Lần đầu xạ phẫu u mạch hang ở não bằng máy xạ trị gia tốc hiện đạiNgày 28/9 tin từ Trung tâm Ung bướu, BV Trung ương Huế cho biết lần đầu tiên điều trị xạ phẫu 1 ca u mạch hang ở não bằng máy xạ trị gia tốc hiện đại, tỷ lệ thành công rất cao từ 80-90%.
U máu thể hang tại nãoU máu thể hang là tổ chức bất thường của mạch máu não nhỏ (mao mạch), tạo thành bởi nhiều khoang, múi nhỏ giống như hình tổ ong hoặc hình quả dâu. Khoảng một nửa số các trường hợp có triệu chứng.
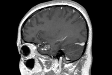
TPHCM: Chàng trai 21 tuổi bất ngờ nhìn khác thường vì căn bệnh "hiểm" ở nãoThấy đau đầu đột ngột, mắt trái tự dưng mờ và nhìn khác thường, nam thanh niên đi khám thì phát hiện đã mắc căn bệnh có nguy cơ gây vỡ mạch máu não.
Cứu sống bệnh nhân ung thư sốc mất máu nguy kịch do vỡ u máu ruột nonĐang điều trị ung thư vòm họng di căn hạch cổ, người đàn ông 52 tuổi, Quảng Ninh bỗng xuất huyết tiêu hóa nghiêm trọng. Nguyên nhân là do vỡ u máu ruột non hiếm gặp.
Vinmec phẫu thuật thành công cho bệnh nhân mắc chứng động kinh, dị dạng mạch nãoNhập viện trong tình trạng co giật và đau đầu dữ dội, bệnh nhân người Anh được bác sĩ Bệnh viện Đa khoa Quốc tế Vinmec Central Park (TPHCM) phát hiện động kinh ở thùy trán do dị dạng mạch não vỡ, gây nguy hiểm đến tính mạng.
Phẫu thuật thành công khối u lớn hiếm gặp ở vùng cổBệnh viện Đa khoa Quảng Nam vừa phẫu thuật thành công một trẻ hơn 4 tuổi có khối u mạch máu dạng hang vô cùng khó và hiếm gặp.
Mổ u não: Một ngày bệnh nhân đã được xuất việnChàng sinh viên 20 tuổi thường xuyên đau đầu, chóng mặt, đi khám được xác định u não nhưng bị từ chối can thiệp do u nằm sâu trong não. Sau xạ trị với tia gamma, 1 ngày bệnh nhân đã được xuất viện.
Bệnh u máu ở trẻ có chữa được không?Là khối u lành tính phổ biến nhất ở trẻ nhỏ nhưng nếu không được điều trị kịp thời sẽ gây ảnh hưởng lớn tới sự phát triển của trẻ. Chúng tôi đã có cuộc trao đổi với BS CKII Nguyễn Nguyệt Nhã về vấn đề này.
Tưởng đau mắt đỏ, bệnh nhân suýt mù vì bệnh lý hiếm gặpBệnh nhân được chẩn đoán đau mắt đỏ trái nhưng điều trị suốt 2 tháng không thuyên giảm, khi đến Bệnh viện Chợ Rẫy, bác sĩ phát hiện căn bệnh rò động mạch cảnh xoang hang hiếm gặp.
U não di căn 2 ổ, xạ phẫu dao Gamma trong 60 phútBệnh nhân N.T.X.H (51 tuổi) bị ung thư phổi di căn lên não 2 ổ. Các bác sĩ đã tiến hành xạ phẫu dao Gamma cho bệnh nhân, với thời gian điều trị là 60 phút. “Bệnh nhân chỉ cần nằm điều trị 1 ngày, không làm ngắt quãng thời gian điều trị hóa chất nên đáp ứng mọi điều kiện tốt nhất cho quá trình điều trị của người bệnh", TS.BS Nguyễn Đức Liên cho biết.
"Cậu nhỏ" cũng bị ung thưKhi "cậu nhỏ" của phái mạnh có những dấu hiệu bất thường như những tổn thương sùi hoặc loét, nhất là tại quy đầu hoặc bao quy đầu... là lúc cần nghĩ tới căn bệnh ung thư.
Đang khỏe mạnh, bé trai 11 tuổi bỗng lơ mơ, liệt tay chân sau dấu hiệu buồn nônKhoảng 20 ngày trước khi được phẫu thuật, bệnh nhi chóng mặt, buồn nôn... và cũng đã được gia đình đưa đến viện. Khi được đưa đến BV Việt Đức với mong muốn "còn nước còn tát", bác sĩ phát hiện khối u thân não chảy máu là nguyên nhân khiến bệnh nhân liệt tay chân, lơ mơ.