Chơi vật tay, chàng trai Hà Nội gãy xươngNam thanh niên 18 tuổi ở Hà Nội vào Bệnh viện Đa khoa Hà Đông khám, trong tình trạng đau đớn vùng cánh tay phải sau khi chơi vật tay với bạn.
Chơi vật tay, nam thanh niên gãy xươngNam thanh niên 24 tuổi đến Bệnh viện E khám, trong tình trạng biến dạng cánh tay, hạn chế vận động khủyu tay phải. Anh bị xuất hiện tình trạng này sau khi chơi trò vật tay với bạn.
Chủ nhà truy sát khách vì bị thách thức đánh võ, vật tay trong cuộc nhậuHải mời người đàn ông 48 tuổi đến nhà ăn uống và bị người này thách thức chơi trò vật tay, đánh võ. Chủ nhà nhiều lần nhận thua nhưng vẫn bị khiêu khích, đánh nên đã lấy dao đuổi chém đối phương.
Thách đấu "Thần sấm" Bjornsson, "Vua vật tay" nhận cái kết đắngLên tiếng thách đấu dù chỉ tập luyện trong 5 tuần, lực sĩ kiêm nhà vô địch vật tay thế giới Devon Larratt đã phải nhận cái kết đắng trong trận chiến quyền Anh với "Thần sấm" Thor Bjornsson mới đây.
01:45"Vua vật tay" Larratt hạ "Thần Sấm" Bjornsson dễ như trở bàn tayLên tiếng thách đấu dù chỉ tập luyện trong 5 tuần, lực sĩ kiêm nhà vô địch vật tay thế giới Devon Larratt đã phải nhận cái kết đắng trong trận chiến quyền Anh với "Thần Sấm"Thor Bjornsson mới đây.
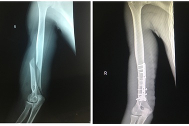
Nam thanh niên bất ngờ gãy gập xương khi vật tay với bạnĐang thử sức cùng bạn bằng trò vật tay, bất ngờ sau tiếng “cụp” cánh tay phải của nam thanh niên gãy gập. Xương gãy xoắn phức tạp khiến nạn nhân đối mặt với nguy cơ liệt thần kinh quay.
Chơi vật tay với bạn, thanh niên 19 tuổi bị gãy xương cánh taySau khi đọ sức cùng bạn thông qua trò vật tay, nam thanh nhiên ở Quảng Yên, Quảng Ninh phải vào viện cấp cứu. Xương cánh tay bị gãy vặn xoắn một đoạn khoảng 8cm.
Bị đánh bại trong trò vật tay, cha tức giận nổ súng dọa con traiNgười cha say xỉn sau khi nhiều lần bị con trai đánh bại trong trò chơi vật tay đã đột ngột quyết định trút giận bằng cách nổ súng đe dọa.
Hy hữu: Xô xát sau vật tay, đòi bồi thường hơn 1 tỷ đồngHùng và Lý rủ nhậu rồi rủ nhau vật tay. Sau khi vật thì cả hai tranh cãi về chuyện thắng thua nên xảy ra mâu thuẫn dẫn đến đánh nhau. Lý đánh Hùng bị thương tật 47% nên Hùng yêu cầu bồi thường hơn 1 tỉ đồng.
9X Việt Nam "tay to như chân" giành HCV giải vật tay thế giớiMột mình sang Jakarta, Indonesia tranh tài ở Giải vật tay thế giới, Dương Đức đã đem vinh quang về cho tổ quốc, khi vượt qua nhiều đối thủ mạnh để giành HCV.
24:339X Việt Nam "tay to như chân" giành HCV giải vật tay thế giớiMột mình sang Jakarta, Indonesia tranh tài ở Giải vật tay thế giới, Dương Đức đã đem vinh quang về cho tổ quốc, khi vượt qua nhiều đối thủ mạnh để giành HCV.
00:51Nam tiktoker đánh bại nữ VĐV vật tay chỉ sau hai hiệp đấuLần đầu tiên Ba Lan tổ chức giải đấu MMA (võ tổng hợp tự do) giữa võ sĩ nữ với võ sĩ nam, và kết quả không ngạc nhiên khi các "bóng hồng" bị đánh tơi tả.