Đau khổ như mọc răng khônVào một ngày đẹp trời, chiếc răng khôn tự dưng chồi lên. Nhẹ thì gây nứt lợi, vết thương sưng tấy, mưng mủ, đau nhức cả hàm. Nặng hơn khi răng khôn mọc lệch, mọc ngầm sẽ dẫn đến đau tuỷ răng, viêm hạch góc hàm, gây rối loạn tiêu hoá và nhiều biến chứng khác.
Nguy cơ viêm nhiễm khi mọc răng khônNhững người trẻ ở lứa tuổi 20 và 30 không mọc răng khôn thứ ba có thể bị nguy cơ viêm miệng mãn tính cũng như gia tăng nguy cơ viêm nhiễm ở những nơi khác của cơ thể, theo một cuộc nghiên cứu mới.
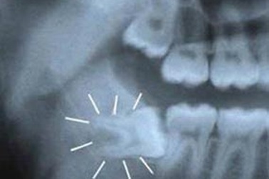
Nam thanh niên Hà Nội choáng váng tưởng răng khôn, hóa khối nang đến 5cm trong miệngNam thanh niên 26 tuổi ở Hà Nội sau vài ngày ôm má sưng, đau răng chắc mẩm mình mọc răng khôn nên đã đến gặp bác sĩ. Không ngờ, bệnh nhân phát hiện khối nang đến 5cm trong miệng, buộc phải phẫu thuật.
Hàng loạt “rắc rối” vì răng khônQuá trình mọc “răng khôn” số 8 gây không ít rắc rối cho nhiều người bởi đây là răng mọc sau cùng, dễ gây mọc xiên, lệch, gây đau, thậm chí viêm nhiễm lan tỏa, nhiễm trùng huyết, có trường hợp tử vong. Thế nhưng nhiều người vẫn cam chịu không dám đi can thiệp, nhổ răng vì sợ ảnh hưởng dây thần kinh.
Vì sao con người có răng sữa và răng vĩnh viễn?Một nha sĩ nhi khoa và một nhà nhân chủng học giải thích cách răng sữa và răng vĩnh viễn giúp con người nhai thức ăn trong suốt cuộc đời dài.
Loại bỏ 4 răng khôn mọc lệch cùng lúc an toànRăng khôn mọc lệch gây ra nhiều vấn đề phiền phức, khó chịu như: giắt thức ăn, gây sâu răng bên cạnh, sưng đau, viêm lợi trùm… Sự khó chịu này còn gấp 4 lần, khi anh N.H.M.Đ, 18 tuổi cùng lúc có 4 chiếc răng khôn mọc lệch.
Cơn đau ám ảnh khi nhổ răng khôn bị sót chân răngRăng khôn mọc khó nên quá trình nhổ diễn ra dài và đau đớn khiến anh Đ.S.Đ, 25 tuổi, Hà Nội đã bỏ dở khi chân răng vẫn chưa được lấy ra. Anh đã chịu đựng cơn đau hành hạ một đêm trước khi tới Hệ thống Y tế Thu Cúc TCI để xử lý.
Sự thật công nghệ "lọc tiểu cầu" lành thương cấp tốc khi nhổ răng khônNhững ngày gần đây, mạng xã hội nổi lên các trang fanpage đăng tải hình ảnh về máy nhổ răng khôn siêu âm và công nghệ ly tâm lọc tiểu cầu, với những lời quảng cáo về công dụng "thần kỳ".
Răng khôn, vì sao phải nhổ bỏ?Chiếc “răng khôn” khiến không ít người khốn khổ vì đau đớn. Nhưng với quan niệm nhổ răng “tổn thọ” không ít người đành cắn răng chịu đau không dám đi giải quyết. Vậy răng khôn, nên để hay nhổ?
Răng số 8 biến chứng có thể là vấn đề của … ung thưTheo thống kê của Tổ chức chăm sóc răng miệng Hoa Kỳ, 85% răng số 8 (răng khôn) phải nhổ bỏ thay vì được tồn tại suốt cuộc đời. Nếu không được xử lý kịp thời có thể dẫn đến những biến chứng tại chỗ nguy hiểm.
Viêm huyệt ổ răng: Biến chứng nguy hiểm sau khi nhổ răng khônSau khi nhổ răng khôn, nhiều bệnh nhân đã gặp biến chứng viêm huyệt ổ răng. Đây cũng là điều mà anh L.T.L, 26 tuổi từng trải qua. Anh ở trong tình trạng "mất ăn mất ngủ" liên tục trước khi được xử lý tại Hệ thống Y tế Thu Cúc TCI.
Nhổ răng khôn có nguy hiểm?Em có 2 răng khôn ở hàm dưới đều mọc lệch nghiêng vào răng bên cạnh nên thỉnh thoảng lại gây đau. Do em đi du học nên được tư vấn là nhổ luôn cả 2 răng khôn. Xin hỏi có cần thiết phải nhổ không? Nhổ vậy có nguy cơ gì không?