Trẻ em có thể khôi phục khả năng ngôn ngữ sau đột quỵ não trái
(Dân trí) - Đối với người trưởng thành, việc bị đột quỵ não sẽ dẫn đến hậu quả là mất đi khả năng ngôn ngữ. Nhưng với trẻ em, vùng ngôn ngữ bên não trái có thể được khôi phục tại vị trí tương ứng bên bán cầu não phải.

Một cơn đột quỵ bên não trái thường gây tổn hại cho khu vực xử lý ngôn ngữ quan trọng. Nhưng, theo một nghiên cứu về trẻ vị thành niên và người lớn, những người bị những cơn đột quỵ này ngay trước khi hoặc sau khi ra đời sẽ khôi phục khả năng ngôn ngữ ở vị trí tương tự bên não phải. Tại cuộc họp thường niên của Hiệp hội vì Sự tiến bộ Khoa học của Mỹ vào ngày 17 tháng Hai, các nhà nghiên cứu cho biết, tất cả những bệnh nhân này đều có khả năng ngôn ngữ bình thường, dù một nửa não họ đã bị hư tổn.
Cho đến nay, các nhà nghiên cứu đã tuyển chọn 12 người ở độ tuổi từ 12 đến 25, đã từng bị đột quỵ tại cùng một vùng ở bán cầu não trái ngay trước khi hoặc sau khi ra đời. Đồng tác giả nghiên cứu Elissa Newport, một nhà nghiên cứu thần kinh học ở Trung tâm Y tế Đại học Georgetown, Washington, D.C cho biết, những người trưởng thành gặp phải loại đột quỵ này thường sẽ mất khả năng sử dụng và hiểu ngôn ngữ.
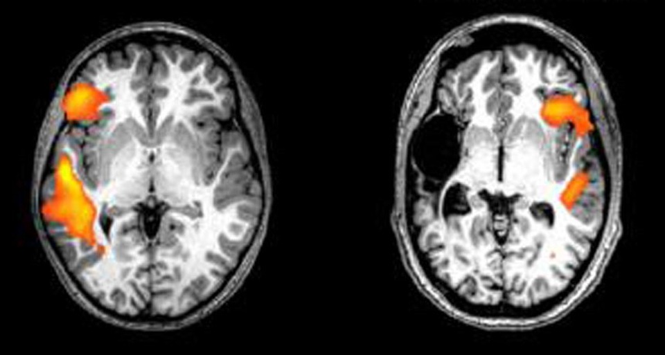
Phim chụp cộng hưởng từ (MRI) của anh chị em ruột khỏe mạnh của các bệnh nhân đột quỵ cho thấy hoạt động của trung khu ngôn ngữ nằm ở bán cầu não trái khi đối tượng nghiên cứu lắng nghe thông tin. Bệnh nhân đột quỵ cho thấy có hoạt động ở những khu vực tương tự - chỉ là ở bên đối diện của não.
Từ lâu người ta cho rằng nếu một vùng não bị thương tổn, những vùng khác của não đôi khi sẽ phải bù trừ. Nhưng nghiên cứu mới này chỉ ra rằng trong khi những bộ não trẻ có khả năng hồi phục phi thường, có thể có hạn chế với những vùng có thể thay thế.
Newport cho biết: “Khi bạn nhìn vào một tập hợp rất dễ xác định, việc phục hồi diễn ra ở một số khu vực nhất định. Newport lưu ý rằng ở trẻ em thường có hoạt động ngôn ngữ tại những khu vực giống nhau ở cả hai bán cầu não và theo thời gian, bán cầu não trái dần chiếm ưu thế hơn. Nhưng trong trường hợp bán cầu não trái gặp đột quỵ, vùng tương ứng bên bán cầu phải có thể được chuẩn bị sẵn sàng đảm nhận chức năng này.
Lộc Xuân (Theo Science Daily)










