Hai người Đài Loan cầm đầu đường dây mại dâm ở TPHCMCông an TPHCM vừa khởi tố 2 người Đài Loan mở nhà hàng, tuyển lượng lớn nữ tiếp viên có ngoại hình sẵn sàng bán dâm cho khách với giá 5-8 triệu đồng.
Chủ tịch Thượng viện Séc tự nhận "là người Đài Loan"Chủ tịch Thượng viện Séc Milos Vystrcil tự nhận là người Đài Loan khi phát biểu tại nghị viện của hòn đảo này, một động thái có thể khiến Bắc Kinh nổi giận hơn nữa.
Du khách Đài Loan bị từ chối nhập cảnh vì điện thoại có chứa ảnh khỏa thânNữ du khách người Đài Loan (Trung Quốc) cho biết đã bị từ chối nhập cảnh vào Singapore sau khi bị nhân viên hải quan yêu cầu kiểm tra điện thoại và thấy những hình ảnh khỏa thân của cô ở trong máy.
Trung Quốc sắp miễn thị thực với người Đài LoanTruyền thông Trung Quốc cho biết nước này sẽ miễn yêu cầu thị thực với những người Đài Loan muốn tới đại lục, động thái nhằm thúc đẩy giao lưu giữa Đài Loan và Trung Quốc đại lục.
Khởi tố một đối tượng người Đài Loan "tấn công" ngân hàng lớn ở Việt NamCác đối tượng rà quét lỗ hổng bảo mật, truy cập trái phép vào hệ thống quản trị của máy chủ tại các ngân hàng để rút tiền trong tài khoản. Công an đã bắt, khởi tố một đối tượng người Đài Loan.
Giải cứu 1 người Đài Loan bị giang hồ bắt cóc đòi nợCông an TP.HCM phối hợp với Công an quận Bình Tân vừa giải cứu một người Đài Loan bị nhóm giang hồ nhốt trong căn nhà. Tuy nhiên, người bị nhốt đang bị Interpol truy nã.
Người Đài Loan kể khoảnh khắc động đất "như núi sập"Một cư dân ở Đài Loan cho biết, trận động đất sáng ngày 3/4 khiến mọi thứ đổ vỡ, tòa nhà liền kề cũng sập xuống "như núi sập".
Số ca cúm tăng mạnh, người Đài Loan đổ xô tiêm phòngNhu cầu tiêm phòng cúm tại đảo Đài Loan tăng đột biến sau khi nữ diễn viên Từ Hy Viên qua đời do nhiễm cúm, viêm phổi.
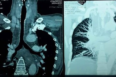
Chuyển bệnh nhân người Đài Loan nguy kịch về nước an toànBệnh nhân nam giới (57 tuổi, người Đài Loan) nhập viện Việt Đức và được chỉ định mổ cấp cứu áp xe trung thất. Tuy nhiên vì bệnh nhân không có người nhà ở Việt Nam, đã xin về nước điều trị. Bệnh nhân đã được hai bác sĩ Việt Nam đi theo chăm sóc trong hành trình và đã chuyển về nước an toàn.
Bắt khẩn cấp nhóm người Đài Loan lừa đảo công nghệ caoTối 30/8, Công an TPHCM cho biết đơn vị vừa bắt khẩn cấp một băng nhóm lừa đảo qua điện thoại bằng công nghệ cao. Cầm đầu băng nhóm này là đối tượng người Đài Loan.
Giám đốc người Đài Loan giết bạn gái, tự tử bất thành khi công an truy đuổiXảy ra mâu thuẫn tình cảm, Giám đốc người Đài Loan dùng dao cắt cổ bạn gái làm cùng công ty rồi bỏ chạy, định tự sát nhưng đã được công an đưa đi cấp cứu.
Người Đài Loan đổ xô mua giấy vệ sinhTừ một tin đồn rằng giấy vệ sinh có thể cạn kiệt trong tháng tới, người dân Đài Loan tuần qua đã đổ xô xếp hàng mua tích trữ mặt hàng này.