Phát hiện ung thư phổi sau 7 ngày ho tức ngựcNgười đàn ông 65 tuổi ở Hà Nội đi khám sau 7 ngày xuất hiện tình trạng ho, tức ngực tăng nhiều về đêm, kết quả chẩn đoán khiến bệnh nhân ngỡ ngàng: ung thư phổi.
Đau tức ngực - Cảnh báo nguy cơ bệnh tim mạchĐau tức ngực là triệu chứng phổ biến có thể gặp ở mọi độ tuổi, đặc biệt ở tuổi trung niên. Đau tức ngực cảnh báo nhiều bệnh lý nhưng đáng lo ngại nhất là do bệnh về tim mạch.
Bé 7 tuổi tức ngực, phát hiện tim nằm bên phảiBị lõm ngực từ khi chào đời nhưng đến gần đây, khi bé được 7 tuổi, mới xuất hiện tình trnagj khó thở, tức ngực, mệt nhiều.
Tức ngực, húng hắng ho đi khám phát hiện mắc ung thư phổiKhoảng một tháng trước, ông Minh (62 tuổi, Quảng Ninh) thấy bị tức ngực, thỉnh thoảng húng hắng ho. Tưởng chỉ là bệnh của người già nhưng đi khám ông được chẩn đoán bị ung thư phổi.
Tức ngực vì uống thuốc nguyên cả... vỉChị Mai T. D. 49 tuổi ở Bình Chánh đi khám bệnh vì tức ngực và đau nhói sau xương ức, buồn nôn, nôn ói nhất là sau mỗi lần ăn uống.
Căn bệnh khiến người mắc liên tục tức ngực, khó thở, mất giấc ngủMắc căn bệnh này khiến người phụ nữ đau buốt vùng vai cổ, tức ngực khó thở liên tục, cơ thể trong tình trạng vô cùng mệt mỏi.
Tức giận khi dạy con học, người đàn ông phải nhập viện vì khó thở, tức ngựcNgười đàn ông 40 tuổi ở Trung Quốc phải nhập viện cấp cứu sau khi có các biểu hiện khó thở, tức ngực trong lúc dạy con học.
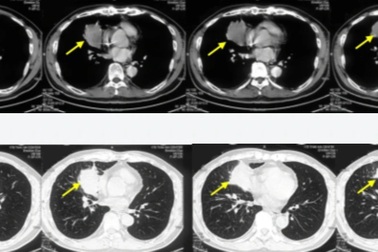
Bỗng dưng khó thở, tức ngực, phát hiện ung thư phổi di cănNgười phụ nữ được đưa đến bệnh viện sau vài ngày uống thuốc điều trị khó thở, tức ngực. Bác sĩ phát hiện bệnh nhân tràn dịch ngoài màng tim, có dấu hiệu ung thư biểu mô tuyến của phổi di căn.
Ho khan, tức ngực 10 ngày, vào viện đã ung thư phổi giai đoạn muộnNgười đàn ông 62 tuổi vào viện khám với biểu hiện đau tức ngực, ho khan. Bác sĩ phát hiện ông có khối u ở phổi phải.
Khó thở, tức ngực đi khám, người phụ nữ phát hiện ung thư phổi di cănSau hơn một tháng có biểu hiện khó thở, ho khan kèm theo đau tức ngực, đau nhiều cột sống cổ, người phụ nữ 56 tuổi (Bắc Kạn) đi khám thì phát hiện mắc ung thư phổi giai đoạn muộn, đã di căn xương-gan.
01:41Những người làm nghề "ngồi tức ngực, đứng rát da"Những người đàn bà làng nồi đất Trù Sơn lúc làm việc bao giờ cũng có tư thế ngồi rất lạ. Hầu như, cả phần ngực của họ tì hẳn vào đầu gối, ngày này qua tháng khác...
Phát hiện áo chứa “thuốc lạ” vì dùng bị ngứa, tức ngựcThêm một “nạn nhân” tố áo ngực không rõ nguồn gốc xuất xứ sau khi dùng cảm thấy ngứa ngáy và tức ngực…