỹ, giữ đúng tư thế và đặc biệt không nên cố dùng sức vượt quá khả năng của mình. Người chơi cũng cần chú ý kiểm soát lực và tránh các động tác gây áp lực lớn lên xương cánh tay, tránh thực hiện động tác xoắn vặn mạnh hoặc thay đổi lực đột ngột trong khi chơi.
Trong trường hợp có dấu hiệu đau bất thường, cần dừng ngay lại để tránh tổn thương nặng hơn, và đến ngay cơ sở y tế uy tín để được chẩn đoán và điều trị kịp thời, ngăn ngừa biến chứng nguy hiểm.













